• Tel: 858.663.9055
  • SeparatorEmail: info@nsjbio.com
  • Tel: 858.663.9055
  • Email: info@nsjbio.com
Home >> Antibodies >> Zebrafish Sf3a3 Antibody / Splicing factor 3A subunit 3 / Sf3a60

Zebrafish Sf3a3 Antibody / Splicing factor 3A subunit 3 / Sf3a60 (RZ1148)

  Catalog No Formulation Size Price (USD)  
Image RZ1148 0.5mg/ml if reconstituted with 0.2ml sterile DI water 100 ug 539
Bulk quote request
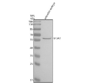
Zebrafish Sf3a3 Antibody Embryo Tissue WB. Western blot analysis of Sf3a3 protein using Zebrafish Sf3a3 antibody and zebrafish embryo tissue lysate. The predicted molecular weight of Sf3a3 is ~59 kDa.
Availability 2-3 weeks
Species Reactivity Zebrafish
Format Antigen affinity purified
Host Rabbit
Clonality Polyclonal (rabbit origin)
Isotype Rabbit Ig
Purity Antigen affinity chromatography
Buffer Lyophilized from 1X PBS with 2% Trehalose
UniProt Q6DRK2
Applications Western Blot : 0.5-1 ug/ml
Limitations This Zebrafish Sf3a3 antibody is available for research use only.
Review this product on BioCompare and get a $20 Amazon gift card

Related Products

Description

Zebrafish (Danio rerio) Sf3a3 antibody detects Sf3a3, a key component of the spliceosome required for the assembly and activation of U2 small nuclear ribonucleoprotein (U2 snRNP). In zebrafish, the sf3a3 gene encodes Splicing factor 3A subunit 3, also known as Sf3a60, a conserved protein essential for recognizing branch point sequences and stabilizing early spliceosomal complexes. Sf3a3 forms part of the heterotrimeric SF3A complex together with Sf3a1 and Sf3a2, enabling precise intron removal and the generation of mature mRNA. Because pre-mRNA splicing is central to transcriptome regulation during development, Zebrafish Sf3a3 antibody reagents support research exploring RNA processing, nuclear organization, and vertebrate gene expression.

Sf3a3 contributes to the conversion of U2 snRNP from its inactive to active form by mediating interactions between U2 snRNA, the SF3A complex, and the pre-mRNA branch site. This step is a prerequisite for the formation of the A complex, the earliest spliceosomal intermediate that defines where intron excision will occur. In zebrafish embryos, sf3a3 expression is enriched in proliferative and transcriptionally active tissues such as the neural tube, somites, developing brain, and early endoderm. These tissues generate large numbers of transcripts that require accurate and efficient processing, highlighting the importance of Sf3a3 during organogenesis.

Splicing factor 3A subunit 3 also influences alternative splicing, a process that expands proteomic diversity and shapes tissue identity. Through its regulatory interactions, Sf3a3 helps determine splice site selection and ensures that exons and introns are interpreted correctly during development. In zebrafish, disruptions in sf3a3 function can lead to widespread splicing defects, misregulation of developmental genes, and impaired tissue patterning. Because alternative splicing controls pathways related to neurogenesis, mesoderm formation, and metabolic adaptation, Sf3a3 serves as a critical node in developmental gene regulation.

At the molecular level, Sf3a3 interacts with the SF3B complex, additional spliceosomal proteins, and RNA binding factors to stabilize pre-spliceosomal architecture. Its domains enable precise positioning of U2 snRNP at intronic branch points, promoting correct spliceosome progression. Subcellular localization of Sf3a3 is strictly nuclear, with strong enrichment in nuclear speckles and additional subnuclear regions associated with active RNA processing. These localization patterns make Sf3a3 a useful marker for examining spliceosome assembly and nuclear organization in zebrafish embryos.

Sf3a3 also participates in quality control pathways that monitor splicing fidelity. When pre-mRNA processing is impaired, spliceosomal components such as Sf3a3 participate in regulatory feedback that coordinates transcriptional output with processing capacity. This coordination is essential for zebrafish development, where rapid transcriptional changes accompany cell specification, patterning events, and morphological transitions.

Disruptions in the vertebrate SF3A complex, including mutations in SF3A3, have been linked to spliceosomal dysfunction and disease. Although zebrafish phenotypes vary depending on developmental timing, compromised sf3a3 activity may lead to delayed growth, mispatterned tissues, or defects in neural and muscular development. These parallels underscore the conservation of splicing machinery across species.

A Zebrafish Sf3a3 antibody is suitable for research applications such as western blotting, immunohistochemistry, and assays examining RNA splicing, spliceosome assembly, and transcript processing. This antibody targets Sf3a3 for studies involving nuclear architecture, developmental gene regulation, and vertebrate RNA biology. NSJ Bioreagents provides the Zebrafish Sf3a3 antibody to support research in splicing regulation and molecular genetics.

This Zebrafish antibody is part of a broader Zebrafish / Danio rerio antibody panel offered by NSJ Bioreagents.

Application Notes

Optimal dilution of the Zebrafish Sf3a3 antibody should be determined by the researcher.

Immunogen

An E.coli-derived zebrafish Sf3a3 recombinant protein (amino acids E123-Q472) was used as the immunogen for the Zebrafish Sf3a3 antibody.

Storage

After reconstitution, the Zebrafish Sf3a3 antibody can be stored for up to one month at 4oC. For long-term, aliquot and store at -20oC. Avoid repeated freezing and thawing.

Cross
Bulk Quote Request Form
Name*:
Organization*:
Email*:
Phone Number*:
Catalog No.*:
Comments and Specifics(amount, formulation, etc.)*:
Validation code: Captchapackage Image


Can't read the image? click here to refresh.
    *required field

Your bulk quote request has been submitted successfully!

Please contact us if you have any questions.