• Tel: 858.663.9055
  • SeparatorEmail: info@nsjbio.com
  • Tel: 858.663.9055
  • Email: info@nsjbio.com
Home >> Antibodies >> Zebrafish Opa1 Antibody / Dynamin-like GTPase Opa1

Zebrafish Opa1 Antibody / Dynamin-like GTPase Opa1 (RZ1105)

  Catalog No Formulation Size Price (USD)  
Image RZ1105 0.5mg/ml if reconstituted with 0.2ml sterile DI water 100 ug 539
Bulk quote request
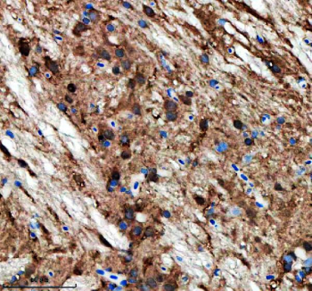
Zebrafish Opa1 Antibody Brain IHC. Immunohistochemistry staining of FFPE zebrafish brain tissue with Zebrafish Opa1 antibody. HIER: boil tissue sections in pH8 EDTA for 20 min and allow to cool before testing.
Zebrafish Opa1 Antibody WB. Western blot analysis of Opa1 protein using Opa1 antibody and 1) whole female zebrafish tissue lysate and 2) whole male zebrafish tissue lysate with Zebrafish Opa1 antibody. Predicted molecular weight ~111 kDa with multiple smaller isoforms from 81-95 kDa (human similarity).
Zebrafish Opa1 Antibody Eye IHC. Immunohistochemistry staining of FFPE zebrafish eye tissue with Zebrafish Opa1 antibody. HIER: boil tissue sections in pH8 EDTA for 20 min and allow to cool before testing.
Availability 2-3 weeks
Species Reactivity Zebrafish
Format Antigen affinity purified
Host Rabbit
Clonality Polyclonal (rabbit origin)
Isotype Rabbit Ig
Purity Antigen affinity chromatography
Buffer Lyophilized from 1X PBS with 2% Trehalose
UniProt Q5U3A7
Localization Cytoplasm, membrane
Applications Western Blot : 0.5-1 ug/ml
Immunohistochemistry (FFPE) : 2-5 ug/ml
Limitations This Zebrafish Opa1 antibody is available for research use only.
Review this product on BioCompare and get a $20 Amazon gift card

Related Products

Description

Zebrafish (Danio rerio) Opa1 antibody detects Dynamin-like GTPase Opa1, a mitochondrial inner membrane protein essential for mitochondrial fusion, cristae structure maintenance, and regulation of apoptotic signaling. In zebrafish, the opa1 gene encodes a highly conserved dynamin family GTPase with multiple isoforms generated through alternative splicing and proteolytic processing. These isoforms cooperate to maintain proper mitochondrial morphology and support key metabolic and developmental processes. Because mitochondrial dynamics influence energy production, calcium homeostasis, and programmed cell death, Dynamin-like GTPase Opa1 antibody reagents are widely used in research focused on mitochondrial biology and early vertebrate development.

Opa1 functions by regulating inner membrane fusion and stabilizing the architecture of mitochondrial cristae, which contain respiratory chain complexes crucial for ATP synthesis. In zebrafish embryos, opa1 expression is enriched in tissues with high metabolic demand, including developing muscle, heart, neural tissue, and sensory organs. Proper Opa1 activity ensures efficient oxidative phosphorylation and prevents mitochondrial fragmentation, a process that can trigger apoptosis when dysregulated. Loss of opa1 function in vertebrate models produces defects in tissue growth, metabolic stability, and neural development, emphasizing its essential role in organogenesis.

In addition to controlling mitochondrial structure, Opa1 modulates apoptotic sensitivity by regulating mitochondrial membrane integrity. During cellular stress, Opa1 helps maintain cristae junctions, limiting cytochrome c release and promoting cell survival. This protective function is particularly important in rapidly developing zebrafish tissues, where imbalances in apoptosis can disrupt morphogenesis. Opa1 also contributes to calcium buffering and mitochondrial network organization, linking metabolic adaptability to developmental transitions.

At the molecular level, Opa1 undergoes proteolytic cleavage by mitochondrial proteases, producing long and short isoforms that together regulate membrane fusion efficiency. These isoforms respond dynamically to changes in membrane potential, metabolic flux, and stress signaling. Known interaction partners include other mitochondrial fusion proteins such as Mfn1 and Mfn2, respiratory chain components, and inner membrane structural regulators. Zebrafish models provide a powerful system for visualizing these interactions in vivo due to their optical transparency and rapid development.

Dysregulation of Opa1 in vertebrates is associated with neurodegenerative phenotypes, muscle weakness, and metabolic disorders, reflecting the protein's conserved importance in energy balance and mitochondrial integrity. In zebrafish, altered Opa1 function affects neural patterning, muscle differentiation, cardiac development, and overall embryonic resilience to metabolic stress. These phenotypes highlight the significance of mitochondrial dynamics in supporting tissue growth and maintaining developmental robustness.

A Zebrafish Opa1 antibody is suitable for research applications such as western blotting, immunohistochemistry, and assays examining mitochondrial fusion, cristae structure, and metabolic regulation. This antibody targets Opa1 for studies in mitochondrial biology, apoptosis control, neuromuscular development, and early vertebrate physiology. NSJ Bioreagents provides the Zebrafish Opa1 antibody to support investigations into mitochondrial dynamics and developmental energy regulation.

This Zebrafish antibody is part of a broader Zebrafish / Danio rerio antibody panel offered by NSJ Bioreagents.

Application Notes

Optimal dilution of the Zebrafish Opa1 antibody should be determined by the researcher.

Immunogen

An E.coli-derived zebrafish Opa1 recombinant protein (amino acids D302-Q568) was used as the immunogen for the Zebrafish Opa1 antibody.

Storage

After reconstitution, the Zebrafish Opa1 antibody can be stored for up to one month at 4oC. For long-term, aliquot and store at -20oC. Avoid repeated freezing and thawing.

Cross
Bulk Quote Request Form
Name*:
Organization*:
Email*:
Phone Number*:
Catalog No.*:
Comments and Specifics(amount, formulation, etc.)*:
Validation code: Captchapackage Image


Can't read the image? click here to refresh.
    *required field

Your bulk quote request has been submitted successfully!

Please contact us if you have any questions.