• Tel: 858.663.9055
  • SeparatorEmail: info@nsjbio.com
  • Tel: 858.663.9055
  • Email: info@nsjbio.com
Home >> Antibodies >> Zebrafish Pabpc4 Antibody / Polyadenylate-binding protein

Zebrafish Pabpc4 Antibody / Polyadenylate-binding protein (RZ1261)

  Catalog No Formulation Size Price (USD)  
Image RZ1261 0.5mg/ml if reconstituted with 0.2ml sterile DI water 100 ug 539
Bulk quote request
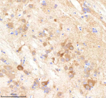
IHC staining of zebrafish Pabpc4 protein using Zebrafish Pabpc4 antibody, HRP-labeled secondary and DAB substrate. Pabpc4 was detected in a paraffin-embedded section of zebrafish brain tissue. HIER: boil tissue sections in pH8 EDTA for 20 min and allow to cool before testing.
IHC staining of zebrafish Pabpc4 protein using Zebrafish Pabpc4 antibody, HRP-labeled secondary and DAB substrate. Pabpc4 was detected in a paraffin-embedded section of zebrafish eye tissue. HIER: boil tissue sections in pH8 EDTA for 20 min and allow to cool before testing.
IHC staining of zebrafish Pabpc4 protein using Zebrafish Pabpc4 antibody, HRP-labeled secondary and DAB substrate. Pabpc4 was detected in a paraffin-embedded section of zebrafish muscle tissue. HIER: boil tissue sections in pH8 EDTA for 20 min and allow to cool before testing.
Availability 2-3 weeks
Species Reactivity Zebrafish
Format Antigen affinity purified
Host Rabbit
Clonality Polyclonal (rabbit origin)
Isotype Rabbit Ig
Purity Antigen affinity chromatography
Buffer Lyophilized from 1X PBS with 2% Trehalose
UniProt A0A8M9PE33
Localization Cytoplasm
Applications Immunohistochemistry (FFPE) : 2-5ug/ml
Limitations This Zebrafish Pabpc4 antibody is available for research use only.
Review this product on BioCompare and get a $20 Amazon gift card

Related Products

Description

The Zebrafish Pabpc4 antibody targets Pabpc4, also known as Polyadenylate-binding protein, a cytoplasmic RNA-binding protein essential for mRNA stability, translation regulation, and early developmental gene expression in Danio rerio. Zebrafish, also known as Danio rerio, express pabpc4 in rapidly dividing embryonic tissues where translational control is critical for cell fate transitions and morphogenesis. Pabpc4 localizes mainly to the cytoplasm, binding the poly(A) tails of mRNAs to stabilize transcripts, regulate translational efficiency, and coordinate interactions with initiation factors and RNA-processing machinery.

Pabpc4 belongs to the poly(A)-binding protein family, characterized by multiple RNA recognition motifs and a C-terminal domain that interacts with translation initiation complexes. In zebrafish embryos, pabpc4 expression is prominent during stages when translational regulation drives progression from maternal to zygotic control and supports organogenesis. A Zebrafish Pabpc4 antibody is suitable for detecting robust cytoplasmic signals in proliferative, transcriptionally active, and differentiation-associated tissues where mRNA turnover and translation must be tightly regulated.

Functionally, Pabpc4 plays a central role in stabilizing mRNAs and promoting efficient translation initiation. It interacts with eIF4G and additional translation factors to enhance ribosome recruitment and fine-tune protein synthesis. In zebrafish, Pabpc4 is implicated in neural development, somite formation, hematopoietic lineage transitions, and metabolic tissue maturation. By stabilizing specific mRNAs, Pabpc4 helps regulate cell cycle progression, signal transduction, and developmental timing. Perturbations in pabpc4 expression can disrupt translational homeostasis, affect differentiation programs, and alter tissue patterning across early developmental stages.

Structurally, zebrafish Pabpc4 contains multiple RNA-binding domains responsible for poly(A) tail recognition, as well as regulatory regions that engage with translation initiation factors and interact with proteins involved in mRNA deadenylation and turnover. These elements enable Pabpc4 to serve as a hub linking mRNA stability with translational efficiency. Zebrafish pabpc4 maps to chromosome 12, with expression regulated by maternal factors, growth signals, and stage-specific transcriptional programs. Co-localization studies often detect Pabpc4 in neural progenitors, somitic tissues, hematopoietic territories, and developing organ primordia, overlapping with markers of active translation and mRNA processing.

A Zebrafish Pabpc4 antibody is suitable for detecting Pabpc4 in studies focused on mRNA stability, translational regulation, neural and mesodermal development, and gene expression dynamics in Danio rerio. Its cytoplasmic localization allows researchers to visualize translationally active zones, evaluate mutants affecting RNA-binding pathways, and examine how environmental or genetic perturbations influence mRNA turnover. Pabpc4 expression provides insight into mechanisms that couple transcript stability with protein synthesis during rapid embryonic growth. This antibody is supplied for research use by NSJ Bioreagents.

Application Notes

Optimal dilution of the Zebrafish Pabpc4 antibody should be determined by the researcher.

Immunogen

A synthetic peptide corresponding to a sequence in the middle region of zebrafish Pabpc4 protein was used as the immunogen for the Pabpc4 antibody.

Storage

After reconstitution, the Zebrafish Pabpc4 antibody can be stored for up to one month at 4oC. For long-term, aliquot and store at -20oC. Avoid repeated freezing and thawing.

Cross
Bulk Quote Request Form
Name*:
Organization*:
Email*:
Phone Number*:
Catalog No.*:
Comments and Specifics(amount, formulation, etc.)*:
Validation code: Captchapackage Image


Can't read the image? click here to refresh.
    *required field

Your bulk quote request has been submitted successfully!

Please contact us if you have any questions.