• Tel: 858.663.9055
  • SeparatorEmail: info@nsjbio.com
  • Tel: 858.663.9055
  • Email: info@nsjbio.com
Home >> Antibodies >> Zebrafish Npepps Antibody / Aminopeptidase

Zebrafish Npepps Antibody / Aminopeptidase (RZ1253)

  Catalog No Formulation Size Price (USD)  
Image RZ1253 0.5mg/ml if reconstituted with 0.2ml sterile DI water 100 ug 539
Bulk quote request
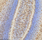
Zebrafish Npepps Antibody Brain Tissue IHC. Immunohistochemistry staining of zebrafish Npepps protein using Zebrafish Npepps antibody, HRP-labeled secondary and DAB substrate. Npepps was detected in a paraffin-embedded section of zebrafish brain tissue. HIER: boil tissue sections in pH8 EDTA for 20 min and allow to cool before testing.
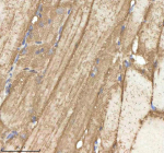
Zebrafish Npepps Antibody Muscle Tissue IHC. Immunohistochemistry staining of zebrafish Npepps protein using Zebrafish Npepps antibody, HRP-labeled secondary and DAB substrate. Npepps was detected in a paraffin-embedded section of zebrafish muscle tissue. HIER: boil tissue sections in pH8 EDTA for 20 min and allow to cool before testing.
Zebrafish Npepps Antibody Eye Tissue IHC. Immunohistochemistry staining of zebrafish Npepps protein using Zebrafish Npepps antibody, HRP-labeled secondary and DAB substrate. Npepps was detected in a paraffin-embedded section of zebrafish eye tissue. HIER: boil tissue sections in pH8 EDTA for 20 min and allow to cool before testing.
Availability 2-3 weeks
Species Reactivity Zebrafish
Format Antigen affinity purified
Host Rabbit
Clonality Polyclonal (rabbit origin)
Isotype Rabbit Ig
Purity Antigen affinity chromatography
Buffer Lyophilized from 1X PBS with 2% Trehalose
UniProt A0A8M1NSE3
Localization Cytoplasmic, Nuclear
Applications Immunohistochemistry (FFPE) : 2-5ug/ml
Limitations This Zebrafish Npepps antibody is available for research use only.
Review this product on BioCompare and get a $20 Amazon gift card

Related Products

Description

The Zebrafish Npepps antibody targets Npepps, an aminopeptidase essential for intracellular protein turnover, neuropeptide processing, metabolic regulation, and neuronal maintenance in Danio rerio. Zebrafish, also known as Danio rerio, express npepps in multiple developing tissues, with strong enrichment in the central nervous system, musculature, and metabolically active organs. Npepps localizes to the cytoplasm, where it functions as a metallopeptidase that removes N-terminal amino acids from peptides and proteins. This activity contributes to protein quality control, peptide maturation, and degradation of misfolded or damaged proteins during development and in differentiated tissues.

Npepps belongs to the M1 family of zinc-dependent aminopeptidases, a group of cytosolic enzymes involved in peptide trimming, antigen processing, and regulation of bioactive peptides. In zebrafish embryos, npepps expression increases as neural networks begin forming, supporting neuronal peptide processing and synaptic maturation. A Zebrafish Npepps antibody is suitable for research applications examining cytoplasmic localization in neuronal populations, muscle cells, and tissues requiring active proteostasis mechanisms.

Functionally, Npepps contributes to several essential biological processes. It participates in degrading oxidized proteins generated during cellular stress, maintaining protein homeostasis in metabolically active cells. In the nervous system, Npepps is implicated in processing neuropeptides important for synaptic signaling and neuronal communication. In addition, zebrafish studies have linked Npepps activity to stress resilience, metabolic regulation, and modulation of peptide hormone signaling. Because zebrafish embryos allow real-time visualization of neuronal and metabolic development, Npepps serves as a useful marker for investigating proteostasis, neural maturation, and regulatory peptide dynamics.

Structurally, zebrafish Npepps contains conserved metallopeptidase motifs, including the characteristic HExxH zinc-binding sequence that mediates catalytic activity. Its multi-domain organization supports substrate specificity, protein-protein interactions, and regulation by intracellular signaling pathways. Zebrafish npepps maps to chromosome 2, with expression regulated by developmental cues and metabolic conditions. Co-localization studies detect Npepps in neuronal cytoplasm, muscle fibers, and other tissues where active proteolysis and peptide regulation are required, often overlapping with markers of neuronal activity and proteostasis pathways.

A Zebrafish Npepps antibody is suitable for detecting Npepps in studies focused on neuropeptide processing, protein quality control, neuronal development, metabolic signaling, and intracellular proteolysis in Danio rerio. Its cytoplasmic localization allows researchers to examine peptide-processing domains, evaluate proteostasis defects in genetic mutants, and analyze how environmental or metabolic conditions influence aminopeptidase activity. Npepps expression is also valuable in studies of neurodegeneration, cellular stress responses, and regulatory peptide biology, where it provides insight into mechanisms maintaining neuronal and metabolic homeostasis. This reagent is supplied for research use by NSJ Bioreagents.

This Zebrafish antibody is part of a broader Zebrafish / Danio rerio antibody panel offered by NSJ Bioreagents.

Application Notes

Optimal dilution of the Zebrafish Npepps antibody should be determined by the researcher.

Immunogen

E. coli-derived zebrafish Npepps recombinant protein (amino acids R487-A851) was used as the immunogen for the Zebrafish Npepps antibody.

Storage

After reconstitution, the Zebrafish Npepps antibody can be stored for up to one month at 4oC. For long-term, aliquot and store at -20oC. Avoid repeated freezing and thawing.

Cross
Bulk Quote Request Form
Name*:
Organization*:
Email*:
Phone Number*:
Catalog No.*:
Comments and Specifics(amount, formulation, etc.)*:
Validation code: Captchapackage Image


Can't read the image? click here to refresh.
    *required field

Your bulk quote request has been submitted successfully!

Please contact us if you have any questions.