• Tel: 858.663.9055
  • SeparatorEmail: info@nsjbio.com
  • Tel: 858.663.9055
  • Email: info@nsjbio.com
Home >> Antibodies >> Zebrafish Pou5f1 Antibody / Pou5f3

Zebrafish Pou5f1 Antibody / Pou5f3 (RZ1275)

  Catalog No Formulation Size Price (USD)  
Image RZ1275 0.5mg/ml if reconstituted with 0.2ml sterile DI water 100 ug 539
Bulk quote request
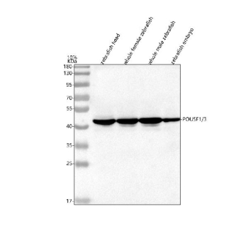
Zebrafish Pou5f1 Antibody Tissue WB. Western blot analysis of Pou5f1/3 protein using Zebrafish Pou5f1 antibody and 1) zebrafish head, 2) whole female zebrafish, 3) whole male zebrafish and 4) zebrafish embryo tissue lysate. Predicted molecular weight ~51 kDa.
Availability 2-3 weeks
Species Reactivity Zebrafish
Format Antigen affinity purified
Host Rabbit
Clonality Polyclonal (rabbit origin)
Isotype Rabbit Ig
Purity Antigen affinity chromatography
Buffer Lyophilized from 1X PBS with 2% Trehalose
UniProt Q90270 , A0A8M2B807
Applications Western Blot : 0.5-1ug/ml
Limitations This Zebrafish Pou5f1 antibody is available for research use only.
Review this product on BioCompare and get a $20 Amazon gift card

Related Products

Description

The Zebrafish Pou5f1 antibody targets Pou5f1, also known as Pou5f3, a POU-homeodomain transcription factor essential for pluripotency maintenance, zygotic genome activation, germ layer formation, and early embryonic patterning in Danio rerio. Zebrafish, also known as Danio rerio, express pou5f1 maternally and zygotically, with high levels during the blastula and gastrula stages where it functions as a master regulator of developmental gene expression. Pou5f1 localizes to the nucleus, binding octamer motifs across the genome to activate or repress transcriptional networks that drive cell fate transitions, epiboly movements, and early tissue specification.

Pou5f1 belongs to the POU-class V family of transcription factors, homologous to mammalian OCT4, and contains a bipartite DNA-binding POU domain consisting of a POU-specific region and a POU-homeodomain connected by a flexible linker. This structure supports high-affinity DNA recognition and cooperative regulation with other early transcription factors. In zebrafish, Pou5f1 is expressed in pluripotent blastomeres, early epiblast cells, and the forming germ layers. A Zebrafish Pou5f1 antibody is suitable for detecting nuclear expression in these early embryonic domains, where transcriptional control mechanisms define developmental competence.

Functionally, Pou5f1 serves as a central regulator of zygotic genome activation (ZGA). It initiates transcription of hundreds of early embryonic genes while repressing inappropriate lineage programs to maintain developmental plasticity. Pou5f1 collaborates with SoxB1 factors to regulate neural induction, endoderm specification, and mesodermal patterning. It also modulates Wnt, Nodal, and BMP pathway components, integrating signaling inputs with transcriptional outputs required for germ layer separation and body axis formation. Loss of pou5f1 in zebrafish disrupts ZGA, halts epiboly progression, impairs germ layer formation, and produces developmental arrest, underlining its indispensable role in early embryogenesis.

Structurally, zebrafish Pou5f1 contains its hallmark POU-specific (POUS) domain and POU-homeodomain (POUH), which together bind octamer sequences and recruit transcriptional co-factors. These domains guide chromatin accessibility changes that shape transcriptional landscapes during early development. Zebrafish pou5f1 (pou5f3) maps to chromosome 5 and is highly regulated by maternal determinants and early signaling pathways associated with blastula-stage patterning. Co-localization studies detect Pou5f1 in nuclei of pluripotent blastomeres, presumptive epiblast cells, and early germ layer progenitors, frequently overlapping with markers such as SoxB1, Nanog-like factors, and ZGA-associated transcriptional regulators.

A Zebrafish Pou5f1 antibody is suitable for detecting Pou5f1 in studies focused on pluripotency, zygotic genome activation, germ layer formation, blastula-stage transcription, and early cell fate control in Danio rerio. Its nuclear localization provides precise insight into the timing and spatial distribution of core transcriptional programs that define embryonic potential. Researchers use Pou5f1 expression to analyze mutants affecting ZGA, evaluate early lineage disruptions, study transcription-factor-driven chromatin dynamics, and investigate how environmental or genetic perturbations influence core developmental transitions. This reagent is supplied for research use by NSJ Bioreagents.

This Zebrafish antibody is part of a broader Zebrafish / Danio rerio antibody panel offered by NSJ Bioreagents.

Application Notes

Optimal dilution of the Zebrafish Pou5f1 antibody should be determined by the researcher.

Immunogen

E. coli-derived zebrafish Pou5f1 recombinant protein (amino acids M1-S472) was used as the immunogen for the Zebrafish Pou5f1 antibody. This antibody will detect both Pou5f1 and Pou5f3.

Storage

After reconstitution, the Zebrafish Pou5f1 antibody can be stored for up to one month at 4oC. For long-term, aliquot and store at -20oC. Avoid repeated freezing and thawing.

Cross
Bulk Quote Request Form
Name*:
Organization*:
Email*:
Phone Number*:
Catalog No.*:
Comments and Specifics(amount, formulation, etc.)*:
Validation code: Captchapackage Image


Can't read the image? click here to refresh.
    *required field

Your bulk quote request has been submitted successfully!

Please contact us if you have any questions.