• Tel: 858.663.9055
  • SeparatorEmail: info@nsjbio.com
  • Tel: 858.663.9055
  • Email: info@nsjbio.com
Home >> Antibodies >> Zebrafish Ppp1r12a Antibody / Mypt1

Zebrafish Ppp1r12a Antibody / Mypt1 (RZ1244)

  Catalog No Formulation Size Price (USD)  
Image RZ1244 0.5mg/ml if reconstituted with 0.2ml sterile DI water 100 ug 539
Bulk quote request
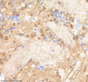
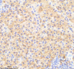
Zebrafish Ppp1r12a Antibody Muscle Tissue IHC. Immunohistochemistry staining of FFPE zebrafish muscle tissue with Ppp1r12a antibody, HRP-labeled secondary and DAB substrate. HIER: boil tissue sections in pH8 EDTA for 20 min and allow to cool before testing.
Zebrafish Ppp1r12a Antibody Tissue WB. Western blot analysis of Ppp1r12a protein using Zebrafish Ppp1r12a antibody and 1) whole female zebrafish and 2) whole male zebrafish tissue lysate. Predicted molecular weight ~117 kDa.
Zebrafish Ppp1r12a Antibody Liver Tissue IHC. Immunohistochemistry staining of FFPE zebrafish liver tissue with Ppp1r12a antibody, HRP-labeled secondary and DAB substrate. HIER: boil tissue sections in pH8 EDTA for 20 min and allow to cool before testing.
Zebrafish Ppp1r12a Antibody Brain Tissue IHC. Immunohistochemistry staining of FFPE zebrafish brain tissue with Ppp1r12a antibody, HRP-labeled secondary and DAB substrate. HIER: boil tissue sections in pH8 EDTA for 20 min and allow to cool before testing.
Availability 2-3 weeks
Species Reactivity Zebrafish
Format Antigen affinity purified
Host Rabbit
Clonality Polyclonal (rabbit origin)
Isotype Rabbit Ig
Purity Antigen affinity chromatography
Buffer Lyophilized from 1X PBS with 2% Trehalose
UniProt Q6DRG7
Localization Cytoplasm
Applications Western Blot : 0.5-1ug/ml
Immunohistochemistry (FFPE) : 2-5ug/ml
Limitations This Zebrafish Ppp1r12a antibody is available for research use only.
Review this product on BioCompare and get a $20 Amazon gift card

Related Products

Description

The Zebrafish Ppp1r12a antibody targets Ppp1r12a (also known as Mypt1), a regulatory subunit of myosin phosphatase essential for cytoskeletal organization, contractility control, and smooth muscle and mesodermal tissue morphogenesis in Danio rerio. Zebrafish, also known as Danio rerio, express ppp1r12a broadly during embryogenesis, with enriched expression in tissues undergoing dynamic cell shape changes, actomyosin remodeling, and morphogenetic movements. Mypt1 localizes to the cytoplasm and actomyosin-rich cortical regions, where it modulates myosin II phosphorylation state by directing protein phosphatase 1 catalytic subunits to their contractile substrates.

Ppp1r12a belongs to the myosin phosphatase targeting subunit family, characterized by regulatory domains that bind PP1, myosin heavy chains, and cytoskeletal-associated proteins. In zebrafish embryos, ppp1r12a plays crucial roles during gastrulation, convergence and extension movements, segmentation, and organogenesis by tuning actomyosin contractility. A Zebrafish Ppp1r12a antibody is suitable for research applications examining cytoplasmic localization patterns in tissues where cell shape, adhesion dynamics, and contractile machinery are actively regulated during development.

Functionally, Mypt1 regulates the dephosphorylation of myosin regulatory light chain, thereby reducing actomyosin tension and modulating cellular contractile forces. In zebrafish, this regulation is essential for proper tissue morphogenesis, including neural tube formation, somite boundary refinement, heart development, and epithelial integrity. Disruption of ppp1r12a function leads to abnormal contractility, impaired cell movement, defective axis elongation, and altered tissue cohesion. Mypt1 also interacts with RhoA-ROCK signaling, integrating upstream cues that modulate cytoskeletal tension during developmental processes. Because zebrafish embryos undergo rapid and visually accessible morphogenetic events, Ppp1r12a is frequently studied to understand force-dependent tissue shaping.

Structurally, zebrafish Ppp1r12a contains PP1-binding motifs, myosin-interacting domains, ankyrin repeats, and regulatory regions that respond to phosphorylation by kinases such as ROCK and ZIPK. These modifications influence Mypt1 localization and activity, allowing fine-tuned control of myosin phosphatase function. Zebrafish ppp1r12a maps to chromosome 15, with regulatory elements responsive to mesodermal patterning signals and cytoskeletal remodeling cues. Co-localization studies often detect Mypt1 along actin-rich cortical regions, muscle precursors, epithelial sheets, and developing cardiac tissues, frequently overlapping with markers of actomyosin activity such as phosphorylated myosin light chain or cytoskeletal regulatory proteins.

A Zebrafish Ppp1r12a antibody is suitable for detecting Mypt1 in studies focused on contractility regulation, cytoskeletal dynamics, epithelial and mesodermal morphogenesis, and heart and muscle development in Danio rerio. Its localization provides insight into regions undergoing mechanical remodeling, allowing researchers to investigate force generation, tissue folding, boundary formation, and contractility-driven morphogenetic changes. Ppp1r12a expression is also valuable for analyzing genetic mutants affecting RhoA-ROCK signaling, cell adhesion, or cytoskeletal balance. These features make the antibody a key tool for research in developmental biomechanics, cytoskeletal regulation, and vertebrate morphogenesis, and this reagent is supplied for research use by NSJ Bioreagents.

This Zebrafish antibody is part of a broader Zebrafish / Danio rerio antibody panel offered by NSJ Bioreagents.

Application Notes

Optimal dilution of the Zebrafish Ppp1r12a antibody should be determined by the researcher.

Immunogen

E. coli-derived zebrafish Ppp1r12a recombinant protein (amino acids M1-D40) was used as the immunogen for the Zebrafish Ppp1r12a antibody.

Storage

After reconstitution, the Zebrafish Ppp1r12a antibody can be stored for up to one month at 4oC. For long-term, aliquot and store at -20oC. Avoid repeated freezing and thawing.

Cross
Bulk Quote Request Form
Name*:
Organization*:
Email*:
Phone Number*:
Catalog No.*:
Comments and Specifics(amount, formulation, etc.)*:
Validation code: Captchapackage Image


Can't read the image? click here to refresh.
    *required field

Your bulk quote request has been submitted successfully!

Please contact us if you have any questions.