• Tel: 858.663.9055
  • SeparatorEmail: info@nsjbio.com
  • Tel: 858.663.9055
  • Email: info@nsjbio.com
Home >> Antibodies >> Zebrafish Uba3 Antibody / Ube1c / Nedd8 activating enzyme E1 catalytic subunit

Zebrafish Uba3 Antibody / Ube1c / Nedd8 activating enzyme E1 catalytic subunit (RZ1142)

  Catalog No Formulation Size Price (USD)  
Image RZ1142 0.5mg/ml if reconstituted with 0.2ml sterile DI water 100 ug 539
Bulk quote request
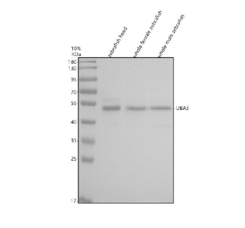
Zebrafish Uba3 Antibody Tissue WB. Western blot analysis of Uba3 protein using Zebrafish Uba3 antibody and 1) zebrafish head, 2) whole female zebrafish and 3) whole male zebrafish tissue lysate. Predicted molecular weight ~52 kDa.
Availability 2-3 weeks
Species Reactivity Zebrafish
Format Antigen affinity purified
Host Rabbit
Clonality Polyclonal (rabbit origin)
Isotype Rabbit Ig
Purity Antigen affinity chromatography
Buffer Lyophilized from 1X PBS with 2% Trehalose
UniProt Q7ZVX6
Applications Western Blot : 0.5-1 ug/ml
Limitations This Zebrafish Uba3 antibody is available for research use only.
Review this product on BioCompare and get a $20 Amazon gift card

Related Products

Description

Zebrafish (Danio rerio) Uba3 antibody detects Uba3, a catalytic subunit of the Nedd8-activating enzyme (NAE), which initiates the Nedd8 conjugation pathway that regulates cullin-RING ligases and numerous developmental signaling processes. In zebrafish, the uba3 gene encodes a protein also known as Ube1c or the Nedd8 activating enzyme E1 catalytic subunit, a core enzyme required to activate Nedd8 prior to its transfer onto target proteins. Because Nedd8 modification controls protein turnover, cell cycle progression, and ubiquitin-like signaling, Zebrafish Uba3 antibody reagents are widely used in research focused on proteostasis, developmental regulation, and cellular stress responses.

The Nedd8-activating enzyme functions analogously to ubiquitin E1 enzymes but is specialized for the Nedd8 modification system. Uba3 forms a heterodimer with the regulatory subunit Appbp1, together catalyzing ATP-dependent activation of Nedd8. Once activated, Nedd8 is transferred to E2 and E3 enzymes that modify cullin family proteins. In zebrafish embryos, uba3 is strongly expressed in proliferative tissues including the brain, somites, pronephros, and developing vasculature. These tissues rely heavily on cullin-RING ligase activity to regulate protein degradation and signaling turnover during rapid organ formation.

Neddylation is essential for controlling the activity of many cullin-based ubiquitin ligases, which regulate key developmental pathways such as Notch, Wnt, Hedgehog, and TGF-beta. Through its catalytic role in Nedd8 activation, Uba3 indirectly influences how cells respond to morphogen gradients, coordinate cell proliferation, and adapt to metabolic changes. In zebrafish, disruption of uba3 impairs cullin activation, leading to defects in neurogenesis, somite formation, angiogenesis, and organ patterning. These observations underscore the conserved requirement for Nedd8-mediated protein turnover in vertebrate development.

Beyond its effects on signaling, Uba3 contributes to cell cycle regulation and DNA replication. Neddylation of cullins regulates degradation of cell cycle inhibitors and ensures timely progression through S phase and mitosis. In developing zebrafish tissues, where rapid and synchronized cell divisions occur, uba3 function is essential for maintaining genomic stability and preventing replication-associated stress. The Nedd8 activating enzyme E1 catalytic subunit is also involved in stress adaptation, influencing how cells respond to proteotoxic conditions or nutrient limitation by modulating ubiquitin-like pathways.

At the molecular level, Uba3 contains catalytic motifs required for adenylation of Nedd8 and formation of a thioester intermediate. These biochemical steps are highly conserved across species, highlighting zebrafish as an effective model for studying Nedd8 activation mechanisms. Subcellular localization of Uba3 is predominantly cytoplasmic with enrichment in regions supporting high proteolytic activity and protein turnover. Its dynamic interaction with Appbp1 and subsequent handoff to E2 enzymes ensures efficient flux through the neddylation pathway.

Neddylation influences diverse cellular processes including transcriptional control, chromatin remodeling, cytoskeletal organization, and metabolic responses. Because many of these processes are developmentally regulated, Uba3 plays a broad role in orchestrating growth and differentiation across organ systems. Zebrafish models enable in vivo visualization of these effects and allow researchers to link Uba3 activity with phenotypic outcomes such as neural patterning, axial formation, and vascular remodeling.

A Zebrafish Uba3 antibody is suitable for research applications such as western blotting, immunohistochemistry, and assays examining neddylation, protein turnover, and developmental signaling. This antibody targets Uba3 for studies involving ubiquitin-like pathways, cell cycle regulation, and vertebrate developmental physiology. NSJ Bioreagents provides the Zebrafish Uba3 antibody to support research in proteostasis and regulatory enzyme function.

This Zebrafish antibody is part of a broader Zebrafish / Danio rerio antibody panel offered by NSJ Bioreagents.

Application Notes

Optimal dilution of the Zebrafish Uba3 antibody should be determined by the researcher.

Immunogen

An E.coli-derived zebrafish Uba3 recombinant protein (amino acids D406-D447) was used as the immunogen for the Zebrafish Uba3 antibody.

Storage

After reconstitution, the Zebrafish Uba3 antibody can be stored for up to one month at 4oC. For long-term, aliquot and store at -20oC. Avoid repeated freezing and thawing.

Cross
Bulk Quote Request Form
Name*:
Organization*:
Email*:
Phone Number*:
Catalog No.*:
Comments and Specifics(amount, formulation, etc.)*:
Validation code: Captchapackage Image


Can't read the image? click here to refresh.
    *required field

Your bulk quote request has been submitted successfully!

Please contact us if you have any questions.