• Tel: 858.663.9055
  • SeparatorEmail: info@nsjbio.com
  • Tel: 858.663.9055
  • Email: info@nsjbio.com
Home >> Antibodies >> Zebrafish Pi4kb Antibody / Phosphatidylinositol 4-kinase beta

Zebrafish Pi4kb Antibody / Phosphatidylinositol 4-kinase beta (RZ1270)

  Catalog No Formulation Size Price (USD)  
Image RZ1270 0.5mg/ml if reconstituted with 0.2ml sterile DI water 100 ug 539
Bulk quote request
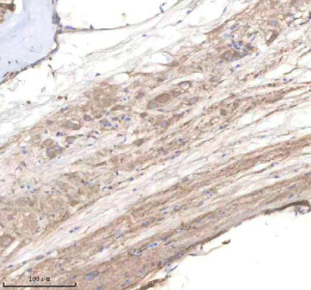
Zebrafish Pi4kb Antibody Spinal Tissue IHC. Immunohistochemistry staining of zebrafish Pi4kb protein using Zebrafish Pi4kb antibody, HRP-labeled secondary and DAB substrate. Pi4kb was detected in a paraffin-embedded section of zebrafish spinal tissue. HIER: boil tissue sections in pH8 EDTA for 20 min and allow to cool before testing.
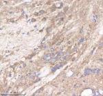
Zebrafish Pi4kb Antibody Brain Tissue IHC. Immunohistochemistry staining of zebrafish Pi4kb protein using Zebrafish Pi4kb antibody, HRP-labeled secondary and DAB substrate. Pi4kb was detected in a paraffin-embedded section of zebrafish brain tissue. HIER: boil tissue sections in pH8 EDTA for 20 min and allow to cool before testing.
Availability 2-3 weeks
Species Reactivity Zebrafish
Format Antigen affinity purified
Host Rabbit
Clonality Polyclonal (rabbit origin)
Isotype Rabbit Ig
Purity Antigen affinity chromatography
Buffer Lyophilized from 1X PBS with 2% Trehalose
UniProt Q49GP3
Localization Cytoplasm (ER, Mitochondria)
Applications Immunohistochemistry (FFPE) : 2-5ug/ml
Limitations This Zebrafish Pi4kb antibody is available for research use only.
Review this product on BioCompare and get a $20 Amazon gift card

Related Products

Description

The Zebrafish Pi4kb antibody targets Pi4kb, also known as Phosphatidylinositol 4-kinase beta, a cytoplasmic and membrane-associated lipid kinase essential for phosphoinositide metabolism, membrane trafficking, organelle dynamics, and signaling pathway coordination in Danio rerio. Zebrafish, also known as Danio rerio, express pi4kb broadly during embryogenesis, with strong enrichment in the developing brain, notochord, somites, and endodermal organs where membrane remodeling and vesicle transport are highly active. Pi4kb localizes to the cytoplasm, Golgi apparatus, and specific membrane compartments, generating phosphatidylinositol 4-phosphate (PI4P), a key lipid required for vesicular trafficking, organelle identity, and downstream signaling.

Pi4kb belongs to the type III PI4-kinase family, characterized by lipid kinase catalytic domains that mediate phosphorylation of phosphatidylinositol at the D-4 position of the inositol ring. In zebrafish embryos, pi4kb expression increases during periods of rapid morphogenesis when demands for targeted membrane addition, vesicle sorting, and intracellular transport rise sharply. A Zebrafish Pi4kb antibody is suitable for detecting cytoplasmic and Golgi-associated expression patterns in tissues undergoing active signaling, secretory processing, and membrane trafficking.

Functionally, Pi4kb is essential for establishing PI4P pools required for vesicle budding, Golgi organization, and secretion. PI4P produced by Pi4kb serves as a precursor for additional phosphoinositides, including PI(4,5)P2, linking Pi4kb activity to cytoskeletal dynamics, membrane identity, and signal transduction pathways. In zebrafish, Pi4kb contributes to neural development, cardiac morphogenesis, digestive organ formation, and epithelial organization. Disruption of pi4kb can impair Golgi structure, alter vesicle trafficking, and produce broad developmental abnormalities due to defects in membrane delivery and signaling fidelity. Because PI4P-dependent pathways regulate Hedgehog, Wnt, and Notch components, Pi4kb is central to multiple developmental signaling networks.

Structurally, zebrafish Pi4kb contains a conserved kinase domain that binds ATP and catalyzes PI phosphorylation, along with regulatory motifs that interact with membrane-associated adaptors and coat proteins. These features allow Pi4kb to function at the Golgi membrane and contribute to the formation of transport vesicles destined for the plasma membrane, endosomes, or secretory compartments. Zebrafish pi4kb maps to chromosome 8, with expression regulated by growth signals, metabolic cues, and organ-specific transcriptional programs. Co-localization studies detect Pi4kb in neuronal cytoplasm, Golgi-rich epithelial tissues, and regions with high vesicle trafficking demand, overlapping with markers such as Golgin proteins, Rab GTPases, and PI4P-binding effectors.

A Zebrafish Pi4kb antibody is suitable for detecting Pi4kb in studies focused on phosphoinositide signaling, Golgi organization, intracellular transport, organ morphogenesis, and membrane identity regulation in Danio rerio. Its cytoplasmic and Golgi-associated localization enables researchers to map PI4P-generating domains, examine trafficking defects in mutants, analyze lipid-kinase-dependent signaling, and investigate how membrane dynamics shape developmental processes. Because phosphoinositide metabolism is fundamental to organelle function and developmental signaling, Pi4kb is widely used in zebrafish models of secretion, neurodevelopment, and cellular organization. This antibody is supplied for research use by NSJ Bioreagents.

This Zebrafish antibody is part of a broader Zebrafish / Danio rerio antibody panel offered by NSJ Bioreagents.

Application Notes

Optimal dilution of the Zebrafish Pi4kb antibody should be determined by the researcher.

Immunogen

E. coli-derived zebrafish Pi4kb recombinant protein (amino acids D394-D690) was used as the immunogen for the Zebrafish Pi4kb antibody.

Storage

After reconstitution, the Zebrafish Pi4kb antibody can be stored for up to one month at 4oC. For long-term, aliquot and store at -20oC. Avoid repeated freezing and thawing.

Cross
Bulk Quote Request Form
Name*:
Organization*:
Email*:
Phone Number*:
Catalog No.*:
Comments and Specifics(amount, formulation, etc.)*:
Validation code: Captchapackage Image


Can't read the image? click here to refresh.
    *required field

Your bulk quote request has been submitted successfully!

Please contact us if you have any questions.