• Tel: 858.663.9055
  • SeparatorEmail: info@nsjbio.com
  • Tel: 858.663.9055
  • Email: info@nsjbio.com
Home >> Antibodies >> Zebrafish Kita Antibody / Kit / Scfr

Zebrafish Kita Antibody / Kit / Scfr (RZ1184)

  Catalog No Formulation Size Price (USD)  
Image RZ1184 0.5mg/ml if reconstituted with 0.2ml sterile DI water 100 ug 539
Bulk quote request
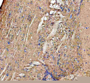
IHC staining of zebrafish Kita protein using Zebrafish Kita antibody, HRP-labeled secondary and DAB substrate. Kita was detected in a paraffin-embedded section of zebrafish ovary tissue. HIER: boil tissue sections in pH8 EDTA for 20 min and allow to cool before testing.
Western blot analysis of Kita protein using Zebrafish Kita antibody and zebrafish head tissue lysates. Predicted molecular weight ~109 kDa.
IHC staining of zebrafish Kita protein using Zebrafish Kita antibody, HRP-labeled secondary and DAB substrate. Kita was detected in a paraffin-embedded section of zebrafish brain tissue. HIER: boil tissue sections in pH8 EDTA for 20 min and allow to cool before testing.
Availability 2-3 weeks
Species Reactivity Zebrafish
Format Antigen affinity purified
Host Rabbit
Clonality Polyclonal (rabbit origin)
Isotype Rabbit Ig
Purity Antigen affinity chromatography
Buffer Lyophilized from 1X PBS with 2% Trehalose
UniProt Q8JFR5
Applications Western Blot : 0.5-1ug/ml
Immunohistochemistry (FFPE) : 2-5ug/ml
Limitations This Zebrafish Kita antibody is available for research use only.
Review this product on BioCompare and get a $20 Amazon gift card

Related Products

Description

Zebrafish (Danio rerio) Kita antibody detects Kita, a receptor tyrosine kinase essential for pigment cell development, hematopoiesis, and germ cell biology. Encoded in zebrafish by the kita gene, its paralogs and synonyms include Kit and Scfr (stem cell factor receptor). As the zebrafish homolog of mammalian KIT, Kita mediates signaling triggered by the ligand Kitl, controlling survival, proliferation, migration, and differentiation of multiple cell types. Because KIT-family receptors function across diverse developmental systems, Zebrafish Kita antibody reagents support research in melanocyte biology, stem cell regulation, hematopoietic development, and receptor tyrosine kinase signaling.

Kita is best known for its critical role in pigment cell patterning. In zebrafish, melanocyte development depends heavily on Kita activity, and loss-of-function mutations such as sparse dramatically reduce or eliminate melanocytes. During early embryogenesis, migrating neural crest cells require Kita signaling for survival and directional movement. As these progenitors differentiate, Kita supports maintenance and expansion of melanocyte lineages, influencing adult pigment patterns and regenerative capacity. This makes zebrafish a powerful model for dissecting conserved Kit-mediated pigment cell mechanisms relevant to vertebrate development and melanoma biology.

Beyond pigmentation, Kit and Scfr signaling regulate hematopoietic progenitors. In zebrafish, Kita contributes to early erythroid and myeloid lineage specification by supporting stem cell proliferation and responsiveness to cytokine cues. Although hematopoietic functions of Kit are more prominent in mammals, zebrafish models reveal conserved roles in progenitor survival and differentiation. Kit signaling also influences germ cell development: primordial germ cells rely on receptor guidance cues for migration toward the gonad, and perturbation of Kit pathways can disrupt gonad formation and fertility.

Kita integrates extracellular signals through ligand binding, dimerization, and activation of downstream kinase activity. This triggers multiple intracellular pathways including PI3K-Akt, MAPK, Src-family kinases, and JAK-STAT signaling. Collectively, these pathways regulate cytoskeletal dynamics, transcriptional programs, metabolic adaptation, and cell cycle progression. In zebrafish embryos, tissue-specific expression of kita in neural crest populations, hematopoietic zones, and reproductive precursors reflects its central role in coordinating developmental processes across organ systems.

At the molecular level, Kita contains extracellular immunoglobulin-like domains, a single-pass transmembrane region, and intracellular kinase domains with conserved autophosphorylation motifs. These features mirror mammalian KIT architecture, enabling translational relevance for human disease studies. Subcellular localization is primarily at the plasma membrane, but internalization and recycling occur during ligand regulation and receptor turnover.

Kita also participates in regeneration biology. Zebrafish possess robust regenerative abilities, and Kit signaling contributes to melanocyte regeneration following injury or chemical ablation. Similar pathways influence stem cell activation and tissue repair, making Kita an important target for regenerative and stem cell research.

A Zebrafish Kita antibody is suitable for research applications such as western blotting, immunohistochemistry, and assays examining pigment cell formation, hematopoietic development, germ cell migration, and receptor tyrosine kinase signaling. This antibody targets Kita, Kit, and Scfr for studies involving developmental regulation and vertebrate stem cell pathways. NSJ Bioreagents provides the Zebrafish Kita antibody to support research in receptor signaling and embryonic patterning.

Application Notes

Optimal dilution of the Zebrafish Kita antibody should be determined by the researcher.

Immunogen

E. coli-derived zebrafish Kita recombinant protein (amino acids R22-N946) was used as the immunogen for the Zebrafish Kita antibody.

Storage

After reconstitution, the Zebrafish Kita antibody can be stored for up to one month at 4oC. For long-term, aliquot and store at -20oC. Avoid repeated freezing and thawing.

Cross
Bulk Quote Request Form
Name*:
Organization*:
Email*:
Phone Number*:
Catalog No.*:
Comments and Specifics(amount, formulation, etc.)*:
Validation code: Captchapackage Image


Can't read the image? click here to refresh.
    *required field

Your bulk quote request has been submitted successfully!

Please contact us if you have any questions.