• Tel: 858.663.9055
  • SeparatorEmail: info@nsjbio.com
  • Tel: 858.663.9055
  • Email: info@nsjbio.com
Home >> Antibodies >> Zebrafish Nanos3 Antibody / Nanos homolog 3

Zebrafish Nanos3 Antibody / Nanos homolog 3 (RZ1245)

  Catalog No Formulation Size Price (USD)  
Image RZ1245 0.5mg/ml if reconstituted with 0.2ml sterile DI water 100 ug 539
Bulk quote request
Zebrafish Nanos3 Antibody Pancreas Tissue IHC. Immunohistochemistry staining of zebrafish Nanos3 protein using Zebrafish Nanos3 antibody, HRP-labeled secondary and DAB substrate. Nanos3 was detected in a paraffin-embedded section of zebrafish pancreas tissue. HIER: boil tissue sections in pH8 EDTA for 20 min and allow to cool before testing.
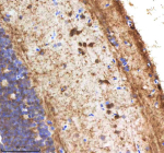
Zebrafish Nanos3 Antibody Brain Tissue IHC. Immunohistochemistry staining of zebrafish Nanos3 protein using Zebrafish Nanos3 antibody, HRP-labeled secondary and DAB substrate. Nanos3 was detected in a paraffin-embedded section of zebrafish brain tissue. HIER: boil tissue sections in pH8 EDTA for 20 min and allow to cool before testing.
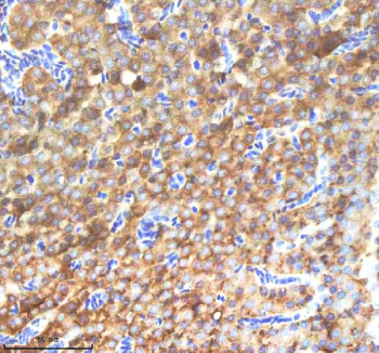
Zebrafish Nanos3 Antibody Ovary Tissue IHC. Immunohistochemistry staining of zebrafish Nanos3 protein using Zebrafish Nanos3 antibody, HRP-labeled secondary and DAB substrate. Nanos3 was detected in a paraffin-embedded section of zebrafish ovary tissue. HIER: boil tissue sections in pH8 EDTA for 20 min and allow to cool before testing.
Availability 2-3 weeks
Species Reactivity Zebrafish
Format Antigen affinity purified
Host Rabbit
Clonality Polyclonal (rabbit origin)
Isotype Rabbit Ig
Purity Antigen affinity chromatography
Buffer Lyophilized from 1X PBS with 2% Trehalose
UniProt Q90WW1
Localization Cytoplasm
Applications Immunohistochemistry (FFPE) : 2-5ug/ml
Limitations This Zebrafish Nanos3 antibody is available for research use only.
Review this product on BioCompare and get a $20 Amazon gift card

Related Products

Description

The Zebrafish Nanos3 antibody targets Nanos3, a highly conserved RNA-binding protein essential for germ cell specification, migration, survival, and early reproductive lineage development in Danio rerio. Zebrafish, also known as Danio rerio, express nanos3 as one of the earliest determinants of primordial germ cells (PGCs), with expression beginning maternally and persisting in PGCs as they migrate toward the developing gonad. Nanos3 localizes to the cytoplasm, particularly within ribonucleoprotein granules, where it represses translation of target mRNAs to maintain germ cell identity and prevent precocious differentiation.

Nanos3 belongs to the nanos family of translational repressors, characterized by two CCHC-type zinc finger motifs that bind RNA and regulate stability and translation of germ cell-associated transcripts. In zebrafish embryos, nanos3 mRNA is inherited maternally and segregates specifically to PGCs through germ plasm determinants. A Zebrafish Nanos3 antibody is suitable for research applications examining cytoplasmic expression in migrating and differentiating PGCs, enabling high-resolution mapping of germ cell lineage dynamics during early development.

Functionally, Nanos3 is indispensable for germ cell survival. It protects PGCs from apoptosis during their long-range migration across the embryo and ensures these cells reach the gonadal ridges. Nanos3 accomplishes this by repressing transcripts that promote somatic differentiation and by regulating signaling pathways controlling motility and guidance cues. In zebrafish, nanos3-deficient embryos exhibit PGC loss, disrupted migration routes, and failure to establish germline progenitors. Because PGC behavior is highly visible in transparent zebrafish embryos, Nanos3 serves as a central marker for studying germ cell development, stem cell maintenance, and reproductive axis formation.

Structurally, zebrafish Nanos3 contains conserved zinc finger motifs responsible for RNA binding and translational repression. These domains allow interaction with germ plasm components, mRNA targets, and co-factors that regulate RNA stability. Zebrafish nanos3 maps to chromosome 13, with maternal and zygotic regulatory elements ensuring selective expression in germ cell lineages. Co-localization studies frequently detect Nanos3 within germ plasm-associated structures, migrating PGC clusters, and developing gonadal tissues, often overlapping with markers such as vasa, dnd1, and tdrd family proteins.

A Zebrafish Nanos3 antibody is suitable for detecting Nanos3 in studies focused on germ cell specification, migration, survival pathways, and reproductive lineage development in Danio rerio. Its cytoplasmic labeling provides insight into PGC dynamics, enabling researchers to trace germ cell routes, analyze mutants affecting chemotaxis or germ plasm assembly, and examine molecular mechanisms that safeguard germline identity. Nanos3 is also valuable in studies of fertility, reproductive toxicology, and developmental stem cell biology. These properties make the antibody a key tool for understanding early reproductive development and germ cell regulatory networks, and it is supplied for research use by NSJ Bioreagents.

This Zebrafish antibody is part of a broader Zebrafish / Danio rerio antibody panel offered by NSJ Bioreagents.

Application Notes

Optimal dilution of the Zebrafish Nanos3 antibody should be determined by the researcher.

Immunogen

E. coli-derived zebrafish Nanos3 recombinant protein (amino acids M1-W159) was used as the immunogen for the Zebrafish Nanos3 antibody.

Storage

After reconstitution, the Zebrafish Nanos3 antibody can be stored for up to one month at 4oC. For long-term, aliquot and store at -20oC. Avoid repeated freezing and thawing.

Cross
Bulk Quote Request Form
Name*:
Organization*:
Email*:
Phone Number*:
Catalog No.*:
Comments and Specifics(amount, formulation, etc.)*:
Validation code: Captchapackage Image


Can't read the image? click here to refresh.
    *required field

Your bulk quote request has been submitted successfully!

Please contact us if you have any questions.