• Tel: 858.663.9055
  • SeparatorEmail: info@nsjbio.com
  • Tel: 858.663.9055
  • Email: info@nsjbio.com
Home >> Antibodies >> Zebrafish Polr2d Antibody / Rpb4 / DNA-directed RNA polymerase II subunit RPB4

Zebrafish Polr2d Antibody / Rpb4 / DNA-directed RNA polymerase II subunit RPB4 (RZ1274)

  Catalog No Formulation Size Price (USD)  
Image RZ1274 0.5mg/ml if reconstituted with 0.2ml sterile DI water 100 ug 539
Bulk quote request
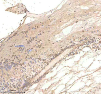
Zebrafish Polr2d Antibody Spinal Tissue IHC. Immunohistochemistry staining of zebrafish Polr2d protein using Zebrafish Polr2d antibody, HRP-labeled secondary and DAB substrate. Polr2d was detected in a paraffin-embedded section of zebrafish spinal tissue. HIER: boil tissue sections in pH8 EDTA for 20 min and allow to cool before testing.
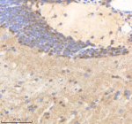
Zebrafish Polr2d Antibody Brain Tissue IHC. Immunohistochemistry staining of zebrafish Polr2d protein using Zebrafish Polr2d antibody, HRP-labeled secondary and DAB substrate. Polr2d was detected in a paraffin-embedded section of zebrafish brain tissue. HIER: boil tissue sections in pH8 EDTA for 20 min and allow to cool before testing.
Zebrafish Polr2d Antibody Muscle Tissue IHC. Immunohistochemistry staining of zebrafish Polr2d protein using Zebrafish Polr2d antibody, HRP-labeled secondary and DAB substrate. Polr2d was detected in a paraffin-embedded section of zebrafish muscle tissue. HIER: boil tissue sections in pH8 EDTA for 20 min and allow to cool before testing.
Availability 2-3 weeks
Species Reactivity Zebrafish
Format Antigen affinity purified
Host Rabbit
Clonality Polyclonal (rabbit origin)
Isotype Rabbit Ig
Purity Antigen affinity chromatography
Buffer Lyophilized from 1X PBS with 2% Trehalose
UniProt A0A8M1N062
Localization Nuclear
Applications Immunohistochemistry (FFPE) : 2-5ug/ml
Limitations This Zebrafish Polr2d antibody is available for research use only.
Review this product on BioCompare and get a $20 Amazon gift card

Related Products

Description

The Zebrafish Polr2d antibody targets Polr2d, also known as Rpb4 or DNA-directed RNA polymerase II subunit RPB4, a small but essential subunit of the RNA polymerase II complex that supports transcription initiation, mRNA stability, stress adaptation, and global gene expression control in Danio rerio. Zebrafish, also known as Danio rerio, express polr2d ubiquitously from early embryogenesis, reflecting its indispensable role in zygotic genome activation and transcriptional output during rapid tissue expansion. Polr2d localizes to the nucleus as part of the Pol II core, where it forms a functional heterodimer with Rpb7, stabilizing RNA polymerase II and coordinating interactions between the transcription machinery and nascent RNA transcripts.

Polr2d belongs to the conserved Rpb4/7 module of RNA polymerase II, a regulatory unit critical for transcription initiation, promoter escape, and stress-responsive gene expression. In zebrafish embryos, polr2d is enriched in proliferative and transcriptionally active tissues including the developing brain, neural tube, somites, retina, and endodermal organs. A Zebrafish Polr2d antibody is suitable for detecting nuclear expression in these regions, providing a marker for transcriptional engagement and Pol II stability during development.

Functionally, Polr2d is essential for RNA polymerase II assembly and for maintaining transcriptional activity under both normal and stress conditions. The Polr2d-Polr2g (Rpb4/7) complex stabilizes the transcription bubble, regulates mRNA capping and elongation, and facilitates the transition of Pol II into productive elongation. Polr2d also participates in mRNA processing and export by interacting with factors that regulate transcript stability and translation. In zebrafish, polr2d disruption leads to early developmental arrest due to failure of proper transcriptional activation, impaired mRNA production, and reduced ability of embryos to tolerate cellular stress. Its role in transcriptional adaptation makes Polr2d a valuable marker for studying stress responses, metabolic shifts, and developmental transcription control.

Structurally, zebrafish Polr2d forms a stable complex with Polr2g (Rpb7), creating a platform that modulates Pol II conformation, DNA binding, and RNA exit channel organization. These structural contributions are critical for linking promoter-proximal pausing, elongation, and RNA processing. Zebrafish polr2d maps to chromosome 17 and is regulated by maternal transcription factors, proliferative cues, and chromatin-associated signaling pathways. Co-localization studies detect Polr2d in nuclei of transcriptionally active cells, overlapping with phosphorylated Pol II CTD, transcription factor clusters, and co-transcriptional RNA-processing proteins.

A Zebrafish Polr2d antibody is suitable for detecting Polr2d in studies focused on transcriptional regulation, RNA polymerase II assembly, zygotic genome activation, stress-response transcription, and global gene expression control in Danio rerio. Its nuclear localization provides precise insight into transcriptional dynamics during tissue patterning, enabling researchers to analyze Pol II stability, evaluate defects in transcription initiation or elongation, and study environmental or chemical impacts on core transcriptional machinery. Because Polr2d is a fundamental component of RNA polymerase II, this antibody is widely used to investigate developmental gene regulation, chromatin-associated transcriptional processes, and stress adaptation pathways in zebrafish. This reagent is supplied for research use by NSJ Bioreagents.

This Zebrafish antibody is part of a broader Zebrafish / Danio rerio antibody panel offered by NSJ Bioreagents.

Application Notes

Optimal dilution of the Zebrafish Polr2d antibody should be determined by the researcher.

Immunogen

E. coli-derived zebrafish Polr2d recombinant protein (amino acids A10-D127) was used as the immunogen for the Zebrafish Polr2d antibody.

Storage

After reconstitution, the Zebrafish Polr2d antibody can be stored for up to one month at 4oC. For long-term, aliquot and store at -20oC. Avoid repeated freezing and thawing.

Cross
Bulk Quote Request Form
Name*:
Organization*:
Email*:
Phone Number*:
Catalog No.*:
Comments and Specifics(amount, formulation, etc.)*:
Validation code: Captchapackage Image


Can't read the image? click here to refresh.
    *required field

Your bulk quote request has been submitted successfully!

Please contact us if you have any questions.