• Tel: 858.663.9055
  • SeparatorEmail: info@nsjbio.com
  • Tel: 858.663.9055
  • Email: info@nsjbio.com
Home >> Antibodies >> Zebrafish Star Antibody / Steroidogenic acute regulatory protein

Zebrafish Star Antibody / Steroidogenic acute regulatory protein (RZ1317)

  Catalog No Formulation Size Price (USD)  
Image RZ1317 0.5mg/ml if reconstituted with 0.2ml sterile DI water 100 ug 539
Bulk quote request
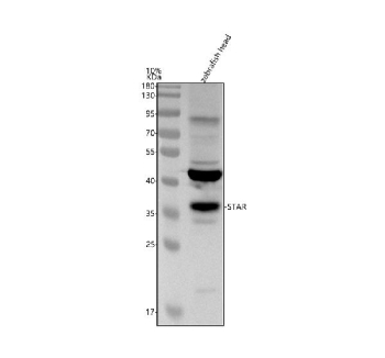
Zebrafish Star Antibody Head Tissue WB. Western blot analysis of Star protein using Zebrafish Star Antibody and zebrafish head tissue lysates. Lane: zebrafish head lysate. A band is detected at approximately 32 kDa, consistent with the predicted molecular weight of zebrafish Star. In mammals, the StAR preprotein is approximately 37 kDa and is processed to a mature mitochondrial form of about 30-32 kDa, which corresponds to the band observed in this zebrafish sample.
Availability 2-3 weeks
Species Reactivity Zebrafish
Format Antigen affinity purified
Host Rabbit
Clonality Polyclonal (rabbit origin)
Isotype Rabbit Ig
Purity Antigen affinity chromatography
Buffer Lyophilized from 1X PBS with 2% Trehalose
UniProt Q9DG10
Applications Western Blot : 0.5-1ug/ml
Limitations This Zebrafish Star antibody is available for research use only.
Review this product on BioCompare and get a $20 Amazon gift card

Related Products

Description

Zebrafish Star antibody targets Steroidogenic acute regulatory protein (Star), a mitochondrial-associated regulatory protein that controls the rate-limiting step of steroid hormone biosynthesis. In zebrafish, also known as Danio rerio, Star facilitates the transport of cholesterol from the outer to the inner mitochondrial membrane, where cholesterol is converted into pregnenolone by cytochrome P450 enzymes. This cholesterol transfer step is essential for the initiation of steroidogenesis, positioning Star as a central regulator of endocrine function. Star localizes primarily to the mitochondria, consistent with its role in steroid-producing cells.

Functionally, Star is rapidly induced in response to trophic hormone signaling and cellular cues that stimulate steroid production. In zebrafish, Star expression is detected during early development and becomes enriched in steroidogenic tissues such as the interrenal gland, gonads, and brain regions involved in neuroendocrine regulation. Proper Star activity is required for normal synthesis of corticosteroids, sex steroids, and other cholesterol-derived hormones that regulate development, stress responses, metabolism, and reproduction. A Zebrafish Star antibody supports studies examining endocrine signaling and steroid biosynthesis in Danio rerio.

Zebrafish has become an important model for studying steroid hormone biology due to conserved regulatory pathways and transparent developmental stages. Altered Star expression or function in zebrafish has been associated with impaired steroid production, disrupted stress axis signaling, and abnormalities in gonadal development. These findings highlight the conserved requirement for Star in maintaining steroidogenic capacity and endocrine homeostasis. A Zebrafish Star antibody enables investigation of Star expression dynamics during development, hormonal stimulation, and environmental stress exposure.

From a disease-relevance perspective, Star is extensively studied in mammals for its role in congenital adrenal insufficiency, disorders of sex development, and dysregulated steroid hormone production. Zebrafish Star provides a conserved comparative system for exploring how defects in cholesterol transport and steroidogenesis impact endocrine physiology. Star activity is tightly regulated at transcriptional and post-translational levels, allowing cells to rapidly adjust steroid output in response to physiological demand.

At the molecular level, zebrafish Star is encoded by the star gene and produces a protein of approximately 285 amino acids, consistent with vertebrate Star proteins. The protein contains a conserved START domain that mediates cholesterol binding and transfer within mitochondria. Star expression is acutely regulated by signaling pathways linked to cyclic AMP and steroidogenic stimuli. A Zebrafish Star antibody supports research applications focused on steroid hormone biosynthesis, endocrine development, and mitochondrial cholesterol trafficking in zebrafish, with NSJ Bioreagents providing reagents intended for research use.

This Zebrafish antibody is part of a broader Zebrafish / Danio rerio antibody panel offered by NSJ Bioreagents.

Application Notes

Optimal dilution of the Zebrafish Star antibody should be determined by the researcher.

Immunogen

E. coli-derived zebrafish Star recombinant protein (amino acids A62-C285) was used as the immunogen for the Zebrafish Star antibody.

Storage

After reconstitution, the Zebrafish Star antibody can be stored for up to one month at 4oC. For long-term, aliquot and store at -20oC. Avoid repeated freezing and thawing.

Cross
Bulk Quote Request Form
Name*:
Organization*:
Email*:
Phone Number*:
Catalog No.*:
Comments and Specifics(amount, formulation, etc.)*:
Validation code: Captchapackage Image


Can't read the image? click here to refresh.
    *required field

Your bulk quote request has been submitted successfully!

Please contact us if you have any questions.