• Tel: 858.663.9055
  • SeparatorEmail: info@nsjbio.com
  • Tel: 858.663.9055
  • Email: info@nsjbio.com
Home >> Antibodies >> Zebrafish Mat2a Antibody / Methionine adenosyltransferase 2 / Isoforms a & b

Zebrafish Mat2a Antibody / Methionine adenosyltransferase 2 / Isoforms a & b (RZ1065)

  Catalog No Formulation Size Price (USD)  
Image RZ1065 0.5mg/ml if reconstituted with 0.2ml sterile DI water 100 ug 539
Bulk quote request
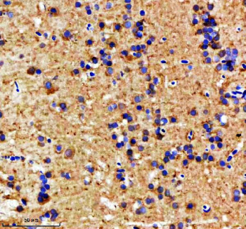
Zebrafish Mat2a Antibody Brain IHC. Immunohistochemistry staining of FFPE zebrafish brain tissue with Zebrafish Mat2a antibody. HIER: boil tissue sections in pH8 EDTA for 20 min and allow to cool before testing.
Zebrafish Mat2a Antibody WB. Western blot analysis of Mat2aa/b protein using Zebrafish Mat2a antibody and 1) zebrafish head, 2) whole female zebrafish, 3) whole male zebrafish and 4) zebrafish embryo tissue lysate. Expected molecular weight ~44 kDa.
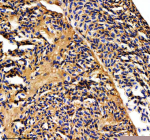
Zebrafish Mat2a Antibody Heart IHC. Immunohistochemistry staining of FFPE zebrafish heart tissue with Zebrafish Mat2a antibody. HIER: boil tissue sections in pH8 EDTA for 20 min and allow to cool before testing.
Availability 2-3 weeks
Species Reactivity Zebrafish
Format Antigen affinity purified
Host Rabbit
Clonality Polyclonal (rabbit origin)
Isotype Rabbit Ig
Purity Antigen affinity chromatography
Buffer Lyophilized from 1X PBS with 2% Trehalose
UniProt F1QYU7 , A0A8M6YZ65
Localization Cytoplasm
Applications Western Blot : 0.5-1 ug/ml
Immunohistochemistry (FFPE) : 2-5 ug/ml
Limitations This Zebrafish Mat2a antibody is available for research use only.
Review this product on BioCompare and get a $20 Amazon gift card

Related Products

Description

Zebrafish (Danio rerio) Mat2a antibody recognizes Methionine adenosyltransferase 2, detecting isoforms a and b encoded by the zebrafish mat2a gene. MAT2A catalyzes the synthesis of S-adenosylmethionine (SAM), a universal methyl donor required for methylation of DNA, RNA, proteins, phospholipids, and numerous metabolic intermediates. In Danio rerio, Mat2a is expressed from early embryogenesis and shows enriched localization in neural tissues, somites, notochord, heart, vasculature, and endoderm-derived organs such as liver and pancreas. Subcellular localization is cytosolic, aligning with its central metabolic functions and its contribution to methylation-dependent regulatory pathways.

Methionine adenosyltransferase 2 plays a pivotal role in coordinating methylation capacity during rapid developmental growth. SAM availability influences chromatin state, transcriptional regulation, metabolic flux, and cell fate decisions. Zebrafish embryos rely on Mat2a to support these methylation-dependent processes as tissues proliferate and differentiate. By generating SAM, Mat2a indirectly regulates histone methylation, DNA methylation, and RNA modification, all of which shape lineage specification and organogenesis. Isoforms a and b may reflect tissue-specific or stage-specific regulation of SAM synthesis.

Neural development is especially sensitive to Mat2a activity. Neural progenitors and differentiating neurons require precise epigenetic and metabolic control to guide brain patterning, neuroepithelial organization, and neuronal maturation. SAM-dependent methylation influences expression of transcription factors, signaling molecules, and cytoskeletal regulators that define neural identity. Disruption of SAM biosynthesis can impair neural tube formation, alter brain regionalization, or affect axonal differentiation. Mat2a enrichment in developing brain and retina reflects the high metabolic and epigenetic demand of these tissues.

In cardiac and vascular development, Mat2a supports proliferation, metabolic regulation, and transcriptional control essential for early heart formation and angiogenesis. Cardiomyocytes depend on methylation-regulated gene expression for proper contractile protein synthesis, stress adaptation, and chamber morphogenesis. Endothelial cells require balanced methylation status to maintain polarity, adhesion, and vessel branching behaviors. Reduced SAM availability during these stages may lead to defects in heart looping or vascular patterning.

Somite and skeletal muscle development also depend on Mat2a-driven methylation capacity. Myogenic lineage progression, sarcomere organization, and metabolic maturation all require controlled gene expression shaped by methylation pathways. Mat2a ensures that proliferative and differentiating myoblasts maintain proper epigenetic programming as muscle architecture forms.

Endoderm-derived organs rely heavily on Mat2a because SAM is central to metabolic regulation, detoxification pathways, and biosynthesis of lipids and hormones. Developing liver and pancreas undergo extensive transcriptional and metabolic reprogramming that requires robust methylation capacity. Disruption of mat2a expression can impair hepatocyte maturation, endocrine specification, or metabolic stability in early organogenesis.

Beyond tissue-specific functions, Mat2a contributes to global embryonic homeostasis by linking methionine metabolism to cellular redox balance, one-carbon metabolism, and nucleotide synthesis. Zebrafish embryos experience rapid fluctuations in metabolic demand, making Mat2a essential for buffering methylation capacity during developmental transitions.

This Zebrafish Mat2a antibody is suitable for detecting Methionine adenosyltransferase 2 isoforms a and b in research focused on methylation biology, metabolic regulation, neural development, muscle formation, cardiac and vascular morphogenesis, and endodermal organ maturation. NSJ Bioreagents provides this reagent within its zebrafish and metabolic-enzyme antibody collection.

This Zebrafish antibody is part of a broader Zebrafish / Danio rerio antibody panel offered by NSJ Bioreagents.

Application Notes

Optimal dilution of the Zebrafish Mat2a antibody should be determined by the researcher.

Immunogen

An E.coli-derived zebrafish Mat2aa/b recombinant protein (amino acids M1-A229) was used as the immunogen for the Zebrafish Mat2a antibody. This antibody will detect the a and b isoforms.

Storage

After reconstitution, the Zebrafish Mat2a antibody can be stored for up to one month at 4oC. For long-term, aliquot and store at -20oC. Avoid repeated freezing and thawing.

Cross
Bulk Quote Request Form
Name*:
Organization*:
Email*:
Phone Number*:
Catalog No.*:
Comments and Specifics(amount, formulation, etc.)*:
Validation code: Captchapackage Image


Can't read the image? click here to refresh.
    *required field

Your bulk quote request has been submitted successfully!

Please contact us if you have any questions.