• Tel: 858.663.9055
  • SeparatorEmail: info@nsjbio.com
  • Tel: 858.663.9055
  • Email: info@nsjbio.com
Home >> Antibodies >> Zebrafish Phyhipl Antibody / Phyhiplb / Phytanoyl-CoA hydroxylase-interacting protein-like

Zebrafish Phyhipl Antibody / Phyhiplb / Phytanoyl-CoA hydroxylase-interacting protein-like (RZ1269)

  Catalog No Formulation Size Price (USD)  
Image RZ1269 0.5mg/ml if reconstituted with 0.2ml sterile DI water 100 ug 539
Bulk quote request
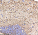
Zebrafish Phyhipl Antibody Spinal Tissue IHC. Immunohistochemistry staining of zebrafish Phyhipl/b protein using Zebrafish Phyhipl antibody, HRP-labeled secondary and DAB substrate. Phyhipl was detected in a paraffin-embedded section of zebrafish spinal tissue. HIER: boil tissue sections in pH8 EDTA for 20 min and allow to cool before testing.
Zebrafish Phyhipl Antibody Brain Tissue IHC. Immunohistochemistry staining of zebrafish Phyhipl/b protein using Zebrafish Phyhipl antibody, HRP-labeled secondary and DAB substrate. Phyhipl was detected in a paraffin-embedded section of zebrafish brain tissue. HIER: boil tissue sections in pH8 EDTA for 20 min and allow to cool before testing.
Availability 2-3 weeks
Species Reactivity Zebrafish
Format Antigen affinity purified
Host Rabbit
Clonality Polyclonal (rabbit origin)
Isotype Rabbit Ig
Purity Antigen affinity chromatography
Buffer Lyophilized from 1X PBS with 2% Trehalose
UniProt A4QNW7 , A0A8M2B4A8
Localization Cytoplasm
Applications Immunohistochemistry (FFPE) : 2-5ug/ml
Limitations This Zebrafish Phyhipl antibody is available for research use only.
Review this product on BioCompare and get a $20 Amazon gift card

Related Products

Description

The Zebrafish Phyhipl antibody targets Phyhipl, including the duplicated paralog Phyhiplb, a cytoplasmic and membrane-associated regulatory protein related to Phytanoyl-CoA hydroxylase-interacting protein-like, with roles in neuronal development, lipid metabolism, and early tissue differentiation in Danio rerio. Zebrafish, also known as Danio rerio, express phyhipl transcripts in developing brain structures, sensory regions, and metabolically active tissues. Phyhipl localizes to the cytoplasm and along membrane-associated compartments, where it interacts with proteins involved in lipid handling, metabolic coordination, and neuronal structural organization.

Phyhipl belongs to a conserved family of hydroxylase-interacting proteins thought to modulate lipid-processing enzymes, influence intracellular trafficking, and support neuronal differentiation. In zebrafish embryos, phyhipl and phyhiplb expression increases during neural tube formation, hindbrain development, sensory system maturation, and early metabolic tissue patterning. A Zebrafish Phyhipl antibody is suitable for detecting cytoplasmic and membrane-associated expression in neural precursors, differentiating sensory neurons, and tissues undergoing lipid-dependent signaling or metabolic maturation.

Functionally, Phyhipl is linked to neuronal patterning and lipid metabolism. In vertebrate models, related proteins interact with phytanoyl-CoA hydroxylase pathway components that regulate branched-chain fatty acid metabolism, peroxisomal function, and lipid-derived signaling cascades. In zebrafish, Phyhipl expression correlates with neuronal growth, axonal patterning, and brain regionalization, suggesting a role in neurodevelopmental processes requiring precise membrane remodeling and metabolic support. Phyhipl may also participate in vesicle trafficking, cytoskeletal organization, and the distribution of lipid-rich membrane microdomains essential for neural maturation and sensory system formation. Perturbations of phyhipl expression can influence neuronal morphology, disrupt metabolic signaling, and impair tissue patterning during early development.

Structurally, zebrafish Phyhipl contains conserved domains that support protein-protein interactions with lipid-oxidation enzymes, membrane-associated complexes, and cytoskeletal regulators. These motifs enable Phyhipl to integrate metabolic inputs with neuronal and epithelial remodeling programs. Zebrafish phyhipl maps to chromosome 4, while phyhiplb resides on chromosome 22, each showing overlapping yet distinct expression patterns shaped by neural differentiation and metabolic cues. Co-localization studies often detect Phyhipl in developing brain regions, cranial sensory domains, early spinal cord, and peripheral tissues with active lipid processing, frequently overlapping with markers of neuronal maturation and metabolic compartments.

A Zebrafish Phyhipl antibody is suitable for detecting Phyhipl in studies focused on neuronal development, lipid metabolism, sensory system formation, cytoskeletal remodeling, and metabolic signaling in Danio rerio. Its cytoplasmic and membrane-associated localization helps researchers examine neural patterning, evaluate effects of metabolic stress on neurodevelopment, and analyze interactions between lipid-processing pathways and structural maturation. Because zebrafish provide strong models for brain development and metabolic regulation, Phyhipl expression offers valuable insight into mechanisms linking lipid biology with neural differentiation. This antibody is supplied for research use by NSJ Bioreagents.

This Zebrafish antibody is part of a broader Zebrafish / Danio rerio antibody panel offered by NSJ Bioreagents.

Application Notes

Optimal dilution of the Zebrafish Phyhipl antibody should be determined by the researcher.

Immunogen

E. coli-derived zebrafish Phyhipl recombinant protein (amino acids M1-D337) was used as the immunogen for the Zebrafish Phyhipl antibody. This antibody will detect Phyhipl protein as well as the Phyhiplb isoform.

Storage

After reconstitution, the Zebrafish Phyhipl antibody can be stored for up to one month at 4oC. For long-term, aliquot and store at -20oC. Avoid repeated freezing and thawing.

Cross
Bulk Quote Request Form
Name*:
Organization*:
Email*:
Phone Number*:
Catalog No.*:
Comments and Specifics(amount, formulation, etc.)*:
Validation code: Captchapackage Image


Can't read the image? click here to refresh.
    *required field

Your bulk quote request has been submitted successfully!

Please contact us if you have any questions.