• Tel: 858.663.9055
  • SeparatorEmail: info@nsjbio.com
  • Tel: 858.663.9055
  • Email: info@nsjbio.com
Home >> Antibodies >> Zebrafish Sox32 Antibody / Casanova

Zebrafish Sox32 Antibody / Casanova (RZ1313)

  Catalog No Formulation Size Price (USD)  
Image RZ1313 0.5mg/ml if reconstituted with 0.2ml sterile DI water 100 ug 539
Bulk quote request
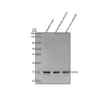
Zebrafish Sox32 Antibody Tissue WB. Western blot analysis of Sox32 protein using Zebrafish Sox32 antibody and 1) zebrafish head, 2) whole female zebrafish and 3) whole male zebrafish tissue lysate. Predicted molecular weight ~35 kDa.
Availability 2-3 weeks
Species Reactivity Zebrafish
Format Antigen affinity purified
Host Rabbit
Clonality Polyclonal (rabbit origin)
Isotype Rabbit Ig
Purity Antigen affinity chromatography
Buffer Lyophilized from 1X PBS with 2% Trehalose
UniProt Q90Z46
Applications Western Blot : 0.5-1ug/ml
Limitations This Zebrafish Sox32 antibody is available for research use only.
Review this product on BioCompare and get a $20 Amazon gift card

Related Products

Description

Zebrafish Sox32 antibody targets Casanova (Sox32), a transcription factor that plays a pivotal role in early endoderm specification during embryonic development. In zebrafish, also known as Danio rerio, Sox32 functions as a key regulator of cell fate decisions that guide the formation of endoderm-derived tissues, including the gut, liver, pancreas, and associated organs. Sox32 is a member of the SRY-related HMG-box (SOX) family of transcription factors and contains a conserved high mobility group DNA-binding domain that enables sequence-specific interaction with target gene regulatory regions. The protein localizes predominantly to the nucleus, consistent with its role in transcriptional control during early developmental stages.

Sox32 acts early in the zebrafish developmental program and is required for the initiation and maintenance of endodermal gene expression. It functions downstream of maternal and zygotic signaling pathways that include Nodal-related cues, integrating these inputs to activate endoderm-specific transcriptional networks. Loss of Sox32 activity in zebrafish embryos results in severe defects in endoderm formation, with mesodermal and ectodermal lineages forming at the expense of endodermal tissues. These phenotypes underscore the essential role of Sox32 in germ layer specification and developmental patterning. A Zebrafish Sox32 antibody supports studies focused on lineage commitment and early embryogenesis in Danio rerio.

Expression of Sox32 is spatially and temporally restricted, with strong expression detected in cells fated to become endoderm during gastrulation. As development progresses, Sox32 expression diminishes as downstream transcription factors take over the maintenance and differentiation of endodermal lineages. This tightly regulated expression profile makes Sox32 a widely used marker for early endodermal progenitors in zebrafish developmental biology. A Zebrafish Sox32 antibody is therefore useful for examining spatial expression patterns and regulatory dynamics during early embryonic stages.

From a mechanistic perspective, Sox32 cooperates with other transcriptional regulators to activate genes required for endoderm formation while repressing alternative lineage programs. Through its HMG-box domain, Sox32 induces DNA bending and facilitates the assembly of transcriptional complexes at target promoters and enhancers. Although Sox32 is considered zebrafish-specific in function, its role parallels that of related SOX family members in other vertebrates that govern endoderm and organogenesis, highlighting conserved principles of developmental regulation.

At the molecular level, zebrafish Sox32 is encoded by the sox32 gene and produces a protein of approximately 390 amino acids. The protein lacks extensive repetitive domains but relies on its conserved DNA-binding region and transcriptional activation capacity to exert biological effects. Regulation of Sox32 expression and activity is closely linked to developmental timing and signaling context. A Zebrafish Sox32 antibody supports research applications investigating early embryonic development, endoderm specification, and transcriptional regulation in zebrafish, with NSJ Bioreagents providing reagents intended for research use.

This Zebrafish antibody is part of a broader Zebrafish / Danio rerio antibody panel offered by NSJ Bioreagents.

Application Notes

Optimal dilution of the Zebrafish Sox32 antibody should be determined by the researcher.

Immunogen

E. coli-derived zebrafish Sox32 recombinant protein (amino acids M1-K307) was used as the immunogen for the Zebrafish Sox32 antibody.

Storage

After reconstitution, the Zebrafish Sox32 antibody can be stored for up to one month at 4oC. For long-term, aliquot and store at -20oC. Avoid repeated freezing and thawing.

Cross
Bulk Quote Request Form
Name*:
Organization*:
Email*:
Phone Number*:
Catalog No.*:
Comments and Specifics(amount, formulation, etc.)*:
Validation code: Captchapackage Image


Can't read the image? click here to refresh.
    *required field

Your bulk quote request has been submitted successfully!

Please contact us if you have any questions.