• Tel: 858.663.9055
  • SeparatorEmail: info@nsjbio.com
  • Tel: 858.663.9055
  • Email: info@nsjbio.com
Home >> Antibodies >> Zebrafish Prox1a Antibody / Prospero homeobox 1a

Zebrafish Prox1a Antibody / Prospero homeobox 1a (RZ1280)

  Catalog No Formulation Size Price (USD)  
Image RZ1280 0.5mg/ml if reconstituted with 0.2ml sterile DI water 100 ug 539
Bulk quote request
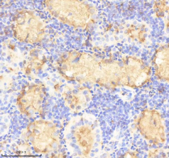
Zebrafish Prox1a Antibody Kidney Tissue IHC. Immunohistochemistry staining of FFPE zebrafish kidney tissue with Prox1a antibody, HRP-labeled secondary and DAB substrate. HIER: boil tissue sections in pH8 EDTA for 20 min and allow to cool before testing.
Zebrafish Prox1a Antibody Tissue WB. Western blot analysis of Prox1a protein using Zebrafish Prox1a antibody and 1) zebrafish head, 2) whole female zebrafish and 3) whole male zebrafish tissue lysate. Predicted molecular weight ~83 kDa, commonly observed at 80-100 kDa. (human similarity)
Availability 2-3 weeks
Species Reactivity Zebrafish
Format Antigen affinity purified
Host Rabbit
Clonality Polyclonal (rabbit origin)
Isotype Rabbit Ig
Purity Antigen affinity chromatography
Buffer Lyophilized from 1X PBS with 2% Trehalose
UniProt F1QAE1
Localization Nuclear, cytoplasmic
Applications Western Blot : 0.5-1ug/ml
Immunohistochemistry (FFPE) : 2-5ug/ml
Limitations This Zebrafish Prox1a antibody is available for research use only.
Review this product on BioCompare and get a $20 Amazon gift card

Related Products

Description

The Zebrafish Prox1a antibody targets Prox1a, also known as Prospero homeobox 1a, a nuclear transcription factor essential for lymphatic development, hepatopancreatic organogenesis, neurogenesis, and early tissue differentiation in Danio rerio. Zebrafish, also known as Danio rerio, possess two prox1 paralogs, prox1a and prox1b, with prox1a playing dominant roles in lymphatic endothelial specification and early endodermal development. Prox1a localizes to the nucleus, where it regulates transcriptional programs that guide cell identity, organ patterning, and lineage maturation during embryogenesis.

Prox1a belongs to the Prospero-related homeobox family and contains a conserved homeodomain required for DNA binding alongside regulatory regions that interact with chromatin-modifying complexes. In zebrafish embryos, prox1a expression is detected in venous endothelium during lymphatic precursor emergence, as well as in developing liver, pancreas, retina, spinal cord, and select forebrain regions. A Zebrafish Prox1a antibody is suitable for detecting nuclear expression in tissues undergoing identity transitions, lineage restriction, and organ-specific transcriptional programming.

Functionally, Prox1a is one of the central regulators of lymphangiogenesis. It designates lymphatic endothelial cell (LEC) fate by activating lymphatic gene programs and suppressing venous endothelial identity. Loss of prox1a results in defects in lymphatic sprouting, vessel formation, and proper LEC maintenance. Beyond lymphatic specification, Prox1a plays major roles in hepatopancreatic organogenesis by influencing early endodermal patterning, hepatocyte differentiation, and pancreatic epithelium maturation. In neural tissues, Prox1a helps regulate progenitor differentiation, neuronal subtype specification, and retinal development. Perturbation of prox1a expression leads to widespread developmental defects due to failure of tissue-specific transcriptional control.

Structurally, zebrafish Prox1a contains a homeobox DNA-binding domain and regulatory regions that recruit co-activators or co-repressors to modulate chromatin accessibility. These domains support its ability to coordinate developmental transcriptional switches across diverse organ systems. Zebrafish prox1a maps to chromosome 20 and is regulated by vascular endothelial signals, endodermal transcription factors, and neural differentiation pathways. Co-localization studies detect Prox1a in nuclei of venous endothelial clusters giving rise to lymphatic cells, as well as in liver primordia, pancreatic buds, neural progenitors, and developing retinal layers. Its expression frequently overlaps with markers of lymphatic identity, hepatopancreatic differentiation, and neurogenic regions.

A Zebrafish Prox1a antibody is suitable for detecting Prox1a in studies focused on lymphatic development, endothelial cell fate specification, hepatopancreatic organogenesis, neurogenesis, and transcriptional regulation during embryogenesis in Danio rerio. Its nuclear localization provides a clear readout of lineage-specifying transcriptional programs, enabling researchers to investigate LEC development, evaluate organ-patterning defects in mutants, study endodermal differentiation, and map neurogenic pathways requiring Prox1-family activity. Because Prox1a regulates multiple developmental systems, this antibody is widely used in zebrafish models examining lymphatic disease, organ formation, and transcription-factor-driven identity control. This antibody is supplied for research use by NSJ Bioreagents.

This Zebrafish antibody is part of a broader Zebrafish / Danio rerio antibody panel offered by NSJ Bioreagents.

Application Notes

Optimal dilution of the Zebrafish Prox1a antibody should be determined by the researcher.

Immunogen

E. coli-derived zebrafish Prox1a recombinant protein (amino acids E51-E739) was used as the immunogen for the Zebrafish Prox1a antibody.

Storage

After reconstitution, the Zebrafish Prox1a antibody can be stored for up to one month at 4oC. For long-term, aliquot and store at -20oC. Avoid repeated freezing and thawing.

Cross
Bulk Quote Request Form
Name*:
Organization*:
Email*:
Phone Number*:
Catalog No.*:
Comments and Specifics(amount, formulation, etc.)*:
Validation code: Captchapackage Image


Can't read the image? click here to refresh.
    *required field

Your bulk quote request has been submitted successfully!

Please contact us if you have any questions.