• Tel: 858.663.9055
  • SeparatorEmail: info@nsjbio.com
  • Tel: 858.663.9055
  • Email: info@nsjbio.com
Home >> Antibodies >> Zebrafish Prpf31 Antibody / Prp31 / Pre-mRNA processing factor 31

Zebrafish Prpf31 Antibody / Prp31 / Pre-mRNA processing factor 31 (RZ1282)

  Catalog No Formulation Size Price (USD)  
Image RZ1282 0.5mg/ml if reconstituted with 0.2ml sterile DI water 100 ug 539
Bulk quote request
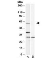
Western blot analysis of Prpf31 protein using Zebrafish Prpf31 antibody and zebrafish embryo tissue lysates. Predicted molecular weight ~56 kDa.
Availability 2-3 weeks
Species Reactivity Zebrafish
Format Antigen affinity purified
Host Rabbit
Clonality Polyclonal (rabbit origin)
Isotype Rabbit Ig
Purity Antigen affinity chromatography
Buffer Lyophilized from 1X PBS with 2% Trehalose
UniProt Q7SXM7
Applications Western Blot : 0.5-1ug/ml
Limitations This Zebrafish Prpf31 antibody is available for research use only.
Review this product on BioCompare and get a $20 Amazon gift card

Related Products

Description

The Zebrafish Prpf31 antibody targets Prpf31, also known as Prp31 or Pre-mRNA processing factor 31, a core U4/U6 snRNP-associated splicing factor essential for spliceosome assembly, pre-mRNA splicing fidelity, and gene expression control in Danio rerio. Zebrafish, also known as Danio rerio, express prpf31 broadly in transcriptionally active tissues during embryogenesis, with notable enrichment in the developing brain, retina, somites, and endodermal organs. Prpf31 localizes to the nucleus, particularly to spliceosome-rich regions and nuclear speckles, where it contributes to tri-snRNP stability and the assembly of catalytically competent spliceosomal complexes.

Prpf31 belongs to the PRPF31 family of splicing regulators and is an essential component of the U4/U6.U5 tri-snRNP, which participates in key rearrangements required for intron removal. Its conserved domains enable interactions with U4 and U6 snRNAs and with other splicing factors that stabilize the spliceosome during early activation steps. In zebrafish embryos, high prpf31 expression correlates with regions undergoing rapid cell proliferation and differentiation, reflecting its role in maintaining efficient mRNA processing during developmental transitions. A Zebrafish Prpf31 antibody is suitable for detecting nuclear enrichment in these domains, providing a marker for active RNA splicing and transcript maturation.

Functionally, Prpf31 is indispensable for spliceosome efficiency and fidelity. It stabilizes U4/U6 snRNP interactions and supports the rearrangements necessary for forming an active spliceosomal catalytic center. In zebrafish, prpf31 disruption impairs pre-mRNA splicing, reduces transcript maturation, and leads to defects in tissues requiring high splicing throughput such as neural structures and photoreceptor precursors. Because spliceosome function governs nearly all developmental signaling pathways, including Wnt, Notch, Fgf, and Hedgehog, Prpf31 indirectly influences the transcriptional and post-transcriptional networks that control embryonic patterning, neural development, and organ formation. Mutations in PRPF31 are linked to retinitis pigmentosa in humans, highlighting its importance in photoreceptor differentiation and maintenance.

Structurally, zebrafish Prpf31 contains conserved splicing-factor interaction motifs, including regions that bind U4/U6 snRNP components and support tri-snRNP assembly. These features facilitate coordination between snRNPs, RNA helicases, and RNA-binding proteins that remodel pre-mRNA substrates during intron excision. Zebrafish prpf31 maps to chromosome 6 and is regulated by developmental transcriptional cues and signaling pathways associated with neurogenesis and retinal specification. Co-localization studies detect Prpf31 in nuclear speckles and spliceosome-dense regions across developing tissues, frequently overlapping with markers of splicing machinery and transcriptional activity.

A Zebrafish Prpf31 antibody is suitable for detecting Prpf31 in studies focused on RNA splicing, spliceosome assembly, neural and retinal development, transcriptome regulation, and early organogenesis in Danio rerio. Its nuclear localization provides a clear readout of active spliceosomal function during periods of rapid growth and differentiation. Researchers use Prpf31 expression to examine splicing defects in developmental mutants, evaluate transcript-processing abnormalities, investigate photoreceptor lineage specification, and assess how impaired splicing influences embryonic patterning. This antibody is supplied for research use by NSJ Bioreagents.

Application Notes

Optimal dilution of the Zebrafish Prpf31 antibody should be determined by the researcher.

Immunogen

E. coli-derived zebrafish Prpf31 recombinant protein (amino acids N84-K499) was used as the immunogen for the Zebrafish Prpf31 antibody.

Storage

After reconstitution, the Zebrafish Prpf31 antibody can be stored for up to one month at 4oC. For long-term, aliquot and store at -20oC. Avoid repeated freezing and thawing.

Cross
Bulk Quote Request Form
Name*:
Organization*:
Email*:
Phone Number*:
Catalog No.*:
Comments and Specifics(amount, formulation, etc.)*:
Validation code: Captchapackage Image


Can't read the image? click here to refresh.
    *required field

Your bulk quote request has been submitted successfully!

Please contact us if you have any questions.