• Tel: 858.663.9055
  • SeparatorEmail: info@nsjbio.com
  • Tel: 858.663.9055
  • Email: info@nsjbio.com
Home >> Antibodies >> Zebrafish Lsg1 Antibody / Large subunit GTPase 1

Zebrafish Lsg1 Antibody / Large subunit GTPase 1 (RZ1155)

  Catalog No Formulation Size Price (USD)  
Image RZ1155 0.5mg/ml if reconstituted with 0.2ml sterile DI water 100 ug 539
Bulk quote request
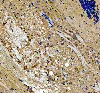
Zebrafish Lsg1 Antibody Brain Tissue IHC. Immunohistochemical analysis of Lsg1 protein using Zebrafish Lsg1 antibody, HPR secondary and DAB substrate with paraffin-embedded zebrafish brain tissue. HIER: boil tissue sections in pH8 EDTA for 20 min and allow to cool before testing.
Zebrafish Lsg1 Antibody Head Tissue WB. Western blot analysis of Lsg1 protein using Zebrafish Lsg1 antibody and zebrafish head tissue lysate. The predicted molecular weight of LSG1 is ~75 kDa.
Zebrafish Lsg1 Antibody Eye Tissue IHC. Immunohistochemical analysis of Lsg1 protein using Zebrafish Lsg1 antibody, HPR secondary and DAB substrate with paraffin-embedded zebrafish eye tissue. HIER: boil tissue sections in pH8 EDTA for 20 min and allow to cool before testing.
Availability 2-3 weeks
Species Reactivity Zebrafish
Format Antigen affinity purified
Host Rabbit
Clonality Polyclonal (rabbit origin)
Isotype Rabbit Ig
Purity Antigen affinity chromatography
Buffer Lyophilized from 1X PBS with 2% Trehalose
UniProt Q6NY89
Localization Cytoplasm
Applications Western Blot : 0.5-1 ug/ml
Immunohistochemistry (FFPE) : 2-5 ug/ml
Limitations This Zebrafish Lsg1 antibody is available for research use only.
Review this product on BioCompare and get a $20 Amazon gift card

Related Products

Description

Zebrafish (Danio rerio) Lsg1 antibody detects Lsg1, a highly conserved GTPase required for the maturation and cytoplasmic processing of the 60S large ribosomal subunit. Encoded in zebrafish by the lsg1 gene, Large subunit GTPase 1 participates in late steps of ribosome biogenesis, ensuring that 60S subunits are correctly assembled, released from nuclear export factors, and rendered competent for translation. Because ribosome production is essential for protein synthesis, growth, and developmental progression, Zebrafish Lsg1 antibody reagents support research in translational control, ribosome assembly, and vertebrate cell growth.

Lsg1 functions as a quality-control checkpoint during cytoplasmic maturation of the 60S subunit. After nuclear export, immature ribosomal particles retain assembly factors that must be removed before functional ribosomes can join with 40S subunits to initiate translation. Lsg1 hydrolyzes GTP to release Nmd3, a required export adapter, thereby completing the maturation cycle and enabling subunit joining. In zebrafish embryos, lsg1 expression is present in rapidly proliferating and transcriptionally active tissues such as the brain, somites, endodermal organs, and developing musculature. These tissues demand high rates of ribosome production to support protein synthesis during growth and differentiation.

Defects in 60S subunit maturation can disrupt global translation and alter gene expression programs critical for development. Because the ribosome plays a central role in regulating protein output, Lsg1 contributes indirectly to pathways governing cell proliferation, lineage commitment, and metabolic adaptation. In zebrafish, impaired lsg1 function can reduce growth rates, increase cellular stress, or cause mispatterning in organ systems that require rapid protein synthesis. These phenotypes align with findings in other vertebrates, underscoring the conserved role of Large subunit GTPase 1 in ribosomal quality control.

Ribosome biogenesis is closely tied to developmental timing and nutrient-sensing pathways. In proliferating cells, growth regulators such as mTOR coordinate rRNA transcription, ribosomal protein synthesis, and assembly factor activity. Lsg1 acts downstream in the maturation phase, ensuring that newly produced large subunits are properly processed and capable of supporting high translational demand. Zebrafish embryos, which undergo rapid tissue expansion, rely on efficient Lsg1 activity to sustain structural protein production, metabolic enzyme synthesis, and the generation of developmental regulators.

At the molecular level, Lsg1 contains conserved GTP-binding motifs that enable nucleotide-dependent conformational changes necessary for release of assembly factors. Structural studies in other organisms show that Lsg1 engages the intersubunit face of the 60S particle, positioning itself to regulate late maturation steps. Subcellular localization in zebrafish is predominantly cytoplasmic, with enrichment near ribosome assembly intermediates. This localization pattern makes Lsg1 a useful marker for studying ribosomal maturation and cytoplasmic quality-control pathways.

Lsg1 also participates in maintaining ribosome homeostasis under stress. When translation is perturbed or ribosome production becomes imbalanced, Lsg1 and other GTPases modulate assembly activity to restore equilibrium. These mechanisms are particularly important during zebrafish development, where fluctuating metabolic conditions or environmental stressors may influence translational output.

A Zebrafish Lsg1 antibody is suitable for research applications such as western blotting, immunohistochemistry, and assays examining ribosome assembly, translational control, and cytoplasmic maturation of ribosomal subunits. This antibody targets Lsg1 for studies involving developmental growth, protein synthesis regulation, and vertebrate ribosome biology. NSJ Bioreagents provides the Zebrafish Lsg1 antibody to support research in translational regulation and cellular physiology.

This Zebrafish antibody is part of a broader Zebrafish / Danio rerio antibody panel offered by NSJ Bioreagents.

Application Notes

Optimal dilution of the Zebrafish Lsg1 antibody should be determined by the researcher.

Immunogen

An E.coli-derived zebrafish Lsg1 recombinant protein (amino acids R21-G467) was used as the immunogen for the Zebrafish Lsg1 antibody.

Storage

After reconstitution, the Zebrafish Lsg1 antibody can be stored for up to one month at 4oC. For long-term, aliquot and store at -20oC. Avoid repeated freezing and thawing.

Cross
Bulk Quote Request Form
Name*:
Organization*:
Email*:
Phone Number*:
Catalog No.*:
Comments and Specifics(amount, formulation, etc.)*:
Validation code: Captchapackage Image


Can't read the image? click here to refresh.
    *required field

Your bulk quote request has been submitted successfully!

Please contact us if you have any questions.