• Tel: 858.663.9055
  • SeparatorEmail: info@nsjbio.com
  • Tel: 858.663.9055
  • Email: info@nsjbio.com
Home >> Antibodies >> Zebrafish Psmc3 Antibody / Proteasome 26S subunit ATPase 3 / Tbp-1

Zebrafish Psmc3 Antibody / Proteasome 26S subunit ATPase 3 / Tbp-1 (RZ1319)

  Catalog No Formulation Size Price (USD)  
Image RZ1319 0.5mg/ml if reconstituted with 0.2ml sterile DI water 100 ug 539
Bulk quote request
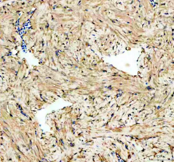
Zebrafish Psmc3 Antibody Heart Tissue IHC. Immunohistochemistry staining of FFPE zebrafish heart tissue with Psmc3 antibody, HRP-labeled secondary and DAB substrate. HIER: boil tissue sections in pH8 EDTA for 20 min and allow to cool before testing.
Zebrafish Psmc3 Antibody Tissue WB. Western blot analysis of Psmc3 protein using Zebrafish Psmc3 antibody and 1) zebrafish head, 2) whole female zebrafish, 3) whole male zebrafish and 4) zebrafish embryo tissue lysate. Predicted molecular weight ~49 kDa.
Zebrafish Psmc3 Antibody Brain Tissue IHC. Immunohistochemistry staining of FFPE zebrafish brain tissue with Psmc3 antibody, HRP-labeled secondary and DAB substrate. HIER: boil tissue sections in pH8 EDTA for 20 min and allow to cool before testing.
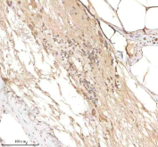
Zebrafish Psmc3 Antibody Spinal Tissue IHC. Immunohistochemistry staining of FFPE zebrafish spinal tissue with Psmc3 antibody, HRP-labeled secondary and DAB substrate. HIER: boil tissue sections in pH8 EDTA for 20 min and allow to cool before testing.
Availability 2-3 weeks
Species Reactivity Zebrafish
Format Antigen affinity purified
Host Rabbit
Clonality Polyclonal (rabbit origin)
Isotype Rabbit Ig
Purity Antigen affinity chromatography
Buffer Lyophilized from 1X PBS with 2% Trehalose
UniProt A0A0R4ILA8
Localization Cytoplasmic, Nuclear
Applications Western Blot : 0.5-1ug/ml
Immunohistochemistry (FFPE) : 2-5ug/ml
Limitations This Zebrafish Psmc3 antibody is available for research use only.
Review this product on BioCompare and get a $20 Amazon gift card

Related Products

Description

Zebrafish Psmc3 antibody targets Proteasome 26S subunit ATPase 3 (Psmc3), also known as Tbp-1, a core regulatory component of the 26S proteasome complex responsible for ATP-dependent protein degradation. In zebrafish, also known as Danio rerio, Psmc3 functions as part of the 19S regulatory particle, where it contributes to substrate recognition, unfolding, and translocation of ubiquitinated proteins into the 20S proteolytic core. Psmc3 localizes primarily to the cytoplasm and nucleus, consistent with the widespread cellular distribution of the proteasome system. It is a member of the AAA ATPase family, characterized by conserved ATP-binding and hydrolysis motifs required for proteasome activity.

Functionally, Psmc3 plays an essential role in maintaining protein homeostasis by supporting the selective degradation of misfolded, damaged, or short-lived regulatory proteins. In zebrafish, proteasome activity is critical during development due to rapid cell division, differentiation, and extensive protein turnover. Psmc3 expression is broadly detected across tissues, with elevated demand in proliferative and metabolically active cell types. A Psmc3 antibody supports studies examining proteostasis, protein quality control, and regulated protein turnover in Danio rerio.

Zebrafish has emerged as a valuable model for studying conserved proteasome biology due to strong evolutionary conservation of ubiquitin-proteasome pathway components. Impairment of Psmc3 or related proteasome subunits in zebrafish has been associated with accumulation of ubiquitinated proteins, cellular stress responses, and defects in tissue development. These observations highlight the requirement for functional Psmc3 in sustaining normal cellular physiology and stress adaptation. A Psmc3 antibody enables investigation of proteasome regulation under developmental, environmental, and stress-related conditions.

From a biological and disease-relevance perspective, Psmc3 is extensively studied in mammalian systems for its involvement in neurodevelopmental disorders, immune regulation, and diseases linked to proteasome dysfunction. Zebrafish Psmc3 provides a conserved comparative system for exploring how alterations in ATP-dependent proteasome activity influence cell survival, differentiation, and organismal development. Psmc3 also contributes indirectly to signaling pathways by regulating the stability of key transcription factors and cell cycle regulators.

At the molecular level, zebrafish Psmc3 is encoded by the psmc3 gene and produces a protein of approximately 439 amino acids, consistent with vertebrate Psmc3 orthologs. The protein contains a conserved AAA ATPase domain that drives conformational changes required for substrate unfolding and proteasome engagement. Regulation of Psmc3 expression and activity is closely tied to cellular protein turnover demands. A Psmc3 antibody supports research applications focused on proteasome function, protein degradation, and cellular quality control, with NSJ Bioreagents providing reagents intended for research use.

This Zebrafish antibody is part of a broader Zebrafish / Danio rerio antibody panel offered by NSJ Bioreagents.

Application Notes

Optimal dilution of the Zebrafish Psmc3 antibody should be determined by the researcher.

Immunogen

E. coli-derived zebrafish Psmc3 recombinant protein (amino acids M1-A427) was used as the immunogen for the Zebrafish Psmc3 antibody.

Storage

After reconstitution, the Zebrafish Psmc3 antibody can be stored for up to one month at 4oC. For long-term, aliquot and store at -20oC. Avoid repeated freezing and thawing.

Cross
Bulk Quote Request Form
Name*:
Organization*:
Email*:
Phone Number*:
Catalog No.*:
Comments and Specifics(amount, formulation, etc.)*:
Validation code: Captchapackage Image


Can't read the image? click here to refresh.
    *required field

Your bulk quote request has been submitted successfully!

Please contact us if you have any questions.