• Tel: 858.663.9055
  • SeparatorEmail: info@nsjbio.com
  • Tel: 858.663.9055
  • Email: info@nsjbio.com
Home >> Antibodies >> Zebrafish Rab14 Antibody / Rab14l

Zebrafish Rab14 Antibody / Rab14l (RZ1297)

  Catalog No Formulation Size Price (USD)  
Image RZ1297 0.5mg/ml if reconstituted with 0.2ml sterile DI water 100 ug 539
Bulk quote request
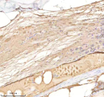
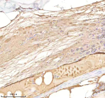
Zebrafish Rab14 Antibody Spinal Tissue IHC. Immunohistochemistry staining of FFPE zebrafish spinal tissue with Rab14 antibody, HRP-labeled secondary and DAB substrate. HIER: boil tissue sections in pH8 EDTA for 20 min and allow to cool before testing.
Zebrafish Rab14 Antibody Tissue WB. Western blot analysis of Rab14 protein using Zebrafish Rab14 antibody and 1) zebrafish head, 2) whole female zebrafish and 3) whole male zebrafish tissue lysate. Predicted molecular weight ~24 kDa.
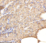
Zebrafish Rab14 Antibody Pancreas Tissue IHC. Immunohistochemistry staining of FFPE zebrafish pancreas tissue with Rab14 antibody, HRP-labeled secondary and DAB substrate. HIER: boil tissue sections in pH8 EDTA for 20 min and allow to cool before testing.
Availability 2-3 weeks
Species Reactivity Zebrafish
Format Antigen affinity purified
Host Rabbit
Clonality Polyclonal (rabbit origin)
Isotype Rabbit Ig
Purity Antigen affinity chromatography
Buffer Lyophilized from 1X PBS with 2% Trehalose
UniProt Q7ZVX4 , Q6PE19
Localization Cytoplasm
Applications Western Blot : 0.5-1ug/ml
Immunohistochemistry (FFPE) : 2-5ug/ml
Limitations This Zebrafish Rab14 antibody is available for research use only.
Review this product on BioCompare and get a $20 Amazon gift card

Related Products

Description

The Zebrafish Rab14 antibody targets Rab14, also known as Rab14l in Danio rerio, a member of the Rab family of small GTPases that regulate intracellular membrane trafficking, organelle positioning, and polarized transport during embryonic development. Zebrafish, also referred to as Danio rerio, express rab14 broadly across early embryogenesis, with enriched levels in epithelial tissues, neural precursors, developing somites, and endoderm-derived organs. Rab14 localizes primarily to endosomes, the trans-Golgi network, and recycling pathways, where it governs vesicle budding, cargo sorting, and delivery to specific membrane domains crucial for morphogenesis and cell polarity.

Rab14 belongs to the Ras superfamily of GTP-binding proteins and cycles between an active GTP-bound state and an inactive GDP-bound state, allowing it to function as a molecular switch for membrane-trafficking pathways. In zebrafish embryos, Rab14 supports dynamic membrane rearrangements required for rapid proliferation, axis formation, and tissue organization. A Zebrafish Rab14 antibody is suitable for detecting Rab14 in endosomal and perinuclear regions, providing insight into membrane transport routes that support signaling, nutrient handling, and morphogen distribution during development.

Functionally, Rab14 plays a central role in coordinating endocytic and recycling pathways that regulate cellular communication and surface receptor presentation. Studies in vertebrate systems show Rab14 involvement in apical-basal polarity, epithelial lumen formation, and trafficking of key regulators including tight junction proteins, guidance receptors, and morphogen modulators. In zebrafish, these functions align with Rab14 expression in tissues undergoing rapid morphogenesis, where trafficking precision impacts neural tube patterning, somitogenesis, cardiac chamber development, gut formation, and sensory organ differentiation. Disruption of rab14 can impair membrane recycling efficiency, alter distribution of signaling receptors, and disturb coordinated migration of developing cell populations.

Structurally, zebrafish Rab14 contains conserved GTP-binding domains and switch regions that interact with effector proteins required for vesicle docking, membrane tethering, and cargo selection. Rab14 associates with endosomal membranes through prenylation and interacts with regulators such as GEFs and GAPs that modulate its activity cycle. The zebrafish rab14 gene maps to chromosome 5 and is developmentally regulated by transcriptional programs that control membrane dynamics, epithelial maturation, and intracellular transport balance. Co-localization analyses in developing tissues identify Rab14 in early endosomes, recycling endosomes, and Golgi-associated compartments, overlapping with markers of trafficking regulators and cytoskeletal remodeling machinery.

A Zebrafish Rab14 antibody is suitable for detecting Rab14 in studies focused on membrane trafficking, cell polarity, intracellular transport dynamics, epithelial morphogenesis, and endosomal signaling networks in Danio rerio. Because vesicle traffic influences distribution of morphogens and receptors essential for developmental pathways including Wnt, Fgf, Hedgehog, and Notch, Rab14 serves as an important marker of endosomal regulation and developmental transport fidelity. This antibody is supplied for research use by NSJ Bioreagents.

This Zebrafish antibody is part of a broader Zebrafish / Danio rerio antibody panel offered by NSJ Bioreagents.

Application Notes

Optimal dilution of the Zebrafish Rab14 antibody should be determined by the researcher.

Immunogen

E. coli-derived zebrafish Rab14 recombinant protein (amino acids D108-C215) was used as the immunogen for the Zebrafish Rab14 antibody. This antibody will detect Rab14 and Rab14l protein.

Storage

After reconstitution, the Zebrafish Rab14 antibody can be stored for up to one month at 4oC. For long-term, aliquot and store at -20oC. Avoid repeated freezing and thawing.

Cross
Bulk Quote Request Form
Name*:
Organization*:
Email*:
Phone Number*:
Catalog No.*:
Comments and Specifics(amount, formulation, etc.)*:
Validation code: Captchapackage Image


Can't read the image? click here to refresh.
    *required field

Your bulk quote request has been submitted successfully!

Please contact us if you have any questions.