• Tel: 858.663.9055
  • SeparatorEmail: info@nsjbio.com
  • Tel: 858.663.9055
  • Email: info@nsjbio.com
Home >> Antibodies >> Zebrafish Ppm1g Antibody / Protein phosphatase 1G

Zebrafish Ppm1g Antibody / Protein phosphatase 1G (RZ1277)

  Catalog No Formulation Size Price (USD)  
Image RZ1277 0.5mg/ml if reconstituted with 0.2ml sterile DI water 100 ug 539
Bulk quote request
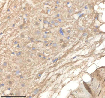
IHC staining of zebrafish Ppm1g protein using Zebrafish Ppm1g antibody, HRP-labeled secondary and DAB substrate. Ppm1g was detected in a paraffin-embedded section of zebrafish brain tissue. HIER: boil tissue sections in pH8 EDTA for 20 min and allow to cool before testing.
Western blot analysis of Ppm1g protein using Zebrafish Ppm1g antibody and 1) zebrafish embryo tissue lysates. Predicted molecular weight ~58 kDa, but commonly observed at up to ~79 kDa. (human similarity)
Availability 2-3 weeks
Species Reactivity Zebrafish
Format Antigen affinity purified
Host Rabbit
Clonality Polyclonal (rabbit origin)
Isotype Rabbit Ig
Purity Antigen affinity chromatography
Buffer Lyophilized from 1X PBS with 2% Trehalose
UniProt F1QJE5
Applications Western Blot : 0.5-1ug/ml
Immunohistochemistry (FFPE) : 2-5ug/ml
Limitations This Zebrafish Ppm1g antibody is available for research use only.
Review this product on BioCompare and get a $20 Amazon gift card

Related Products

Description

The Zebrafish Ppm1g antibody targets Ppm1g, also known as Protein phosphatase 1G, a nuclear serine/threonine phosphatase essential for RNA splicing regulation, cell cycle control, DNA damage responses, and chromatin-associated signaling in Danio rerio. Zebrafish, also known as Danio rerio, express ppm1g broadly during early development, with strong enrichment in proliferative and transcriptionally active tissues including the developing brain, somites, retina, and endodermal organs. Ppm1g localizes primarily to the nucleus, where it dephosphorylates key substrates involved in pre-mRNA processing, spliceosome assembly, and genome stability programs that support rapid embryonic growth.

Ppm1g belongs to the PP2C family of Mg2+/Mn2+-dependent phosphatases and contains the characteristic metal-binding catalytic core that mediates its dephosphorylation activity. In zebrafish embryos, ppm1g expression is detected in regions undergoing intensive transcription and RNA processing, reflecting its role in coordinating spliceosomal maturation and RNA stability. A Zebrafish Ppm1g antibody is suitable for detecting nuclear localization in tissues where phosphatase-dependent splicing regulation and chromatin-mediated signaling are critical for developmental progression.

Functionally, Ppm1g regulates multiple steps of RNA metabolism. It modulates spliceosome dynamics by dephosphorylating SR proteins, ensuring accurate exon selection and transcript processing. Ppm1g also contributes to DNA damage responses by influencing p53-related signaling and stabilizing genome maintenance pathways. In zebrafish, Ppm1g activity supports neural differentiation, somite patterning, and early organogenesis by coordinating transcriptional and post-transcriptional regulatory programs. Perturbations of ppm1g expression can impair mRNA splicing, disrupt cell cycle transitions, and lead to defects in tissue patterning due to improper transcript processing or stress signaling.

Structurally, zebrafish Ppm1g contains the conserved PP2C catalytic domain responsible for metal-dependent dephosphorylation, along with flanking regulatory regions that contribute to nuclear localization and substrate specificity. The ppm1g gene maps to chromosome 7 and is regulated by developmental transcription factors, proliferative cues, and stress-responsive pathways that modulate RNA-processing demands. Co-localization studies detect Ppm1g in the nuclei of neural progenitors, proliferative somite cells, and emerging organ primordia, often overlapping with markers of splicing machinery, transcriptional activity, and genome integrity maintenance.

A Zebrafish Ppm1g antibody is suitable for detecting Ppm1g in studies focused on RNA splicing regulation, PP2C-family phosphatase signaling, DNA damage responses, neural and mesodermal development, and chromatin-associated processes in Danio rerio. Its nuclear distribution provides a clear readout of regions where active splicing and phosphatase-dependent transcriptional control intersect. Researchers use Ppm1g expression patterns to evaluate mutants affecting RNA processing, analyze stress-induced transcriptional shifts, and examine developmental programs requiring precise phosphatase regulation. This antibody is supplied for research use by NSJ Bioreagents.

Application Notes

Optimal dilution of the Zebrafish Ppm1g antibody should be determined by the researcher.

Immunogen

E. coli-derived zebrafish Ppm1g recombinant protein (amino acids E45-S456) was used as the immunogen for the Zebrafish Ppm1g antibody.

Storage

After reconstitution, the Zebrafish Ppm1g antibody can be stored for up to one month at 4oC. For long-term, aliquot and store at -20oC. Avoid repeated freezing and thawing.

Cross
Bulk Quote Request Form
Name*:
Organization*:
Email*:
Phone Number*:
Catalog No.*:
Comments and Specifics(amount, formulation, etc.)*:
Validation code: Captchapackage Image


Can't read the image? click here to refresh.
    *required field

Your bulk quote request has been submitted successfully!

Please contact us if you have any questions.