• Tel: 858.663.9055
  • SeparatorEmail: info@nsjbio.com
  • Tel: 858.663.9055
  • Email: info@nsjbio.com
Home >> Antibodies >> Zebrafish Pfn2 Antibody / Profilin 2 / Isoforms a & b

Zebrafish Pfn2 Antibody / Profilin 2 / Isoforms a & b (RZ1077)

  Catalog No Formulation Size Price (USD)  
Image RZ1077 0.5mg/ml if reconstituted with 0.2ml sterile DI water 100 ug 539
Bulk quote request
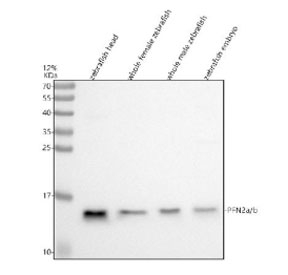
Western blot analysis of Pfn2a/b protein using Zebrafish Pfn2 antibody and 1) zebrafish head, 2) whole female zebrafish, 3) whole male zebrafish and 4) zebrafish embryo tissue lysate. Predicted molecular weight ~15 kDa.
Availability 2-3 weeks
Species Reactivity Zebrafish
Format Antigen affinity purified
Host Rabbit
Clonality Polyclonal (rabbit origin)
Isotype Rabbit Ig
Purity Antigen affinity chromatography
Buffer Lyophilized from 1X PBS with 2% Trehalose
UniProt Q6AZA1 , A0A0R4IPL1
Applications Western Blot : 0.5-1 ug/ml
Limitations This Zebrafish Pfn2 antibody is available for research use only.
Review this product on BioCompare and get a $20 Amazon gift card

Related Products

  • Applications : WB, IHC-P, IF
    Reactivity : Human, Mouse, Rat
  • Applications : WB, IHC-P, FACS, Direct ELISA
    Reactivity : Human, Mouse, Rat

Description

Zebrafish (Danio rerio) Pfn2 antibody recognizes Profilin 2, detecting isoforms a and b encoded by the zebrafish pfn2 gene. Profilin 2 is a key actin-binding protein that regulates cytoskeletal remodeling, membrane dynamics, and intracellular signaling pathways. It functions by binding actin monomers, modulating actin polymerization, and participating in protein-protein interactions that coordinate vesicle trafficking and cell morphology. In Danio rerio, pfn2 is enriched in developing nervous system structures including brain, neural tube, hindbrain regions, and sensory ganglia, with additional expression in somites, craniofacial mesenchyme, heart, vasculature, and endoderm-derived tissues such as liver and pancreas. Subcellular localization includes cytoplasm, growth cones, and actin-rich membrane domains.

Profilin 2 plays a central role in shaping cytoskeletal dynamics during embryogenesis. By controlling the availability of actin monomers and facilitating ATP exchange on actin, Pfn2 regulates processes such as cell migration, neurite outgrowth, cytokinesis, and tissue morphogenesis. Isoforms a and b may contribute distinct spatial or developmental functions, enabling fine-tuned actin regulation across tissues with unique mechanical and structural requirements. Zebrafish embryos, which undergo rapid morphogenetic movements and cell rearrangements, rely on Profilin 2 to maintain dynamic cytoskeletal architecture.

Neural development is particularly dependent on Pfn2 activity. Profilin 2 is highly expressed in neurons, where it regulates growth cone behavior, axon extension, synaptic formation, and plasticity. By influencing actin turnover, Pfn2 shapes neuronal polarity and supports proper wiring of the central nervous system. During early brain development, Pfn2 contributes to neuroepithelial organization, progenitor migration, and differentiation. Dysregulation of Profilin family proteins can impair axonal guidance, disrupt synaptic maturation, or alter neural circuit assembly.

Somite and skeletal muscle development also require actin-dependent regulation orchestrated in part by Pfn2. Myogenic progenitors depend on controlled cytoskeletal remodeling during the transition from proliferation to myotome formation. Profilin 2 influences cell shape, adhesion dynamics, and assembly of contractile structures that underpin early muscle architecture. Because somite segmentation and muscle fiber alignment rely on rapid cytoskeletal reorganization, Pfn2 activity is essential for maintaining structural integrity during these transitions.

Cardiac and vascular development rely on precise cytoskeletal coordination during morphogenesis. Profilin 2 contributes to cardiomyocyte shape transitions, early contractile organization, and chamber formation. In endothelial tissues, Pfn2 regulates actin-dependent migration, sprouting, and vessel stabilization. These roles help ensure proper vascular patterning and hemodynamic adaptation as the circulatory system forms.

Endoderm-derived organs also require Profilin-dependent cytoskeletal and trafficking functions. Developing liver and pancreas experience extensive changes in cell polarity, adhesion, and morphology, processes that depend on actin remodeling supported by Pfn2. Profilin-regulated pathways assist in coordinating metabolic maturation and stress adaptation within these organs.

This Zebrafish Pfn2 antibody is suitable for detecting Profilin 2 isoforms a and b in research focused on cytoskeletal regulation, neural development, muscle formation, cardiac and vascular morphogenesis, and tissue remodeling in zebrafish. NSJ Bioreagents provides this reagent within its zebrafish and actin-regulation antibody portfolio.

Application Notes

Optimal dilution of the Zebrafish Pfn2 antibody should be determined by the researcher.

Immunogen

An E.coli-derived zebrafish Pfn2a/b recombinant protein (amino acids I87-F139) was used as the immunogen for the Zebrafish Pfn2 antibody. This antibody will detect the a and b isoforms.

Storage

After reconstitution, the Zebrafish Pfn2 antibody can be stored for up to one month at 4oC. For long-term, aliquot and store at -20oC. Avoid repeated freezing and thawing.

Cross
Bulk Quote Request Form
Name*:
Organization*:
Email*:
Phone Number*:
Catalog No.*:
Comments and Specifics(amount, formulation, etc.)*:
Validation code: Captchapackage Image


Can't read the image? click here to refresh.
    *required field

Your bulk quote request has been submitted successfully!

Please contact us if you have any questions.