• Tel: 858.663.9055
  • SeparatorEmail: info@nsjbio.com
  • Tel: 858.663.9055
  • Email: info@nsjbio.com
Home >> Antibodies >> Zebrafish Lhcgr Antibody / Lutropin-choriogonadotropic hormone receptor

Zebrafish Lhcgr Antibody / Lutropin-choriogonadotropic hormone receptor (RZ1187)

  Catalog No Formulation Size Price (USD)  
Image RZ1187 0.5mg/ml if reconstituted with 0.2ml sterile DI water 100 ug 539
Bulk quote request
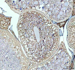
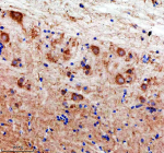
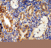
Zebrafish Lhcgr Antibody Kidney Tissue IHC. Immunohistochemistry staining of zebrafish Lhcgr protein using Zebrafish Lhcgr antibody, HRP-labeled secondary and DAB substrate. Lhcgr was detected in a paraffin-embedded section of zebrafish kidney tissue. HIER: boil tissue sections in pH8 EDTA for 20 min and allow to cool before testing.
Zebrafish Lhcgr Antibody Ovary Tissue IHC. Immunohistochemistry staining of zebrafish Lhcgr protein using Zebrafish Lhcgr antibody, HRP-labeled secondary and DAB substrate. Lhcgr was detected in a paraffin-embedded section of zebrafish ovary tissue. HIER: boil tissue sections in pH8 EDTA for 20 min and allow to cool before testing.
Zebrafish Lhcgr Antibody Testis Tissue IHC. Immunohistochemistry staining of zebrafish Lhcgr protein using Zebrafish Lhcgr antibody, HRP-labeled secondary and DAB substrate. Lhcgr was detected in a paraffin-embedded section of zebrafish testis tissue. HIER: boil tissue sections in pH8 EDTA for 20 min and allow to cool before testing.
Zebrafish Lhcgr Antibody Brain Tissue IHC. Immunohistochemistry staining of zebrafish Lhcgr protein using Zebrafish Lhcgr antibody, HRP-labeled secondary and DAB substrate. Lhcgr was detected in a paraffin-embedded section of zebrafish brain tissue. HIER: boil tissue sections in pH8 EDTA for 20 min and allow to cool before testing.
Zebrafish Lhcgr Antibody Liver Tissue IHC. Immunohistochemistry staining of zebrafish Lhcgr protein using Zebrafish Lhcgr antibody, HRP-labeled secondary and DAB substrate. Lhcgr was detected in a paraffin-embedded section of zebrafish liver tissue. HIER: boil tissue sections in pH8 EDTA for 20 min and allow to cool before testing.
Availability 2-3 weeks
Species Reactivity Zebrafish
Format Antigen affinity purified
Host Rabbit
Clonality Polyclonal (rabbit origin)
Isotype Rabbit Ig
Purity Antigen affinity chromatography
Buffer Lyophilized from 1X PBS with 2% Trehalose
UniProt Q6TCF8
Applications Immunohistochemistry (FFPE) : 2-5ug/ml
Limitations This Zebrafish Lhcgr antibody is available for research use only.
Review this product on BioCompare and get a $20 Amazon gift card

Related Products

Description

Zebrafish (Danio rerio) Lhcgr antibody detects Lhcgr, a G protein-coupled receptor essential for vertebrate reproductive signaling and gonadal maturation. Encoded in zebrafish by the lhcgr gene, Lutropin-choriogonadotropic hormone receptor recognizes luteinizing hormone in fish and activates intracellular pathways that regulate steroidogenesis, gametogenesis, and reproductive timing. Lhcgr is the functional equivalent of the mammalian LH receptor, and its activation coordinates endocrine communication between the pituitary and the gonads. Because this signaling axis is fundamental to fertility and sexual maturation, Zebrafish Lhcgr antibody reagents support research in reproductive endocrinology, gonadal development, and hypothalamic-pituitary-gonadal axis regulation.

During zebrafish development, lhcgr expression emerges in somatic cells of the maturing gonads. In females, Lhcgr is found in thecal and granulosa cell populations, where it mediates luteinizing hormone signals that promote steroid biosynthesis, follicle maturation, and ovulation. Activation of Lhcgr stimulates production of progestins and estrogens necessary for oocyte growth and final maturation. In males, Lhcgr is expressed in Leydig cells and supports androgen synthesis required for spermatogenesis. These roles parallel those in mammals, highlighting the receptor’s deep evolutionary conservation across vertebrates.

Lhcgr activation triggers classical G protein-coupled receptor signaling. Upon hormone binding, the receptor activates Gs proteins that increase intracellular cAMP levels, initiating downstream cascades via PKA, CREB, and associated steroidogenic regulators. These pathways drive transcription of enzymes involved in cholesterol transport, hormone synthesis, and gonadal development. In zebrafish, these signaling events are tightly regulated by developmental stage, reproductive status, and environmental cues such as temperature, stress, and nutritional condition.

Lutropin-choriogonadotropic hormone receptor contributes to establishing reproductive competence during puberty-like transitions in zebrafish. As the gonads differentiate and mature, Lhcgr signaling ensures that steroid hormone levels increase appropriately to coordinate growth, behavior, and reproductive readiness. Changes in lhcgr expression have been linked to altered fertility, delayed maturation, and endocrine disruption in aquatic toxicology models. Because zebrafish are highly sensitive to environmental hormonal signals, Lhcgr serves as a useful marker for studies examining endocrine disruptors and reproductive health.

At the molecular level, Lhcgr contains seven transmembrane helices typical of GPCRs, a large extracellular ligand-binding domain, and intracellular loops that engage G proteins and regulatory proteins. Ligand-induced conformational changes initiate signaling cascades that propagate through transcriptional networks within gonadal tissue. Subcellular localization is primarily at the plasma membrane of steroidogenic cells, where receptor density and trafficking influence sensitivity to hormonal stimulation.

Beyond its roles in steroidogenesis, Lhcgr contributes to gamete quality and reproductive synchrony. In females, the receptor participates in the processes leading to oocyte maturation and follicle rupture. In males, Lhcgr-dependent signaling influences Sertoli cell support functions and sperm development. Because zebrafish exhibit external fertilization and clearly staged gametogenesis, they offer a valuable platform for dissecting Lhcgr-mediated reproductive mechanisms.

A Zebrafish Lhcgr antibody is suitable for research applications such as western blotting, immunohistochemistry, and assays examining gonadal development, steroidogenic pathways, reproductive maturation, and endocrine regulation. This antibody targets Lutropin-choriogonadotropic hormone receptor for studies involving hormonal signaling and vertebrate reproductive physiology. NSJ Bioreagents provides the Zebrafish Lhcgr antibody to support research in developmental and reproductive endocrinology.

This Zebrafish antibody is part of a broader Zebrafish / Danio rerio antibody panel offered by NSJ Bioreagents.

Application Notes

Optimal dilution of the Zebrafish Lhcgr antibody should be determined by the researcher.

Immunogen

E. coli-derived zebrafish Lhcgr recombinant protein (amino acids V51-V708) was used as the immunogen for the Zebrafish Lhcgr antibody.

Storage

After reconstitution, the Zebrafish Lhcgr antibody can be stored for up to one month at 4oC. For long-term, aliquot and store at -20oC. Avoid repeated freezing and thawing.

Cross
Bulk Quote Request Form
Name*:
Organization*:
Email*:
Phone Number*:
Catalog No.*:
Comments and Specifics(amount, formulation, etc.)*:
Validation code: Captchapackage Image


Can't read the image? click here to refresh.
    *required field

Your bulk quote request has been submitted successfully!

Please contact us if you have any questions.