• Tel: 858.663.9055
  • SeparatorEmail: info@nsjbio.com
  • Tel: 858.663.9055
  • Email: info@nsjbio.com
Home >> Antibodies >> Zebrafish Shha Antibody / Shh / Sonic Hedgehog

Zebrafish Shha Antibody / Shh / Sonic Hedgehog (RZ1309)

  Catalog No Formulation Size Price (USD)  
Image RZ1309 0.5mg/ml if reconstituted with 0.2ml sterile DI water 100 ug 539
Bulk quote request
IHC staining of FFPE zebrafish brain tissue with Shha antibody, HRP-labeled secondary and DAB substrate. HIER: boil tissue sections in pH8 EDTA for 20 min and allow to cool before testing.
Western blot analysis of Shha protein using Zebrafish Shha antibody and 1) zebrafish head, 2) whole female zebrafish, 3) whole male zebrafish and 4) zebrafish embryo tissue lysate. Predicted molecular weight ~46 kDa.
IHC staining of FFPE zebrafish cerebellum tissue with Shha antibody, HRP-labeled secondary and DAB substrate. HIER: boil tissue sections in pH8 EDTA for 20 min and allow to cool before testing.
IHC staining of FFPE zebrafish muscle tissue with Shha antibody, HRP-labeled secondary and DAB substrate. HIER: boil tissue sections in pH8 EDTA for 20 min and allow to cool before testing.
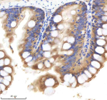
IHC staining of FFPE zebrafish colon tissue with Shha antibody, HRP-labeled secondary and DAB substrate. HIER: boil tissue sections in pH8 EDTA for 20 min and allow to cool before testing.
IHC staining of FFPE zebrafish embryo tissue with Shha antibody, HRP-labeled secondary and DAB substrate. HIER: boil tissue sections in pH8 EDTA for 20 min and allow to cool before testing.
Availability 2-3 weeks
Species Reactivity Zebrafish
Format Antigen affinity purified
Host Rabbit
Clonality Polyclonal (rabbit origin)
Isotype Rabbit Ig
Purity Antigen affinity chromatography
Buffer Lyophilized from 1X PBS with 2% Trehalose
UniProt Q92008
Localization Cytoplasm (ER, Golgi), cell membrane
Applications Western Blot : 0.5-1ug/ml
Immunohistochemistry (FFPE) : 2-5ug/ml
Limitations This Zebrafish Shha antibody is available for research use only.
Review this product on BioCompare and get a $20 Amazon gift card

Related Products

Description

The Zebrafish Shha antibody targets Shha, also known as Shh or Sonic Hedgehog, a secreted morphogen that plays a central role in embryonic patterning, tissue specification, and organogenesis in Danio rerio. Zebrafish, also known as Danio rerio, possess duplicated hedgehog genes, with shha serving as the primary ligand controlling midline signaling during early development. Shha is synthesized as a precursor protein that undergoes autocatalytic processing to generate an active N-terminal signaling fragment, which is secreted and acts over short and long ranges to regulate cell fate decisions. Shha expression is strongly enriched in the notochord, floor plate of the neural tube, ventral forebrain, somites, and developing musculature, reflecting its essential role in axial and ventral patterning.

Shha belongs to the Hedgehog family of signaling proteins and functions through binding to the Patched receptor, relieving repression of Smoothened and activating Gli-dependent transcriptional programs. In zebrafish embryos, Shha establishes concentration gradients that instruct dorsoventral neural tube patterning, specify motor neuron progenitors, regulate somite differentiation, and guide craniofacial and eye development. A Zebrafish Shha antibody is suitable for detecting Shha expression in midline and ventral tissues where hedgehog signaling coordinates morphogenetic programs and spatial organization during development.

Functionally, Shha is indispensable for proper embryonic patterning. It directs differentiation of ventral neural cell types, including floor plate cells and motor neurons, and regulates slow muscle fiber formation in somites. Shha signaling also influences left-right asymmetry, vascular patterning, and organ boundary formation by controlling proliferation and differentiation of progenitor populations. In zebrafish, loss or disruption of shha leads to severe defects such as cyclopia, impaired neural tube patterning, abnormal muscle development, and disrupted organogenesis, underscoring its role as a master developmental regulator. Because hedgehog signaling intersects with pathways such as Wnt, Fgf, Bmp, and Notch, Shha acts as an integrative signal coordinating multiple developmental inputs.

Structurally, zebrafish Shha is produced as a precursor that undergoes cleavage and lipid modification, including cholesterol attachment, which restricts diffusion and shapes signaling gradients. These biochemical features enable precise spatial control of hedgehog signaling during tissue patterning. The zebrafish shha gene maps to chromosome 7 and is transcriptionally regulated by early embryonic patterning cues and feedback mechanisms within the hedgehog pathway. Co-localization studies detect Shha protein along the notochord and floor plate, with downstream pathway activation evident in adjacent responding tissues, highlighting its role as a classic morphogen.

A Zebrafish Shha antibody is suitable for detecting Shha in studies focused on embryonic patterning, neural development, muscle differentiation, and hedgehog pathway signaling in Danio rerio. Its characteristic midline and ventral expression patterns make it a valuable marker for analyzing axial development, signaling gradients, and pathway perturbations in genetic or chemical models. Researchers use Shha expression to study congenital malformations, investigate pathway cross-talk during organogenesis, and map spatial domains of hedgehog activity throughout development. This antibody is supplied for research use by NSJ Bioreagents.

Application Notes

Optimal dilution of the Zebrafish Shha antibody should be determined by the researcher.

Immunogen

E. coli-derived zebrafish Shha recombinant protein (amino acids Q208-H409) was used as the immunogen for the Zebrafish Shha antibody.

Storage

After reconstitution, the Zebrafish Shha antibody can be stored for up to one month at 4oC. For long-term, aliquot and store at -20oC. Avoid repeated freezing and thawing.

Cross
Bulk Quote Request Form
Name*:
Organization*:
Email*:
Phone Number*:
Catalog No.*:
Comments and Specifics(amount, formulation, etc.)*:
Validation code: Captchapackage Image


Can't read the image? click here to refresh.
    *required field

Your bulk quote request has been submitted successfully!

Please contact us if you have any questions.