• Tel: 858.663.9055
  • SeparatorEmail: info@nsjbio.com
  • Tel: 858.663.9055
  • Email: info@nsjbio.com
Home >> Antibodies >> Zebrafish Ube2i Antibody / Ube2ia / Ube2ib

Zebrafish Ube2i Antibody / Ube2ia / Ube2ib (RZ1159)

  Catalog No Formulation Size Price (USD)  
Image RZ1159 0.5mg/ml if reconstituted with 0.2ml sterile DI water 100 ug 539
Bulk quote request
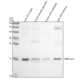
Western blot analysis of Ube2ia/b protein using Zebrafish Ube2i antibody and 1) zebrafish head, 2) whole female zebrafish, 3) whole male zebrafish and 4) zebrafish embryo tissue lysate. Predicted molecular weight ~18 kDa.
Availability 2-3 weeks
Species Reactivity Zebrafish
Format Antigen affinity purified
Host Rabbit
Clonality Polyclonal (rabbit origin)
Isotype Rabbit Ig
Purity Antigen affinity chromatography
Buffer Lyophilized from 1X PBS with 2% Trehalose
UniProt Q9W6H5 , Q9DDJ0
Applications Western Blot : 0.5-1 ug/ml
Limitations This Zebrafish Ube2i antibody is available for research use only.
Review this product on BioCompare and get a $20 Amazon gift card

Related Products

  • Applications : WB, ELISA
    Reactivity : Human, Mouse
  • Applications : WB, IP
    Reactivity : Human, Mouse, Rat
  • Applications : WB, IHC, ELISA
    Reactivity : Human
    Pred. Reactivity : Chicken, Mouse, Rat, Xenopus, Zebrafish
  • Applications : WB, IHC, ICC, ELISA (peptide)
    Reactivity : Human, Mouse, Rat
    Pred. Reactivity : Dog
  • Applications : WB, IHC, ICC, ELISA (peptide)
    Reactivity : Human, Mouse, Rat
    Pred. Reactivity : Dog
  • Applications : WB, IHC-P
    Reactivity : Human, Mouse, Rat
  • Applications : WB, IHC-P, IF, FACS, Direct ELISA
    Reactivity : Human, Mouse, Rat

Description

Zebrafish (Danio rerio) Ube2i antibody detects Ube2i, an essential E2 conjugating enzyme in the SUMOylation pathway, a post-translational modification system that regulates protein stability, trafficking, transcription, and stress responses. In zebrafish, SUMO conjugation activity is encoded by two paralogs, ube2ia and ube2ib, both producing functional forms of the Ube2i enzyme. Ube2i catalyzes the transfer of SUMO from the E1 activating enzyme to substrate proteins, working closely with SUMO E3 ligases to ensure specificity. Because SUMOylation influences gene expression, chromatin structure, and signaling dynamics critical for embryogenesis, Zebrafish Ube2i antibody reagents support research in developmental regulation, nuclear processes, and cellular stress adaptation.

SUMOylation modifies hundreds of proteins across diverse cellular pathways. Ube2i participates as the central enzymatic hub for SUMO conjugation, interacting with protein targets that control transcription, DNA repair, nuclear transport, and cytoskeletal organization. In zebrafish embryos, Ube2ia and Ube2ib are expressed broadly, with enrichment in tissues undergoing rapid cell division or transcriptional restructuring, including the developing nervous system, somites, heart, and endoderm. These expression patterns reflect the widespread requirement for SUMO-dependent regulation during morphogenesis.

During development, Ube2i activity contributes to gene expression control by modulating transcription factors, chromatin remodelers, and histone modifiers. SUMOylation can either enhance or repress transcriptional activity depending on the target, allowing fine-tuning of cell fate decisions. In zebrafish, disrupting ube2i paralogs leads to defects in neural patterning, impaired organ development, and altered stress responses due to misregulation of SUMO-dependent transcriptional networks.

Ube2i also influences DNA repair and genome integrity. Many components of homologous recombination, base excision repair, and replication fork protection are SUMO-modified. During zebrafish embryogenesis, when cells proliferate rapidly and experience replicative stress, Ube2i helps ensure that DNA lesions are processed efficiently and accurately. These protective roles guard against genomic instability that could disrupt developmental progression.

Beyond nuclear processes, Ube2i regulates cytosolic proteins involved in signal transduction, cytoskeletal remodeling, and intracellular trafficking. SUMO modification affects protein localization, stability, and interaction networks. In zebrafish, Ube2i-dependent SUMOylation supports processes such as heart morphogenesis, muscle differentiation, and immune signaling. The dual paralogs ube2ia and ube2ib may provide tissue-specific or stress-responsive regulatory layers, although both retain the canonical function of SUMO conjugation.

At the molecular level, Ube2i contains conserved catalytic cysteine residues needed for SUMO thioester formation, enabling SUMO transfer to lysine residues on target proteins. Its interactions with Ubc9-binding motifs and SUMO E3 ligases determine substrate specificity. Subcellular localization of Ube2i is predominantly nuclear but also includes cytosolic pools associated with stress granules, cytoskeletal structures, or signaling complexes depending on developmental context.

SUMOylation is increasingly recognized as a key regulator of vertebrate stress tolerance, developmental timing, and cellular homeostasis. Zebrafish provide a powerful platform for visualizing SUMO pathway activity in vivo, and studies of Ube2ia and Ube2ib offer insights into how SUMOylation integrates transcriptional, metabolic, and signaling cues during development.

A Zebrafish Ube2i antibody is suitable for research applications such as western blotting, immunohistochemistry, and assays examining SUMO conjugation, transcriptional control, and developmental signaling. This antibody targets Ube2i paralogs for studies involving post-translational modification, nuclear regulation, and vertebrate developmental biology. NSJ Bioreagents provides the Zebrafish Ube2i antibody to support research in SUMOylation and gene regulatory mechanisms.

Application Notes

Optimal dilution of the Zebrafish Ube2i antibody should be determined by the researcher.

Immunogen

An E.coli-derived zebrafish Ube2ia/b recombinant protein (amino acids N124-S158) was used as the immunogen for the Zebrafish Ube2i antibody. This antibody will detect the a and b isoforms of Ube2i protein.

Storage

After reconstitution, the Zebrafish Ube2i antibody can be stored for up to one month at 4oC. For long-term, aliquot and store at -20oC. Avoid repeated freezing and thawing.

Cross
Bulk Quote Request Form
Name*:
Organization*:
Email*:
Phone Number*:
Catalog No.*:
Comments and Specifics(amount, formulation, etc.)*:
Validation code: Captchapackage Image


Can't read the image? click here to refresh.
    *required field

Your bulk quote request has been submitted successfully!

Please contact us if you have any questions.