• Tel: 858.663.9055
  • SeparatorEmail: info@nsjbio.com
  • Tel: 858.663.9055
  • Email: info@nsjbio.com
Home >> Antibodies >> Zebrafish Sox1 Antibody / Sox1a / Sox1b

Zebrafish Sox1 Antibody / Sox1a / Sox1b (RZ1116)

  Catalog No Formulation Size Price (USD)  
Image RZ1116 0.5mg/ml if reconstituted with 0.2ml sterile DI water 100 ug 539
Bulk quote request
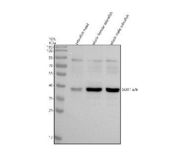
Western blot analysis of SOX1a/b protein using Sox1 antibody and 1) zebrafish head, 2) whole female zebrafish and 3) whole male zebrafish tissue lysate. Predicted molecular weight ~36 kDa.
Availability 2-3 weeks
Species Reactivity Zebrafish
Format Antigen affinity purified
Host Rabbit
Clonality Polyclonal (rabbit origin)
Isotype Rabbit Ig
Purity Antigen affinity chromatography
Buffer Lyophilized from 1X PBS with 2% Trehalose
UniProt Q6DGL6 , Q2Z1R2
Applications Western Blot : 0.5-1 ug/ml
Limitations This Zebrafish Sox1 antibody is available for research use only.
Review this product on BioCompare and get a $20 Amazon gift card

Related Products

  • Applications : WB
    Reactivity : Human, Mouse, Rat
    Rab Mono Image
  • Applications : WB, FACS, ELISA
    Reactivity : Human
    Pred. Reactivity : Mouse, Primate, Chicken, Zebrafish, Xenopus
  • Applications : WB
    Reactivity : Human, Mouse, Rat

Description

Zebrafish (Danio rerio) Sox1 antibody detects Sox1, a transcription factor of the SRY-related HMG-box family that plays a central role in early neural identity, progenitor maintenance, and forebrain patterning. In zebrafish, this regulatory function is carried out by two paralogs, sox1a and sox1b, which together represent the functional equivalents of mammalian SOX1. Both paralogs encode high-mobility group DNA-binding proteins that shape gene expression programs during the earliest phases of neurogenesis. Their combined activities support the specification of neural progenitors, the stabilization of neuroepithelial architecture, and the timing of neuronal differentiation. Because Sox1 function is deeply conserved across vertebrates, Zebrafish Sox1 antibody reagents are widely used in studies of neural development, transcription factor networks, and sensory system formation.

During embryogenesis, sox1a and sox1b are among the earliest markers of neural plate identity. Their expression domains emerge in the presumptive forebrain and spread through anterior neural territories as progenitors proliferate and organize into structured neuroepithelia. This early activity helps maintain neural precursor states by preventing premature differentiation and stabilizing chromatin configurations required for multipotency. Loss-of-function studies in vertebrate systems show that Sox1 influences forebrain segmentation, interneuron specification, and lens formation; zebrafish paralogs exhibit similar developmental relevance, with partially overlapping but distinct expression domains that refine regional patterning.

At the molecular level, Sox1 binds consensus HMG motifs within regulatory DNA regions and recruits transcriptional partners that influence chromatin accessibility. These interactions allow Sox1 to integrate developmental cues with downstream transcriptional outputs controlling cell polarity, cytoskeletal organization, and neuronal fate decisions. Genes influenced by Sox1 include regulators of neurogenic differentiation, axonal guidance, and sensory precursor maturation. Through these pathways, sox1a and sox1b contribute to the emergence of patterned neuronal populations and structural development of the forebrain and sensory organs.

Beyond neural plate patterning, Sox1 paralogs are involved in the formation of the vertebrate lens and other sensory structures. In zebrafish, sox1a is expressed prominently in lens placode derivatives, whereas sox1b has extended roles in forebrain neuronal lineages. These complementary expression profiles illustrate subfunctionalization following gene duplication, yet both paralogs remain integral to neural identity and sensory tissue development. Their coordinated activity ensures that early progenitors transition smoothly into regionally distinct neuronal lineages as differentiation proceeds.

Sox1 proteins localize to the nucleus, reflecting their role as transcriptional regulators. They interact with additional Sox family members, POU-domain transcription factors, and chromatin-modifying proteins that modulate neuronal gene expression. Because zebrafish embryos are optically transparent and exhibit rapid neural development, they provide an advantageous system for investigating how Sox1, Sox1a, and Sox1b orchestrate tissue organization, neuroepithelial stability, and differentiation timing.

A Zebrafish Sox1 antibody is suitable for research applications such as western blotting, immunohistochemistry, and assays examining neural progenitors, transcriptional regulation, and early embryonic patterning. This antibody targets Sox1 for studies involving neurogenesis, sensory organ development, and vertebrate nervous system formation. NSJ Bioreagents provides the Zebrafish Sox1 antibody to support research in developmental neurobiology and transcription factor function.

Application Notes

Optimal dilution of the Zebrafish Sox1 antibody should be determined by the researcher.

Immunogen

An E.coli-derived zebrafish Sox1a/b recombinant protein (amino acids M185-Y226) was used as the immunogen for the Zebrafish Sox1 antibody. This antibody will detect the a and b isoforms.

Storage

After reconstitution, the Zebrafish Sox1 antibody can be stored for up to one month at 4oC. For long-term, aliquot and store at -20oC. Avoid repeated freezing and thawing.

Cross
Bulk Quote Request Form
Name*:
Organization*:
Email*:
Phone Number*:
Catalog No.*:
Comments and Specifics(amount, formulation, etc.)*:
Validation code: Captchapackage Image


Can't read the image? click here to refresh.
    *required field

Your bulk quote request has been submitted successfully!

Please contact us if you have any questions.