• Tel: 858.663.9055
  • SeparatorEmail: info@nsjbio.com
  • Tel: 858.663.9055
  • Email: info@nsjbio.com
Home >> Antibodies >> Zebrafish Nploc4 Antibody / Npl4 / Nuclear protein localization protein 4

Zebrafish Nploc4 Antibody / Npl4 / Nuclear protein localization protein 4 (RZ1254)

  Catalog No Formulation Size Price (USD)  
Image RZ1254 0.5mg/ml if reconstituted with 0.2ml sterile DI water 100 ug 539
Bulk quote request
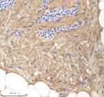
IHC staining of zebrafish Nploc4 protein using Zebrafish Nploc4 antibody, HRP-labeled secondary and DAB substrate. Nploc4 was detected in a paraffin-embedded section of zebrafish muscle tissue. HIER: boil tissue sections in pH8 EDTA for 20 min and allow to cool before testing.
IHC staining of zebrafish Nploc4 protein using Zebrafish Nploc4 antibody, HRP-labeled secondary and DAB substrate. Nploc4 was detected in a paraffin-embedded section of zebrafish heart tissue. HIER: boil tissue sections in pH8 EDTA for 20 min and allow to cool before testing.
Availability 2-3 weeks
Species Reactivity Zebrafish
Format Antigen affinity purified
Host Rabbit
Clonality Polyclonal (rabbit origin)
Isotype Rabbit Ig
Purity Antigen affinity chromatography
Buffer Lyophilized from 1X PBS with 2% Trehalose
UniProt Q7ZVI8
Localization Cytoplasmic, Nuclear
Applications Immunohistochemistry (FFPE) : 2-5ug/ml
Limitations This Zebrafish Nploc4 antibody is available for research use only.
Review this product on BioCompare and get a $20 Amazon gift card

Description

The Zebrafish Nploc4 antibody targets Nploc4 (also known as Npl4 or Nuclear protein localization protein 4), an essential cofactor in the p97/Vcp ATPase complex that regulates protein degradation, membrane trafficking, stress responses, and intracellular protein quality control in Danio rerio. Zebrafish, also known as Danio rerio, express nploc4 broadly during early development, with enrichment in metabolically active tissues where protein turnover and proteostasis are highly regulated. Nploc4 localizes to the cytoplasm and nucleus, where it helps recruit ubiquitinated substrates to the p97 complex for extraction and processing, ensuring proper disposal of damaged, misfolded, or regulatory proteins during embryogenesis.

Nploc4 belongs to the UBX-domain-associated family of p97 cofactors and functions as part of the Ufd1-Nploc4 heterodimer, a critical adapter that links ubiquitinated substrates to the ATP-driven unfolding activity of p97. In zebrafish embryos, nploc4 expression supports diverse developmental processes that rely on precise regulation of protein stability, including neural development, somite growth, and organogenesis. A Zebrafish Nploc4 antibody is suitable for research applications examining cytoplasmic and nuclear expression associated with ubiquitin-dependent protein turnover and stress-responsive proteostasis pathways.

Functionally, Nploc4 plays a central role in endoplasmic reticulum-associated degradation (ERAD), a system that removes misfolded proteins from the ER to maintain cellular homeostasis. It also participates in chromatin-associated protein degradation, cell cycle progression, DNA damage responses, and membrane protein quality control. In zebrafish, disruptions in Nploc4-dependent pathways impair embryonic viability, cause proteotoxic stress, and affect neural and muscular development. Because the p97 complex regulates key steps of protein turnover and organelle homeostasis, Nploc4 expression serves as an important marker for understanding proteostasis during rapid embryonic growth and environmental stress.

Structurally, zebrafish Nploc4 contains zinc-binding NZF domains that recognize ubiquitin, a UBX-like region for p97 interaction, and cofactor-binding motifs that facilitate formation of the Ufd1-Nploc4 complex. These domains allow Nploc4 to bind ubiquitinated substrates and to position them correctly for processing by p97. Zebrafish nploc4 maps to chromosome 16, with regulatory elements responsive to developmental cues, stress pathways, and protein-folding demands. Co-localization studies typically detect Nploc4 in cytoplasmic regions where ubiquitinated proteins accumulate, as well as in the nucleus where p97 participates in chromatin-associated protein remodeling.

A Zebrafish Nploc4 antibody is suitable for detecting Nploc4 in studies focused on proteostasis, ubiquitin-dependent degradation, ER stress responses, p97 complex biology, and intracellular protein quality control in Danio rerio. Its dual cytoplasmic and nuclear localization provides insight into how embryonic cells regulate protein turnover, maintain organelle homeostasis, and respond to misfolded protein accumulation. Researchers use Nploc4 expression patterns to investigate developmental defects linked to impaired protein degradation, analyze stress response pathways, and study mutations affecting ubiquitin recognition or p97 function. These features make the antibody a powerful tool for research in developmental cell biology, protein quality control, neurodevelopment, and metabolic regulation. This reagent is supplied for research use by NSJ Bioreagents.

Application Notes

Optimal dilution of the Zebrafish Nploc4 antibody should be determined by the researcher.

Immunogen

E. coli-derived zebrafish Nploc4 recombinant protein (amino acids M1-C510) was used as the immunogen for the Zebrafish Nploc4 antibody.

Storage

After reconstitution, the Zebrafish Nploc4 antibody can be stored for up to one month at 4oC. For long-term, aliquot and store at -20oC. Avoid repeated freezing and thawing.

Cross
Bulk Quote Request Form
Name*:
Organization*:
Email*:
Phone Number*:
Catalog No.*:
Comments and Specifics(amount, formulation, etc.)*:
Validation code: Captchapackage Image


Can't read the image? click here to refresh.
    *required field

Your bulk quote request has been submitted successfully!

Please contact us if you have any questions.