• Tel: 858.663.9055
  • SeparatorEmail: info@nsjbio.com
  • Tel: 858.663.9055
  • Email: info@nsjbio.com
Home >> Antibodies >> Zebrafish Smarca4a Antibody / Smarca4

Zebrafish Smarca4a Antibody / Smarca4 (RZ1310)

  Catalog No Formulation Size Price (USD)  
Image RZ1310 0.5mg/ml if reconstituted with 0.2ml sterile DI water 100 ug 539
Bulk quote request
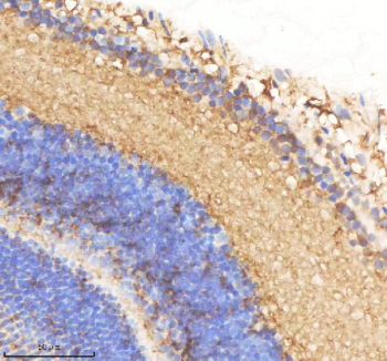
Zebrafish Smarca4a Antibody Brain Tissue IHC. Immunohistochemistry staining of zebrafish Smarca4 protein using Zebrafish Smarca4a antibody, HRP-labeled secondary and DAB substrate. Smarca4a was detected in a paraffin-embedded section of zebrafish brain tissue. HIER: boil tissue sections in pH8 EDTA for 20 min and allow to cool before testing.
Zebrafish Smarca4a Antibody Embryo Tissue WB. Western blot analysis of Smarca4 protein using Zebrafish Smarca4a antibody and zebrafish embryo tissue lysates. Predicted molecular weight ~185 kDa, commonly observed at 185-220 kDa. (human similarity)
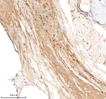
Zebrafish Smarca4a Antibody Spinal Cord Tissue IHC. Immunohistochemistry staining of zebrafish Smarca4 protein using Zebrafish Smarca4a antibody, HRP-labeled secondary and DAB substrate. Smarca4a was detected in a paraffin-embedded section of zebrafish spinal cord tissue. HIER: boil tissue sections in pH8 EDTA for 20 min and allow to cool before testing.
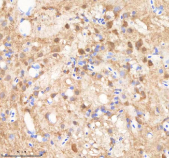
Zebrafish Smarca4a Antibody Eye Tissue IHC. Immunohistochemistry staining of zebrafish Smarca4 protein using Zebrafish Smarca4a antibody, HRP-labeled secondary and DAB substrate. Smarca4a was detected in a paraffin-embedded section of zebrafish eye tissue. HIER: boil tissue sections in pH8 EDTA for 20 min and allow to cool before testing.
Zebrafish Smarca4a Antibody Embryo Tissue IF. Immunofluorescent staining of Smarca4 protein in embryo tissue using Zebrafish Smarca4a antibody. HIER: boil tissue sections in pH8 EDTA for 20 min and allow to cool before testing.
Availability 2-3 weeks
Species Reactivity Zebrafish
Format Antigen affinity purified
Host Rabbit
Clonality Polyclonal (rabbit origin)
Isotype Rabbit Ig
Purity Antigen affinity chromatography
Buffer Lyophilized from 1X PBS with 2% Trehalose
UniProt Q7ZSY3
Localization Nuclear
Applications Western Blot : 0.5-1ug/ml
Immunohistochemistry (FFPE) : 2-5ug/ml
Immunofluorescence : 5ug/ml
Limitations This Zebrafish Smarca4a antibody is available for research use only.
Review this product on BioCompare and get a $20 Amazon gift card

Related Products

Description

The Zebrafish Smarca4a antibody targets Smarca4a, also known as Smarca4, a catalytic ATPase subunit of the SWI/SNF (BAF) chromatin remodeling complex that regulates transcription, chromatin accessibility, and cell fate decisions in Danio rerio. Zebrafish, also known as Danio rerio, express smarca4a broadly during embryogenesis, with strong enrichment in proliferative and differentiating tissues including the developing brain, neural crest, somites, heart, and endodermal organs. Smarca4a localizes primarily to the nucleus, where it uses ATP hydrolysis to reposition nucleosomes and modulate access of transcription factors to DNA, thereby coordinating developmental gene expression programs.

Smarca4a belongs to the SNF2 family of ATP-dependent helicase-like proteins and serves as the core motor of the SWI/SNF complex. In zebrafish embryos, smarca4a activity is tightly linked to early patterning events, lineage specification, and organogenesis. A Zebrafish Smarca4a antibody is suitable for detecting nuclear expression patterns associated with chromatin remodeling activity in tissues undergoing rapid transcriptional reprogramming and differentiation.

Functionally, Smarca4a plays a central role in regulating gene expression by altering chromatin structure. It facilitates activation or repression of developmental pathways by enabling or restricting transcription factor binding at enhancers and promoters. In zebrafish, Smarca4a is required for proper neural development, cardiac morphogenesis, somitogenesis, and maintenance of stem and progenitor cell states. Perturbation of smarca4a disrupts chromatin accessibility, leading to misregulation of pathways such as Wnt, Notch, Fgf, Hedgehog, and Bmp, which results in defects in tissue patterning, cell differentiation, and embryonic viability. Smarca4a also contributes to cell cycle control and DNA damage responses by coordinating chromatin dynamics with replication and repair processes.

Structurally, zebrafish Smarca4a contains conserved ATPase and helicase-related domains that provide the energy for nucleosome sliding and eviction, along with interaction regions that recruit additional SWI/SNF subunits and transcriptional regulators. These domains enable Smarca4a to assemble into distinct BAF complexes with context-dependent functions across tissues. The zebrafish smarca4a gene maps to chromosome 14 and is regulated by developmental transcription factors and signaling pathways that govern proliferation, differentiation, and chromatin state transitions. Co-localization studies detect Smarca4a in nuclear compartments enriched for active chromatin and transcriptional machinery, often overlapping with markers of open chromatin and lineage-specific transcription factors.

A Zebrafish Smarca4a antibody is suitable for detecting Smarca4a in studies focused on chromatin remodeling, epigenetic regulation, transcriptional control, and developmental biology in Danio rerio. Its nuclear localization provides a clear readout of chromatin remodeling activity during embryogenesis, enabling researchers to examine lineage specification, analyze epigenetic regulation of organ development, and investigate how chromatin dynamics integrate signaling pathways to control cell fate. Because SWI/SNF complexes are fundamental regulators of development and disease, Smarca4a serves as a key marker for studying epigenetic control mechanisms in zebrafish models. This antibody is supplied for research use by NSJ Bioreagents.

This Zebrafish antibody is part of a broader Zebrafish / Danio rerio antibody panel offered by NSJ Bioreagents.

Application Notes

Optimal dilution of the Zebrafish Smarca4a antibody should be determined by the researcher.

Immunogen

E. coli-derived zebrafish Smarca4a recombinant protein (amino acids Q573-E775) was used as the immunogen for the Zebrafish Smarca4a antibody.

Storage

After reconstitution, the Zebrafish Smarca4a antibody can be stored for up to one month at 4oC. For long-term, aliquot and store at -20oC. Avoid repeated freezing and thawing.

Cross
Bulk Quote Request Form
Name*:
Organization*:
Email*:
Phone Number*:
Catalog No.*:
Comments and Specifics(amount, formulation, etc.)*:
Validation code: Captchapackage Image


Can't read the image? click here to refresh.
    *required field

Your bulk quote request has been submitted successfully!

Please contact us if you have any questions.