• Tel: 858.663.9055
  • SeparatorEmail: info@nsjbio.com
  • Tel: 858.663.9055
  • Email: info@nsjbio.com
Home >> Antibodies >> Zebrafish Srsf1 Antibody / Serine/arginine-rich splicing factor 1 / Isoforms a & b

Zebrafish Srsf1 Antibody / Serine/arginine-rich splicing factor 1 / Isoforms a & b (RZ1023)

  Catalog No Formulation Size Price (USD)  
Image RZ1023 0.5mg/ml if reconstituted with 0.2ml sterile DI water 100 ug 539
Bulk quote request
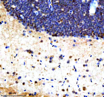
Immunohistochemical analysis of Srsf1a/b protein using Zebrafish Srsf1 antibody and paraffin-embedded zebrafish brain tissue. HIER: boil tissue sections in pH8 EDTA for 20 min and allow to cool before testing.
Western blot analysis of Srsf1a/b protein using Zebrafish Srsf1 antibody and zebrafish embryo tissue lysate. The predicted molecular weight of Srsf1a/b is 28 kDa.
Immunohistochemical analysis of Srsf1a/b protein using Zebrafish Srsf1 antibody and paraffin-embedded zebrafish colon tissue. HIER: boil tissue sections in pH8 EDTA for 20 min and allow to cool before testing.
Immunohistochemical analysis of Srsf1a/b protein using Zebrafish Srsf1 antibody and paraffin-embedded zebrafish kidney tissue. HIER: boil tissue sections in pH8 EDTA for 20 min and allow to cool before testing.
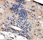
Immunohistochemical analysis of Srsf1a/b protein using Zebrafish Srsf1 antibody and paraffin-embedded zebrafish spinal cord tissue. HIER: boil tissue sections in pH8 EDTA for 20 min and allow to cool before testing.
Immunohistochemical analysis of Srsf1a/b protein using Zebrafish Srsf1 antibody and paraffin-embedded zebrafish eye tissue. HIER: boil tissue sections in pH8 EDTA for 20 min and allow to cool before testing.
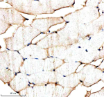
Immunohistochemical analysis of Srsf1a/b protein using Zebrafish Srsf1 antibody and paraffin-embedded zebrafish skeletal muscle tissue. HIER: boil tissue sections in pH8 EDTA for 20 min and allow to cool before testing.
Availability 2-3 weeks
Species Reactivity Zebrafish
Format Antigen affinity purified
Host Rabbit
Clonality Polyclonal (rabbit origin)
Isotype Rabbit Ig
Purity Antigen affinity chromatography
Buffer Lyophilized from 1X PBS with 2% Trehalose
UniProt Q7SXP4 , Q6NYA0
Localization Nuclear, cytoplasmic
Applications Western Blot : 0.5-1 ug/ml
Immunohistochemistry (FFPE) : 2-5 ug/ml
Limitations This Zebrafish Srsf1 antibody is available for research use only.
Review this product on BioCompare and get a $20 Amazon gift card

Related Products

Description

Zebrafish (Danio rerio) Srsf1 antibody recognizes Serine/arginine-rich splicing factor 1, an essential RNA binding protein encoded in Danio rerio by duplicated srsf1a and srsf1b genes. This antibody detects both the a and b isoforms, which share extensive sequence conservation and contribute to core splicing regulatory functions. Srsf1 is a member of the SR protein family, characterized by RNA recognition motifs and serine-rich domains that support alternative splicing, exon definition, mRNA export, and translational control. In zebrafish embryos, Srsf1 isoforms are broadly expressed and enriched in neural progenitors, somites, craniofacial mesenchyme, hematopoietic tissues, and early endodermal organs where RNA processing demands are high. Subcellular localization is predominantly nuclear, although cytoplasmic pools participate in mRNA transport and translation.

Serine/arginine-rich splicing factor 1 regulates the selection of splice sites during pre mRNA processing. By binding exonic splicing enhancers and coordinating the recruitment of spliceosome components, Srsf1 influences the production of alternative isoforms essential for tissue-specific gene expression. In zebrafish, Srsf1 contributes to pathways that guide neural crest development, mesoderm patterning, heart formation, and early neurogenesis. Proper Srsf1 activity ensures accuracy of RNA processing for transcripts involved in FGF, Wnt, Hedgehog, and Notch signaling, many of which require precise splicing to achieve correct developmental function.

Developmental studies show that Srsf1 is critical for craniofacial patterning, neural tube development, and muscle differentiation. Reduced Srsf1 function can lead to widespread splicing defects, impaired cell survival, disrupted morphogenesis, and abnormal neural patterning. Because early zebrafish embryos undergo intense transcriptional and splicing remodeling, Srsf1 mediated regulation is essential for coordinating rapid changes in gene expression during lineage specification and organ primordium formation. Srsf1 also influences mRNA stability and translational efficiency, allowing it to integrate transcriptional and post transcriptional control during development.

Srsf1 participates in stress responsive RNA regulation, where it modulates splicing and translation of transcripts involved in stress adaptation, apoptosis, and metabolic homeostasis. In vertebrate systems, Srsf1 has been shown to shuttle between the nucleus and cytoplasm in response to cellular stress, influencing mRNA export and protein synthesis. These functions are conserved in zebrafish and contribute to developmental resilience during environmental or metabolic fluctuation. Isoform specific expression of srsf1a and srsf1b may reflect differences in tissue-specific RNA targets or regulatory timing, although both contribute to core SR protein activities.

At the molecular level, Srsf1 contains RNA recognition motifs that bind enhancer sequences and serine-rich domains phosphorylated by SR protein kinases, enabling regulated interactions with spliceosome machinery. Srsf1 influences exon inclusion, intron removal, and splice site selection across broad transcript networks, giving it a major role in generating protein diversity during development. Because splicing defects underlie numerous vertebrate developmental disorders, zebrafish Srsf1 models provide valuable insight into conserved mechanisms that link RNA processing to morphogenesis.

This Zebrafish Srsf1 antibody is suitable for detecting both the a and b isoforms in research focused on RNA splicing, alternative exon usage, neural development, craniofacial biology, and embryonic patterning in zebrafish. It supports studies examining SR protein regulatory networks, spliceosome assembly, and developmental phenotypes arising from disrupted RNA processing. NSJ Bioreagents provides this reagent within its zebrafish and RNA biology antibody collection.

Application Notes

Optimal dilution of the Zebrafish Srsf1 antibody should be determined by the researcher.

Immunogen

An E.coli-derived zebrafish recombinant protein (amino acids S2-E32) was used as the immunogen for the Zebrafish Srsf1 antibody. This antibody will detect the a and b isoforms.

Storage

After reconstitution, the Zebrafish Srsf1 antibody can be stored for up to one month at 4oC. For long-term, aliquot and store at -20oC. Avoid repeated freezing and thawing.

Cross
Bulk Quote Request Form
Name*:
Organization*:
Email*:
Phone Number*:
Catalog No.*:
Comments and Specifics(amount, formulation, etc.)*:
Validation code: Captchapackage Image


Can't read the image? click here to refresh.
    *required field

Your bulk quote request has been submitted successfully!

Please contact us if you have any questions.