• Tel: 858.663.9055
  • SeparatorEmail: info@nsjbio.com
  • Tel: 858.663.9055
  • Email: info@nsjbio.com
Home >> Antibodies >> Zebrafish Lonp1 Antibody / Lon protease homolog

Zebrafish Lonp1 Antibody / Lon protease homolog (RZ1152)

  Catalog No Formulation Size Price (USD)  
Image RZ1152 0.5mg/ml if reconstituted with 0.2ml sterile DI water 100 ug 539
Bulk quote request
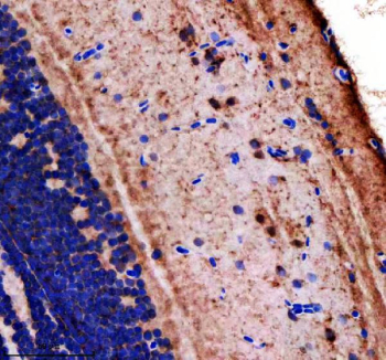
Immunohistochemical analysis of Lonp1 protein using Zebrafish Lonp1 antibody and paraffin-embedded zebrafish brain tissue. HIER: boil tissue sections in pH8 EDTA for 20 min and allow to cool before testing.
Availability 2-3 weeks
Species Reactivity Zebrafish
Format Antigen affinity purified
Host Rabbit
Clonality Polyclonal (rabbit origin)
Isotype Rabbit Ig
Purity Antigen affinity chromatography
Buffer Lyophilized from 1X PBS with 2% Trehalose
UniProt A0A0R4IH79
Localization Cytoplasm (Mitochondria)
Applications Immunohistochemistry (FFPE) : 2-5 ug/ml
Limitations This Zebrafish Lonp1 antibody is available for research use only.
Review this product on BioCompare and get a $20 Amazon gift card

Related Products

Description

Zebrafish (Danio rerio) Lonp1 antibody detects Lonp1, a conserved mitochondrial matrix protease responsible for protein quality control, metabolic regulation, and stress adaptation. Encoded in zebrafish by the lonp1 gene, Lon protease homolog functions as an ATP-dependent serine protease and chaperone that degrades misfolded, oxidized, or damaged mitochondrial proteins. Because mitochondrial integrity is essential for energy production, redox balance, and programmed cell survival, Zebrafish Lonp1 antibody reagents support research in mitochondrial biology, developmental metabolism, and cellular stress responses.

Lonp1 plays a central role in maintaining proteostasis within the mitochondrial matrix. By removing damaged or misfolded proteins, it preserves the activity of metabolic enzymes and prevents toxic aggregate accumulation. This function is especially critical in zebrafish embryos, where rapid cell proliferation and tissue formation depend on efficient oxidative phosphorylation. lonp1 expression is enriched in metabolically active regions such as developing muscle, brain, heart, and endodermal organs. These tissues rely heavily on mitochondrial ATP and require robust quality control mechanisms to maintain bioenergetic output during growth.

In addition to its proteolytic activity, Lonp1 exhibits ATP-dependent chaperone functions that assist in folding mitochondrial proteins and stabilizing enzyme complexes. It contributes to the assembly and maintenance of metabolic pathways including the TCA cycle, fatty acid oxidation, amino acid metabolism, and components of oxidative phosphorylation. Zebrafish models show that altered Lonp1 activity can lead to mitochondrial dysfunction, impaired energy metabolism, and developmental abnormalities in tissues with high metabolic demand.

Lon protease homolog also participates in mitochondrial DNA (mtDNA) maintenance. Vertebrate Lonp1 helps regulate mtDNA copy number, contributes to nucleoid organization, and interacts with factors involved in replication and transcription. These roles ensure proper synthesis of mitochondrial-encoded respiratory chain components. Disruption of lonp1 expression in zebrafish may affect mtDNA stability and compromise respiratory capacity, leading to defects in organ development or stress tolerance.

Lonp1 function is tightly linked to cellular responses to oxidative and metabolic stress. When mitochondrial proteins become oxidatively damaged, Lonp1 selectively degrades these substrates to restore proteome integrity. This activity supports adaptation to fluctuations in oxygen availability, nutrient levels, and temperature. Zebrafish, which experience rapid developmental transitions and environmental variability, depend on Lon protease function to maintain mitochondrial efficiency and protect against metabolic imbalance.

Structurally, Lonp1 forms large hexameric or heptameric complexes within the matrix. Its ATPase domain powers substrate unfolding and translocation into the proteolytic chamber, where catalytic residues mediate protein degradation. Subcellular localization is strictly mitochondrial, and its abundance often increases during stress conditions or periods of elevated respiratory demand. These characteristics make Lonp1 a sensitive marker for mitochondrial health and adaptive metabolic capacity.

Research in mammals links Lonp1 dysfunction to neurodegeneration, cardiomyopathy, aging, and metabolic disorders. Zebrafish share many of these mitochondrial regulatory mechanisms, making lonp1 an excellent target for studies of disease models, redox biology, and bioenergetic control during development.

A Zebrafish Lonp1 antibody is suitable for research applications such as western blotting, immunohistochemistry, and assays examining mitochondrial proteostasis, metabolic regulation, and stress responses. This antibody targets Lonp1 for studies involving oxidative phosphorylation, developmental energetics, and mitochondrial quality control. NSJ Bioreagents provides the Zebrafish Lonp1 antibody to support research in mitochondrial physiology and developmental metabolism.

Application Notes

Optimal dilution of the Zebrafish Lonp1 antibody should be determined by the researcher.

Immunogen

An E.coli-derived zebrafish Lonp1 recombinant protein (amino acids I148-A334) was used as the immunogen for the Zebrafish Lonp1 antibody.

Storage

After reconstitution, the Zebrafish Lonp1 antibody can be stored for up to one month at 4oC. For long-term, aliquot and store at -20oC. Avoid repeated freezing and thawing.

Cross
Bulk Quote Request Form
Name*:
Organization*:
Email*:
Phone Number*:
Catalog No.*:
Comments and Specifics(amount, formulation, etc.)*:
Validation code: Captchapackage Image


Can't read the image? click here to refresh.
    *required field

Your bulk quote request has been submitted successfully!

Please contact us if you have any questions.