• Tel: 858.663.9055
  • SeparatorEmail: info@nsjbio.com
  • Tel: 858.663.9055
  • Email: info@nsjbio.com
Home >> Antibodies >> Zebrafish Spi1b Antibody / Pu.1b / Spi1

Zebrafish Spi1b Antibody / Pu.1b / Spi1 (RZ1314)

  Catalog No Formulation Size Price (USD)  
Image RZ1314 0.5mg/ml if reconstituted with 0.2ml sterile DI water 100 ug 539
Bulk quote request
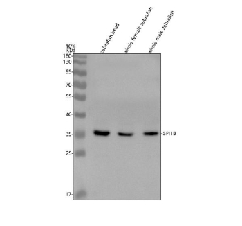
Zebrafish Spi1b Antibody Tissue WB. Western blot analysis of Spi1b protein using Zebrafish Spi1b antibody and 1) zebrafish head, 2) whole female zebrafish, 3) whole male zebrafish and 4) zebrafish embryo tissue lysate. Predicted molecular weight ~35 kDa.
Availability 2-3 weeks
Species Reactivity Zebrafish
Format Antigen affinity purified
Host Rabbit
Clonality Polyclonal (rabbit origin)
Isotype Rabbit Ig
Purity Antigen affinity chromatography
Buffer Lyophilized from 1X PBS with 2% Trehalose
UniProt A0A8M2BG46
Applications Western Blot : 0.5-1ug/ml
Limitations This Zebrafish Spi1b antibody is available for research use only.
Review this product on BioCompare and get a $20 Amazon gift card

Related Products

Description

Zebrafish Spi1b antibody targets Spi1b (Pu.1b), a transcription factor that plays a central role in hematopoietic lineage specification and immune cell development. In zebrafish, also known as Danio rerio, Spi1b is a member of the ETS family of transcription factors and functions as a key regulator of myeloid and lymphoid differentiation. The Spi1b protein localizes predominantly to the nucleus, where it binds specific DNA motifs to control transcriptional programs required for blood cell fate decisions. As a paralog of Spi1, Spi1b reflects the genome duplication events present in teleost fish and contributes to conserved immune regulatory pathways.

Spi1b is expressed early during zebrafish embryogenesis in hematopoietic progenitor populations and continues to be expressed in developing myeloid cells, including macrophages and neutrophils. Its activity is essential for the proper specification and maturation of innate immune cell lineages. Disruption of Spi1b expression in zebrafish has been shown to impair myeloid development, alter immune cell numbers, and affect inflammatory responses. These features make Spi1b a widely studied marker and regulator of hematopoietic and immune system development in zebrafish models. A Zebrafish Spi1b antibody supports investigations into blood cell differentiation and immune lineage commitment in Danio rerio.

Functionally, Spi1b regulates the expression of genes involved in cell survival, proliferation, and differentiation within the hematopoietic compartment. It operates within transcriptional networks that include other lineage-determining factors and signaling pathways that guide progenitor cells toward specific immune fates. Through its ETS DNA-binding domain, Spi1b interacts with promoter and enhancer regions to activate or repress target genes depending on developmental context. This regulatory flexibility allows Spi1b to coordinate multiple stages of immune cell development and function.

From a biological and disease-relevance perspective, Spi1 family transcription factors are extensively studied in mammals for their roles in leukemia, immune dysregulation, and inflammatory disease. Zebrafish Spi1b provides a conserved and experimentally accessible system for exploring how alterations in hematopoietic transcriptional regulation impact immune development and function. While zebrafish do not model all aspects of human hematologic disease, Spi1b-driven pathways show strong conservation, enabling mechanistic insight into immune differentiation and transcriptional control.

At the molecular level, zebrafish Spi1b is encoded by the spi1b gene and produces a protein of approximately 270 amino acids, consistent with ETS family transcription factors across vertebrates. The protein contains a conserved ETS DNA-binding domain that mediates sequence-specific recognition of target genes, along with regions involved in transcriptional activation and protein-protein interactions. Expression of Spi1b is tightly regulated during development and in response to immune cues. A Zebrafish Spi1b antibody is suitable for research applications examining hematopoiesis, immune system development, and transcriptional regulation in zebrafish, with NSJ Bioreagents providing reagents intended for research use.

This Zebrafish antibody is part of a broader Zebrafish / Danio rerio antibody panel offered by NSJ Bioreagents.

Application Notes

Optimal dilution of the Zebrafish Spi1b antibody should be determined by the researcher.

Immunogen

E. coli-derived zebrafish Spi1b recombinant protein (amino acids M1-M297) was used as the immunogen for the Zebrafish Spi1b antibody.

Storage

After reconstitution, the Zebrafish Spi1b antibody can be stored for up to one month at 4oC. For long-term, aliquot and store at -20oC. Avoid repeated freezing and thawing.

Cross
Bulk Quote Request Form
Name*:
Organization*:
Email*:
Phone Number*:
Catalog No.*:
Comments and Specifics(amount, formulation, etc.)*:
Validation code: Captchapackage Image


Can't read the image? click here to refresh.
    *required field

Your bulk quote request has been submitted successfully!

Please contact us if you have any questions.