• Tel: 858.663.9055
  • SeparatorEmail: info@nsjbio.com
  • Tel: 858.663.9055
  • Email: info@nsjbio.com
Home >> Antibodies >> Zebrafish Tgfb1 Antibody / Tgfb1a / Tgf beta

Zebrafish Tgfb1 Antibody / Tgfb1a / Tgf beta (RZ1180)

  Catalog No Formulation Size Price (USD)  
Image RZ1180 0.5mg/ml if reconstituted with 0.2ml sterile DI water 100 ug 539
Bulk quote request
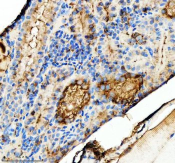
Zebrafish Tgfb1 Antibody Kidney Tissue IHC. Immunohistochemistry staining of zebrafish Tgfb1 protein using Zebrafish Tgfb1 antibody, HRP-labeled secondary and DAB substrate. Tgfb1 was detected in a paraffin-embedded section of zebrafish kidney tissue. HIER: boil tissue sections in pH8 EDTA for 20 min and allow to cool before testing.
Zebrafish Tgfb1 Antibody Head Tissue WB. Western blot analysis of Tgfb1 protein using Zebrafish Tgfb1 antibody and zebrafish head tissue lysates. Predicted molecular weight ~43 kDa.
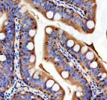
Zebrafish Tgfb1 Antibody Colon Tissue IHC. Immunohistochemistry staining of zebrafish Tgfb1 protein using Zebrafish Tgfb1 antibody, HRP-labeled secondary and DAB substrate. Tgfb1 was detected in a paraffin-embedded section of zebrafish colon tissue. HIER: boil tissue sections in pH8 EDTA for 20 min and allow to cool before testing.
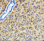
Zebrafish Tgfb1 Antibody Liver Tissue IHC. Immunohistochemistry staining of zebrafish Tgfb1 protein using Zebrafish Tgfb1 antibody, HRP-labeled secondary and DAB substrate. Tgfb1 was detected in a paraffin-embedded section of zebrafish liver tissue. HIER: boil tissue sections in pH8 EDTA for 20 min and allow to cool before testing.
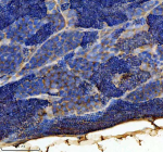
Zebrafish Tgfb1 Antibody Testis Tissue IHC. Immunohistochemistry staining of zebrafish Tgfb1 protein using Zebrafish Tgfb1 antibody, HRP-labeled secondary and DAB substrate. Tgfb1 was detected in a paraffin-embedded section of zebrafish testis tissue. HIER: boil tissue sections in pH8 EDTA for 20 min and allow to cool before testing.
Availability 2-3 weeks
Species Reactivity Zebrafish
Format Antigen affinity purified
Host Rabbit
Clonality Polyclonal (rabbit origin)
Isotype Rabbit Ig
Purity Antigen affinity chromatography
Buffer Lyophilized from 1X PBS with 2% Trehalose
UniProt Q7ZZU7
Applications Western Blot : 0.5-1ug/ml
Immunohistochemistry (FFPE) : 2-5ug/ml
Limitations This Zebrafish Tgfb1 antibody is available for research use only.
Review this product on BioCompare and get a $20 Amazon gift card

Related Products

Description

Zebrafish (Danio rerio) Tgfb1 antibody detects Tgfb1, a multifunctional cytokine that belongs to the transforming growth factor beta family of signaling molecules. Encoded in zebrafish by tgfb1 and closely related paralogs such as Tgfb1a, Tgf beta regulates a wide range of developmental and physiological processes, including cell differentiation, extracellular matrix production, epithelial-to-mesenchymal transitions, immune modulation, and tissue homeostasis. Because Tgfb1 signaling is highly conserved across vertebrates, Zebrafish Tgfb1 antibody reagents support research in developmental biology, morphogenesis, organ formation, and immune regulation.

Tgfb1 acts through a canonical signaling pathway involving type I and type II serine-threonine kinase receptors, which phosphorylate receptor-regulated Smad proteins (primarily Smad2 and Smad3). These activated Smads form complexes with Smad4 and translocate to the nucleus to regulate gene expression programs that shape cell fate decisions. In zebrafish embryos, tgfb1a expression is observed in developing mesodermal structures, craniofacial primordia, heart fields, and endodermal organs. These regions require graded Tgfb1 activity to guide cell migration, pattern formation, and lineage specification.

During early development, Tgfb1 influences germ layer patterning and regulates transitions between epithelial and mesenchymal states. These cellular transitions are central to gastrulation, neural crest migration, and organ bud formation. Zebrafish studies have shown that alterations in Tgfb1 signaling can lead to abnormal axis formation, disrupted craniofacial structures, and defects in cardiac morphogenesis. Tgfb1 also contributes to regulating extracellular matrix composition, enabling tissues to withstand biomechanical stress during rapid embryonic growth.

In later developmental stages, Tgf beta signaling supports vascular development, immune system maturation, and fin and skeletal formation. Zebrafish hematopoiesis, in particular, relies on balanced Tgfb1 activity to control proliferation and differentiation of progenitor cells. The immune-modulatory roles of Tgfb1 extend into adulthood; it helps maintain immune tolerance, regulate inflammatory signaling, and promote tissue repair following injury.

At the molecular level, Tgfb1 influences a large transcriptional network that cooperates with pathways such as Wnt, FGF, BMP, and Notch. These interactions allow Tgfb1 to act as a key integrator of signaling cues across tissues. Subcellular localization of signaling components varies: while the cytokine is secreted into extracellular spaces, its downstream Smad effectors translocate to the nucleus where they shape transcriptional landscapes. Tgfb1 also engages non-canonical pathways, including MAPK, PI3K-Akt, and Rho-like GTPases, broadening its impact on cell motility, cytoskeletal dynamics, and metabolic adaptation.

Tgfb1 remains essential beyond embryogenesis, supporting wound healing, tissue remodeling, and organ homeostasis. In zebrafish, whose regenerative capacity is high, Tgfb1 regulates fibrosis-like responses, fin regeneration, and cardiomyocyte proliferation after injury. These roles make Tgfb1 an important research target for regenerative biology and tissue engineering.

A Zebrafish Tgfb1 antibody is suitable for research applications such as western blotting, immunohistochemistry, and assays examining developmental signaling, immune regulation, extracellular matrix biology, and tissue morphogenesis. This antibody targets Tgfb1 and its zebrafish paralog Tgfb1a to support studies in embryonic patterning and vertebrate cytokine signaling. NSJ Bioreagents provides the Zebrafish Tgfb1 antibody to support research in developmental and regenerative biology.

This Zebrafish antibody is part of a broader Zebrafish / Danio rerio antibody panel offered by NSJ Bioreagents.

Application Notes

Optimal dilution of the Zebrafish Tgfb1 antibody should be determined by the researcher.

Immunogen

E. coli-derived zebrafish Tgfb1 recombinant protein (amino acids A266-S377) was used as the immunogen for the Zebrafish Tgfb1 antibody.

Storage

After reconstitution, the Zebrafish Tgfb1 antibody can be stored for up to one month at 4oC. For long-term, aliquot and store at -20oC. Avoid repeated freezing and thawing.

Cross
Bulk Quote Request Form
Name*:
Organization*:
Email*:
Phone Number*:
Catalog No.*:
Comments and Specifics(amount, formulation, etc.)*:
Validation code: Captchapackage Image


Can't read the image? click here to refresh.
    *required field

Your bulk quote request has been submitted successfully!

Please contact us if you have any questions.