• Tel: 858.663.9055
  • SeparatorEmail: info@nsjbio.com
  • Tel: 858.663.9055
  • Email: info@nsjbio.com
Home >> Antibodies >> Zebrafish Neuropeptide Y Antibody / Npy

Zebrafish Neuropeptide Y Antibody / Npy (RZ1249)

  Catalog No Formulation Size Price (USD)  
Image RZ1249 0.5mg/ml if reconstituted with 0.2ml sterile DI water 100 ug 539
Bulk quote request
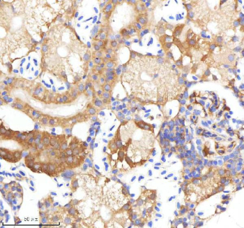
Zebrafish Neuropeptide Y Antibody Kidney Tissue IHC. Immunohistochemistry staining of Danio rerio Npy protein using Zebrafish Neuropeptide Y antibody, HRP-labeled secondary and DAB substrate. Neuropeptide Y was detected in a paraffin-embedded section of zebrafish kidney tissue. HIER: boil tissue sections in pH8 EDTA for 20 min and allow to cool before testing.
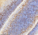
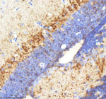
Zebrafish Neuropeptide Y Antibody Brain Tissue IHC. Immunohistochemistry staining of Danio rerio Npy protein using Zebrafish Neuropeptide Y antibody, HRP-labeled secondary and DAB substrate. Neuropeptide Y was detected in a paraffin-embedded section of zebrafish brain tissue. HIER: boil tissue sections in pH8 EDTA for 20 min and allow to cool before testing.
Zebrafish Neuropeptide Y Antibody Liver Tissue IHC. Immunohistochemistry staining of Danio rerio Npy protein using Zebrafish Neuropeptide Y antibody, HRP-labeled secondary and DAB substrate. Neuropeptide Y was detected in a paraffin-embedded section of zebrafish liver tissue. HIER: boil tissue sections in pH8 EDTA for 20 min and allow to cool before testing.
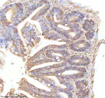
Zebrafish Neuropeptide Y Antibody Colon Tissue IHC. Immunohistochemistry staining of Danio rerio Npy protein using Zebrafish Neuropeptide Y antibody, HRP-labeled secondary and DAB substrate. Neuropeptide Y was detected in a paraffin-embedded section of zebrafish colon tissue. HIER: boil tissue sections in pH8 EDTA for 20 min and allow to cool before testing.
Zebrafish Neuropeptide Y Antibody Muscle Tissue IHC. Immunohistochemistry staining of Danio rerio Npy protein using Zebrafish Neuropeptide Y antibody, HRP-labeled secondary and DAB substrate. Neuropeptide Y was detected in a paraffin-embedded section of zebrafish muscle tissue. HIER: boil tissue sections in pH8 EDTA for 20 min and allow to cool before testing.
Zebrafish Neuropeptide Y Antibody Eye Tissue IHC. Immunohistochemistry staining of Danio rerio Npy protein using Zebrafish Neuropeptide Y antibody, HRP-labeled secondary and DAB substrate. Neuropeptide Y was detected in a paraffin-embedded section of zebrafish eye tissue. HIER: boil tissue sections in pH8 EDTA for 20 min and allow to cool before testing.
Availability 2-3 weeks
Species Reactivity Zebrafish
Format Antigen affinity purified
Host Rabbit
Clonality Polyclonal (rabbit origin)
Isotype Rabbit Ig
Purity Antigen affinity chromatography
Buffer Lyophilized from 1X PBS with 2% Trehalose
UniProt Q9I8P3
Localization Cytoplasmic & secreted
Applications Immunohistochemistry (FFPE) : 2-5ug/ml
Limitations This Zebrafish Neuropeptide Y antibody is available for research use only.
Review this product on BioCompare and get a $20 Amazon gift card

Related Products

Description

The Zebrafish Neuropeptide Y antibody targets Npy, a highly conserved neuropeptide essential for regulating feeding behavior, energy balance, stress responses, and neuronal signaling in Danio rerio. Zebrafish, also known as Danio rerio, express npy widely in the central nervous system, with strong enrichment in the hypothalamus, telencephalon, and hindbrain nuclei that coordinate appetite regulation and neuroendocrine control. Npy is synthesized as a precursor peptide within neurons, processed into its mature form, and stored in dense-core vesicles before being released at synapses. Its cytoplasmic vesicular localization makes Npy a valuable marker for studying neuropeptide-containing neuronal circuits and metabolic regulation.

Npy belongs to the neuropeptide Y family, which includes peptide YY and pancreatic polypeptide, sharing a conserved 36-amino-acid structure that enables interaction with Y-family G protein-coupled receptors. In zebrafish embryos and larvae, npy expression increases during neural network maturation, supporting growth, feeding initiation, and behavioral development. A Zebrafish Neuropeptide Y antibody is suitable for detecting cytoplasmic and vesicular expression in Npy-positive neuronal populations, allowing researchers to map appetite-regulatory circuits, stress-response pathways, and neuroendocrine signaling domains.

Functionally, Npy modulates feeding motivation and energy homeostasis by activating Y receptors within hypothalamic appetite centers. In zebrafish, Npy drives increased food-seeking behavior, influences metabolic rate, and responds strongly to fasting, stress, and environmental cues. Npy signaling also contributes to neuroendocrine axis regulation, affecting cortisol release, circadian rhythms, and locomotor activity. During development, Npy supports neuronal survival, synaptic organization, and circuit refinement. Dysregulation of npy expression or receptor signaling alters feeding patterns, stress reactivity, and metabolic profiles, making Npy a key target for studying obesity, anxiety, and neuroendocrine disorders in zebrafish models.

Structurally, zebrafish Npy is produced as prepro-Npy, which undergoes proteolytic processing to generate the active neuropeptide containing alpha-helical motifs critical for receptor binding. Zebrafish npy maps to chromosome 13, with regulatory elements responsive to metabolic state, neuroendocrine feedback, and environmental stressors. Co-localization studies typically detect Npy within hypothalamic neurons, forebrain regions involved in motivational behavior, and hindbrain circuits that integrate sensory inputs with autonomic regulation. Npy-positive cells frequently overlap with markers of neuroendocrine signaling, metabolic regulation, and stress axis activation.

A Zebrafish Neuropeptide Y antibody is suitable for detecting Npy in studies focused on feeding behavior, metabolic regulation, stress physiology, neural circuit architecture, and neuroendocrine signaling in Danio rerio. Its vesicular and cytoplasmic expression patterns allow researchers to visualize peptide-containing neurons, examine changes in neuropeptide distribution under fasting or stress, and evaluate genetic or environmental factors that influence appetite-regulating circuits. Because zebrafish provide transparent developmental stages and robust behavioral phenotyping tools, Npy immunolabeling is widely used to investigate appetite control, energy balance, and neuropeptide-mediated neural function. This antibody is supplied for research use by NSJ Bioreagents.

This Zebrafish antibody is part of a broader Zebrafish / Danio rerio antibody panel offered by NSJ Bioreagents.

Application Notes

Optimal dilution of the Zebrafish Neuropeptide Y antibody should be determined by the researcher.

Immunogen

E. coli-derived zebrafish Neuropeptide Y recombinant protein (amino acids G28-Q62) was used as the immunogen for the Zebrafish Neuropeptide Y antibody.

Storage

After reconstitution, the Zebrafish Neuropeptide Y antibody can be stored for up to one month at 4oC. For long-term, aliquot and store at -20oC. Avoid repeated freezing and thawing.

Cross
Bulk Quote Request Form
Name*:
Organization*:
Email*:
Phone Number*:
Catalog No.*:
Comments and Specifics(amount, formulation, etc.)*:
Validation code: Captchapackage Image


Can't read the image? click here to refresh.
    *required field

Your bulk quote request has been submitted successfully!

Please contact us if you have any questions.