• Tel: 858.663.9055
  • SeparatorEmail: info@nsjbio.com
  • Tel: 858.663.9055
  • Email: info@nsjbio.com
Home >> Antibodies >> Zebrafish Myod1 Antibody / Myoblast determination protein 1 / Myogenic factor 1

Zebrafish Myod1 Antibody / Myoblast determination protein 1 / Myogenic factor 1 (RZ1243)

  Catalog No Formulation Size Price (USD)  
Image RZ1243 0.5mg/ml if reconstituted with 0.2ml sterile DI water 100 ug 539
Bulk quote request
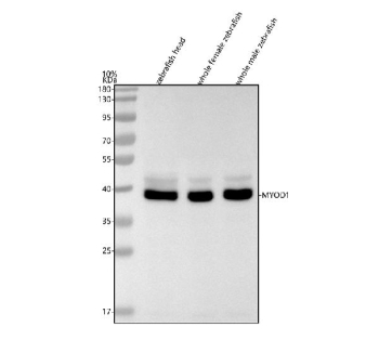
Zebrafish Myod1 Antibody Tissue WB. Western blot analysis of Myod1 protein using Zebrafish Myod1 antibody and 1) zebrafish head, 2) whole female zebrafish, 3) whole male zebrafish tissue lysate. Predicted molecular weight ~31 kDa, commonly observed at 35-45 kDa.
Availability 2-3 weeks
Species Reactivity Zebrafish
Format Antigen affinity purified
Host Rabbit
Clonality Polyclonal (rabbit origin)
Isotype Rabbit Ig
Purity Antigen affinity chromatography
Buffer Lyophilized from 1X PBS with 2% Trehalose
UniProt Q90477
Applications Western Blot : 0.5-1ug/ml
Limitations This Zebrafish Myod1 antibody is available for research use only.
Review this product on BioCompare and get a $20 Amazon gift card

Related Products

Description

The Zebrafish Myod1 antibody targets Myod1, a master myogenic transcription factor essential for skeletal muscle specification, myoblast determination, and early mesodermal patterning in Danio rerio. Zebrafish, also known as Danio rerio, express myod1 (also called myoblast determination protein 1 or myogenic factor 1) as one of the earliest markers of committed muscle precursor cells. Myod1 localizes to the nucleus, where it activates muscle-specific transcriptional programs and directs precursor cells toward the myogenic lineage. Its expression defines somitic domains undergoing differentiation and is critical for establishing the muscular architecture of the developing embryo.

Myod1 belongs to the basic helix-loop-helix (bHLH) family of transcription factors, forming heterodimers with E-proteins to bind E-box DNA motifs and activate skeletal muscle gene expression. In zebrafish embryos, myod1 expression begins during gastrulation within adaxial cells adjacent to the notochord, then expands to form the myotome of each somite. A Zebrafish Myod1 antibody is suitable for research applications examining nuclear localization in muscle progenitors, somite maturation, and spatial patterning of early muscle-forming territories.

Functionally, Myod1 initiates and maintains skeletal muscle identity by activating genes encoding sarcomeric proteins, contractile machinery, and regulators of muscle differentiation. In zebrafish, Myod1 works in concert with Myf5 and Myog to drive myogenic commitment and differentiation. Myod1 also contributes to slow and fast muscle fiber patterning, interacting with signals from the notochord and neural tube such as Hedgehog and Fgf pathways. Loss of myod1 results in impaired muscle differentiation, abnormal somite morphology, and reduced expression of structural muscle proteins, highlighting its central developmental role. Because zebrafish embryos exhibit rapid and visually accessible muscle formation, Myod1 is widely used to study myogenesis, muscle repair, and transcriptional regulation of muscle lineage decisions.

Structurally, zebrafish Myod1 contains the conserved bHLH domain necessary for DNA binding and protein dimerization, allowing it to regulate genes important for muscle differentiation and sarcomere assembly. Zebrafish myod1 maps to chromosome 17, with promoter and enhancer regions responding to inductive cues from axial tissues and mesodermal signaling centers. Co-localization studies frequently detect Myod1 in adaxial cells, nascent myotomes, and differentiating muscle fibers, often overlapping with markers such as myf5, myog, and muscle structural proteins including acta1 and mylz2.

A Zebrafish Myod1 antibody is suitable for detecting Myod1 in studies focused on skeletal muscle development, somite patterning, myogenic specification, and transcription factor network regulation in Danio rerio. Its nuclear expression provides a clear readout of myoblast commitment and somite maturation, enabling researchers to map myogenic domains, evaluate developmental mutants, investigate signaling interactions that govern muscle patterning, and analyze regenerative responses following injury. These features make the antibody valuable for research in vertebrate muscle biology, developmental genetics, and transcriptional control of lineage determination, and this reagent is supplied for research use by NSJ Bioreagents.

This Zebrafish antibody is part of a broader Zebrafish / Danio rerio antibody panel offered by NSJ Bioreagents.

Application Notes

Optimal dilution of the Zebrafish Myod1 antibody should be determined by the researcher.

Immunogen

E. coli-derived zebrafish Myod1 recombinant protein (amino acids M1-L275) was used as the immunogen for the Zebrafish Myod1 antibody.

Storage

After reconstitution, the Zebrafish Myod1 antibody can be stored for up to one month at 4oC. For long-term, aliquot and store at -20oC. Avoid repeated freezing and thawing.

Cross
Bulk Quote Request Form
Name*:
Organization*:
Email*:
Phone Number*:
Catalog No.*:
Comments and Specifics(amount, formulation, etc.)*:
Validation code: Captchapackage Image


Can't read the image? click here to refresh.
    *required field

Your bulk quote request has been submitted successfully!

Please contact us if you have any questions.