• Tel: 858.663.9055
  • SeparatorEmail: info@nsjbio.com
  • Tel: 858.663.9055
  • Email: info@nsjbio.com
Home >> Antibodies >> Zebrafish Ppp3r1 Antibody / Ppp3r1a / Ppp3r1b

Zebrafish Ppp3r1 Antibody / Ppp3r1a / Ppp3r1b (RZ1278)

  Catalog No Formulation Size Price (USD)  
Image RZ1278 0.5mg/ml if reconstituted with 0.2ml sterile DI water 100 ug 539
Bulk quote request
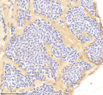
Zebrafish Ppp3r1 Antibody Heart Tissue IHC. Immunohistochemistry staining of FFPE zebrafish heart tissue with Ppp3r1 antibody, HRP-labeled secondary and DAB substrate. HIER: boil tissue sections in pH8 EDTA for 20 min and allow to cool before testing.
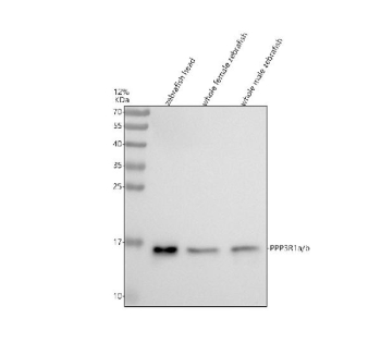
Zebrafish Ppp3r1 Antibody Tissue WB. Western blot analysis of Ppp3r1a/b protein using Zebrafish Ppp3r1 antibody and 1) zebrafish head, 2) whole female zebrafish, 3) whole male zebrafish tissue lysate. Predicted molecular weight ~19 kDa.
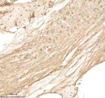
Zebrafish Ppp3r1 Antibody Brain Tissue IHC. Immunohistochemistry staining of FFPE zebrafish brain tissue with Ppp3r1 antibody, HRP-labeled secondary and DAB substrate. HIER: boil tissue sections in pH8 EDTA for 20 min and allow to cool before testing.
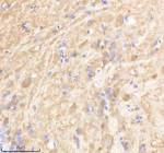
Zebrafish Ppp3r1 Antibody Spinal Tissue IHC. Immunohistochemistry staining of FFPE zebrafish spinal tissue with Ppp3r1 antibody, HRP-labeled secondary and DAB substrate. HIER: boil tissue sections in pH8 EDTA for 20 min and allow to cool before testing.
Availability 2-3 weeks
Species Reactivity Zebrafish
Format Antigen affinity purified
Host Rabbit
Clonality Polyclonal (rabbit origin)
Isotype Rabbit Ig
Purity Antigen affinity chromatography
Buffer Lyophilized from 1X PBS with 2% Trehalose
UniProt A0A8M3BEF6 , Q66HZ0
Applications Western Blot : 0.5-1ug/ml
Immunohistochemistry (FFPE) : 2-5ug/ml
Limitations This Zebrafish Ppp3r1 antibody is available for research use only.
Review this product on BioCompare and get a $20 Amazon gift card

Related Products

Description

The Zebrafish Ppp3r1 antibody targets Ppp3r1, including the duplicated paralogs Ppp3r1a and Ppp3r1b, a regulatory subunit of calcineurin essential for calcium-dependent signaling, neural development, muscle differentiation, and immune-related pathways in Danio rerio. Zebrafish, also known as Danio rerio, express ppp3r1 paralogs in developing brain regions, somites, heart, sensory tissues, and immune-associated cell populations where Ca2+-regulated phosphatase activity orchestrates key developmental transitions. Ppp3r1 localizes to the cytoplasm and nucleus, where it binds and stabilizes the catalytic calcineurin subunit, enabling precise activation of downstream transcription factors and calcium-responsive signaling networks.

Ppp3r1 belongs to the calcineurin B regulatory subunit family and contains EF-hand calcium-binding motifs required for Ca2+-dependent activation of calcineurin A. In zebrafish, ppp3r1a and ppp3r1b are enriched during early neural patterning, heart tube formation, and skeletal muscle differentiation, reflecting conserved roles in modulating intracellular Ca2+ signaling. A Zebrafish Ppp3r1 antibody is suitable for detecting cytoplasmic and nuclear expression across tissues where calcineurin-dependent pathways control differentiation, morphogenesis, and cellular responses to calcium flux.

Functionally, Ppp3r1 is indispensable for calcineurin activation, enabling dephosphorylation of substrates such as NFAT transcription factors. In zebrafish, this signaling axis regulates neural differentiation, axon guidance, cardiac development, and muscle fiber maturation. Ppp3r1 also influences immune-related pathways by regulating NFAT-dependent transcription in innate and adaptive immune cells. Disrupting calcineurin signaling via ppp3r1 perturbation can impair cardiac looping, alter neural circuit formation, disrupt muscle sarcomere organization, and influence stress responses during early development. Because calcium signaling integrates mechanical, electrical, and metabolic cues, Ppp3r1 serves as a central regulator of multiple developmental systems in zebrafish embryos.

Structurally, zebrafish Ppp3r1 proteins contain four EF-hand motifs that bind Ca2+ and stabilize the calcineurin holoenzyme, along with regions that interact directly with the catalytic calcineurin A subunit. These domains ensure proper assembly and activation of the phosphatase complex. Zebrafish ppp3r1a maps to chromosome 22 and ppp3r1b to chromosome 11, with each paralog showing partially overlapping expression patterns regulated by Ca2+-dependent developmental programs. Co-localization studies detect Ppp3r1 in neuronal cell bodies, somite musculature, developing heart tissue, and sensory structures, often overlapping with markers of calcineurin signaling and Ca2+-responsive pathways.

A Zebrafish Ppp3r1 antibody is suitable for detecting Ppp3r1 in studies focused on calcium signaling, calcineurin activation, neural and cardiac development, muscle differentiation, and immune pathway regulation in Danio rerio. Its localization across cytoplasmic and nuclear compartments provides insight into how Ca2+-driven phosphatase cascades regulate major developmental processes. Researchers use Ppp3r1 expression to examine signaling defects in mutants, assess calcium flux-regulated differentiation events, analyze neural circuit formation, and model cardiac or muscular developmental disorders. This antibody is supplied for research use by NSJ Bioreagents.

This Zebrafish antibody is part of a broader Zebrafish / Danio rerio antibody panel offered by NSJ Bioreagents.

Application Notes

Optimal dilution of the Zebrafish Ppp3r1 antibody should be determined by the researcher.

Immunogen

E. coli-derived zebrafish Ppp3r1 recombinant protein (amino acids E53-V175) was used as the immunogen for the Zebrafish Ppp3r1 antibody. This antibody will detect both the a and b isoform.

Storage

After reconstitution, the Zebrafish Ppp3r1 antibody can be stored for up to one month at 4oC. For long-term, aliquot and store at -20oC. Avoid repeated freezing and thawing.

Cross
Bulk Quote Request Form
Name*:
Organization*:
Email*:
Phone Number*:
Catalog No.*:
Comments and Specifics(amount, formulation, etc.)*:
Validation code: Captchapackage Image


Can't read the image? click here to refresh.
    *required field

Your bulk quote request has been submitted successfully!

Please contact us if you have any questions.