• Tel: 858.663.9055
  • SeparatorEmail: info@nsjbio.com
  • Tel: 858.663.9055
  • Email: info@nsjbio.com
Home >> Antibodies >> Zebrafish Pdcd10 Antibody / Pdcd10a / Pdcd10b / Programmed cell death protein 10

Zebrafish Pdcd10 Antibody / Pdcd10a / Pdcd10b / Programmed cell death protein 10 (RZ1266)

  Catalog No Formulation Size Price (USD)  
Image RZ1266 0.5mg/ml if reconstituted with 0.2ml sterile DI water 100 ug 539
Bulk quote request
Zebrafish Pdcd10 Antibody Pancreas Tissue IHC. Immunohistochemistry staining of zebrafish Pdcd10a/b protein using Zebrafish Pdcd10 antibody, HRP-labeled secondary and DAB substrate. Pdcd10 was detected in a paraffin-embedded section of zebrafish pancreas tissue. HIER: boil tissue sections in pH8 EDTA for 20 min and allow to cool before testing.
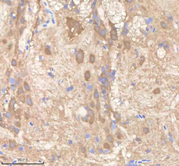
Zebrafish Pdcd10 Antibody Brain Tissue IHC. Immunohistochemistry staining of zebrafish Pdcd10a/b protein using Zebrafish Pdcd10 antibody, HRP-labeled secondary and DAB substrate. Pdcd10 was detected in a paraffin-embedded section of zebrafish brain tissue. HIER: boil tissue sections in pH8 EDTA for 20 min and allow to cool before testing.
Zebrafish Pdcd10 Antibody Colon Tissue IHC. Immunohistochemistry staining of zebrafish Pdcd10 protein using Zebrafish Pdcd10 antibody, HRP-labeled secondary and DAB substrate. Pdcd10a/b was detected in a paraffin-embedded section of zebrafish colon tissue. HIER: boil tissue sections in pH8 EDTA for 20 min and allow to cool before testing.
Availability 2-3 weeks
Species Reactivity Zebrafish
Format Antigen affinity purified
Host Rabbit
Clonality Polyclonal (rabbit origin)
Isotype Rabbit Ig
Purity Antigen affinity chromatography
Buffer Lyophilized from 1X PBS with 2% Trehalose
UniProt Q6PHH3 , Q6NWL1
Localization Cytoplasm, cell membrane
Applications Immunohistochemistry (FFPE) : 2-5ug/ml
Limitations This Zebrafish Pdcd10 antibody is available for research use only.
Review this product on BioCompare and get a $20 Amazon gift card

Related Products

Description

The Zebrafish Pdcd10 antibody targets Pdcd10, also known as Programmed cell death protein 10, including the duplicated zebrafish paralogs Pdcd10a and Pdcd10b. Pdcd10 is a highly conserved cytoplasmic regulator best known for its role in vascular development, endothelial stabilization, cytoskeletal organization, and intracellular signaling in Danio rerio. Zebrafish, also known as Danio rerio, express pdcd10a and pdcd10b throughout early embryogenesis, with strong enrichment in endothelial cells, neural tissues, and organ primordia undergoing active morphogenesis. Pdcd10 localizes mainly to the cytoplasm, where it participates in complexes that modulate cell junctions, stress signaling, and cytoskeletal architecture.

Pdcd10 belongs to the CCM3 family of proteins associated with cerebral cavernous malformations in humans, reflecting its essential role in endothelial integrity and vascular lumen stability. In zebrafish, Pdcd10 interacts with core components of the CCM signaling module, including Krit1 and Ccm2, and regulates pathways such as RhoA-ROCK, MAPK, and cell polarity networks. A Zebrafish Pdcd10 antibody is suitable for detecting cytoplasmic and junction-associated expression in vascular endothelium and developing tissues where CCM complex activity governs growth and patterning.

Functionally, Pdcd10 is critical for vascular morphogenesis. It supports endothelial cell junction stability, lumen formation, and vessel branching by regulating cytoskeletal tension and junctional signaling. Loss of pdcd10a or pdcd10b in zebrafish leads to hemorrhage, vessel dilation, and angiogenic defects, phenotypes reflective of CCM-related pathology. Beyond vascular development, Pdcd10 regulates apoptosis sensitivity, Golgi and vesicle trafficking, and cytoskeletal organization. In early embryos, zebrafish Pdcd10 influences neural growth, somite patterning, and organogenesis through its roles in cell shape control and stress-response pathways.

Structurally, Pdcd10 contains conserved helical domains that mediate interactions with kinases, scaffold proteins, CCM partners, and cytoskeletal regulators. These motifs allow Pdcd10 to function as a stabilizing adapter linking membrane-associated signaling to intracellular structural dynamics. Zebrafish pdcd10a maps to chromosome 10, while pdcd10b resides on chromosome 14, and each paralog exhibits overlapping yet distinct expression patterns shaped by vascular and developmental cues. Co-localization studies frequently detect Pdcd10 in endothelial cytoplasm, perinuclear regions, and developing neural and mesodermal tissues, overlapping with markers of cytoskeletal remodeling, polarity signaling, and vascular identity.

A Zebrafish Pdcd10 antibody is suitable for detecting Pdcd10 in studies focused on vascular development, CCM signaling pathways, endothelial stability, apoptosis regulation, and cytoskeletal dynamics in Danio rerio. Its cytoplasmic localization enables researchers to track CCM-complex function, analyze vascular failure in genetic mutants, assess endothelial morphogenesis, and explore how intracellular stress pathways influence tissue formation. Because Pdcd10 dysfunction in zebrafish mirrors key aspects of human CCM disease, this antibody is also useful for modeling cerebrovascular disorders and studying mechanisms of vascular fragility and remodeling. This reagent is supplied for research use by NSJ Bioreagents.

This Zebrafish antibody is part of a broader Zebrafish / Danio rerio antibody panel offered by NSJ Bioreagents.

Application Notes

Optimal dilution of the Zebrafish Pdcd10 antibody should be determined by the researcher.

Immunogen

E. coli-derived zebrafish Pdcd10 recombinant protein (amino acids M1-A210) was used as the immunogen for the Zebrafish Pdcd10 antibody.

Storage

After reconstitution, the Zebrafish Pdcd10 antibody can be stored for up to one month at 4oC. For long-term, aliquot and store at -20oC. Avoid repeated freezing and thawing.

Cross
Bulk Quote Request Form
Name*:
Organization*:
Email*:
Phone Number*:
Catalog No.*:
Comments and Specifics(amount, formulation, etc.)*:
Validation code: Captchapackage Image


Can't read the image? click here to refresh.
    *required field

Your bulk quote request has been submitted successfully!

Please contact us if you have any questions.