• Tel: 858.663.9055
  • SeparatorEmail: info@nsjbio.com
  • Tel: 858.663.9055
  • Email: info@nsjbio.com
Home >> Antibodies >> Zebrafish Twist Antibody / Twist1a / Twist1b / Twist2

Zebrafish Twist Antibody / Twist1a / Twist1b / Twist2 (RZ1322)

  Catalog No Formulation Size Price (USD)  
Image RZ1322 0.5mg/ml if reconstituted with 0.2ml sterile DI water 100 ug 539
Bulk quote request
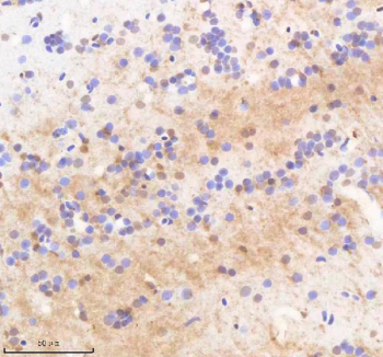
Zebrafish Twist Antibody Brain Tissue IHC. Immunohistochemistry staining of FFPE zebrafish brain tissue with Twist antibody, HRP-labeled secondary and DAB substrate. HIER: boil tissue sections in pH8 EDTA for 20 min and allow to cool before testing.
Zebrafish Twist Antibody Tissue WB. Western blot analysis of Twist1a/1b/2 protein using Zebrafish Twist1 antibody and 1) zebrafish head tissue lysates and 2) whole male zebrafish lysates. Predicted molecular weight ~19 kDa.
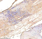
Zebrafish Twist Antibody Spinal Cord Tissue IHC. Immunohistochemistry staining of FFPE zebrafish spinal cord tissue with Twist antibody, HRP-labeled secondary and DAB substrate. HIER: boil tissue sections in pH8 EDTA for 20 min and allow to cool before testing.
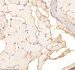
Zebrafish Twist Antibody Muscle Tissue IHC. Immunohistochemistry staining of FFPE zebrafish muscle tissue with Twist antibody, HRP-labeled secondary and DAB substrate. HIER: boil tissue sections in pH8 EDTA for 20 min and allow to cool before testing.
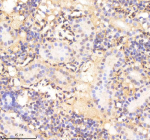
Zebrafish Twist Antibody Kidney Tissue IHC. Immunohistochemistry staining of FFPE zebrafish kidney tissue with Twist antibody, HRP-labeled secondary and DAB substrate. HIER: boil tissue sections in pH8 EDTA for 20 min and allow to cool before testing.
Availability 2-3 weeks
Species Reactivity Zebrafish
Format Antigen affinity purified
Host Rabbit
Clonality Polyclonal (rabbit origin)
Isotype Rabbit Ig
Purity Antigen affinity chromatography
Buffer Lyophilized from 1X PBS with 2% Trehalose
UniProt Q9PTE3 , Q568M7 , Q5XJI8
Localization Nuclear
Applications Western Blot : 0.5-1ug/ml
Immunohistochemistry (FFPE) : 2-5ug/ml
Limitations This Zebrafish Twist antibody is available for research use only.
Review this product on BioCompare and get a $20 Amazon gift card

Related Products

Description

Zebrafish Twist antibody targets Twist family transcription factors, including Twist1a, Twist1b, and Twist2, which are basic helix-loop-helix proteins that play critical roles in embryonic development, mesoderm formation, and cell fate determination. In zebrafish, also known as Danio rerio, Twist proteins function as key regulators of morphogenesis, controlling processes such as gastrulation, neural crest development, and tissue patterning. Twist proteins localize predominantly to the nucleus, where they bind E-box DNA motifs to regulate transcriptional programs involved in cell migration, differentiation, and survival.

During zebrafish embryogenesis, Twist family members exhibit dynamic and spatially restricted expression patterns. Twist1a and Twist1b arise from genome duplication events and show partially overlapping but distinct roles in mesodermal and neural crest development, while Twist2 contributes to later developmental and differentiation processes. Proper Twist activity is essential for coordinated cell movements during gastrulation and for the formation of craniofacial structures, musculature, and connective tissues. A Zebrafish Twist antibody supports studies examining early developmental patterning and lineage specification in Danio rerio.

Functionally, Twist proteins act as transcriptional regulators that can function as repressors or activators depending on cellular context and binding partners. Through dimerization with other helix-loop-helix proteins, Twist factors influence gene networks controlling epithelial-to-mesenchymal transition-like processes, cell motility, and morphogenetic rearrangements. In zebrafish, disruption of Twist expression has been associated with defects in mesoderm differentiation, impaired neural crest migration, and abnormal organ formation, highlighting their essential regulatory roles.

From a biological and disease-relevance perspective, Twist family proteins are extensively studied in mammals for their involvement in developmental disorders, tissue remodeling, and cancer-related cell plasticity. Zebrafish Twist proteins provide a conserved comparative system for investigating transcriptional programs that govern cell movement and differentiation during development. The optical accessibility of zebrafish embryos allows real-time observation of Twist-regulated processes, making zebrafish an advantageous model for developmental biology research.

At the molecular level, zebrafish Twist proteins are encoded by twist1a, twist1b, and twist2 genes and produce proteins of approximately 160 to 210 amino acids, depending on the family member. Each protein contains a conserved basic helix-loop-helix domain required for DNA binding and dimerization. Regulation of Twist expression and activity is tightly linked to developmental timing and signaling cues. A Zebrafish Twist antibody supports research applications focused on embryogenesis, transcriptional regulation, and morphogenetic processes in zebrafish, with NSJ Bioreagents providing reagents intended for research use.

This Zebrafish antibody is part of a broader Zebrafish / Danio rerio antibody panel offered by NSJ Bioreagents.

Application Notes

Optimal dilution of the Zebrafish Twist antibody should be determined by the researcher.

Immunogen

A synthetic peptide corresponding to a sequence in the middle region of zebrafish TWIST protein was used as the immunogen for the Zebrafish Twist antibody.

Storage

After reconstitution, the Zebrafish Twist antibody can be stored for up to one month at 4oC. For long-term, aliquot and store at -20oC. Avoid repeated freezing and thawing.

Alternate Names

Zebrafish Twist1 antibody, Zebrafish Twist1a antibody, Zebrafish Twist1b antibody, Zebrafish Twist2 antibody

Cross
Bulk Quote Request Form
Name*:
Organization*:
Email*:
Phone Number*:
Catalog No.*:
Comments and Specifics(amount, formulation, etc.)*:
Validation code: Captchapackage Image


Can't read the image? click here to refresh.
    *required field

Your bulk quote request has been submitted successfully!

Please contact us if you have any questions.