• Tel: 858.663.9055
  • SeparatorEmail: info@nsjbio.com
  • Tel: 858.663.9055
  • Email: info@nsjbio.com
Home >> Antibodies >> Zebrafish Il1b Antibody / Interleukin 1 beta

Zebrafish Il1b Antibody / Interleukin 1 beta (RZ1231)

  Catalog No Formulation Size Price (USD)  
Image RZ1231 0.5mg/ml if reconstituted with 0.2ml sterile DI water 100 ug 539
Bulk quote request
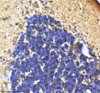
Zebrafish Il1b Antibody Cerebellum Tissue IHC. Immunohistochemistry staining of zebrafish Interleukin 1 beta protein using Zebrafish Il1b antibody, HRP-labeled secondary and DAB substrate. Il-1 beta was detected in a paraffin-embedded section of zebrafish cerebellum tissue. HIER: boil tissue sections in pH8 EDTA for 20 min and allow to cool before testing.
Zebrafish Il1b Antibody Brain Tissue IHC. Immunohistochemistry staining of zebrafish Interleukin 1 beta protein using Zebrafish Il1b antibody, HRP-labeled secondary and DAB substrate. Il-1 beta was detected in a paraffin-embedded section of zebrafish brain tissue. HIER: boil tissue sections in pH8 EDTA for 20 min and allow to cool before testing.
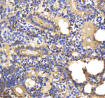
Zebrafish Il1b Antibody Kidney Tissue IHC. Immunohistochemistry staining of zebrafish Interleukin 1 beta protein using Zebrafish Il1b antibody, HRP-labeled secondary and DAB substrate. Il-1 beta was detected in a paraffin-embedded section of zebrafish kidney tissue. HIER: boil tissue sections in pH8 EDTA for 20 min and allow to cool before testing.
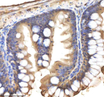
Zebrafish Il1b Antibody Colon Tissue IHC. Immunohistochemistry staining of zebrafish Interleukin 1 beta protein using Zebrafish Il1b antibody, HRP-labeled secondary and DAB substrate. Il-1 beta was detected in a paraffin-embedded section of zebrafish colon tissue. HIER: boil tissue sections in pH8 EDTA for 20 min and allow to cool before testing.
Zebrafish Il1b Antibody Muscle Tissue IHC. Immunohistochemistry staining of zebrafish Interleukin 1 beta protein using Zebrafish Il1b antibody, HRP-labeled secondary and DAB substrate. Il-1 beta was detected in a paraffin-embedded section of zebrafish muscle tissue. HIER: boil tissue sections in pH8 EDTA for 20 min and allow to cool before testing.
Availability 2-3 weeks
Species Reactivity Zebrafish
Format Antigen affinity purified
Host Rabbit
Clonality Polyclonal (rabbit origin)
Isotype Rabbit Ig
Purity Antigen affinity chromatography
Buffer Lyophilized from 1X PBS with 2% Trehalose
UniProt A0A8M1PI54
Localization Cytoplasm
Applications Immunohistochemistry (FFPE) : 2-5ug/ml
Limitations This Zebrafish Il1b / Interleukin 1 beta antibody is available for research use only.
Review this product on BioCompare and get a $20 Amazon gift card

Related Products

Description

Zebrafish IL1B antibody targets interleukin 1 beta Il1b, a pro-inflammatory cytokine essential for innate immune activation, injury responses, and host defense signaling in Danio rerio. Zebrafish, also known as Danio rerio, express il1b as a major effector of the inflammatory cascade, functioning similarly to mammalian interleukin 1 beta. Zebrafish IL1B antibody, also referred to as interleukin 1 beta antibody or Il1b antibody, is widely used to study inflammatory signaling and immune activation in zebrafish models. Il1b is produced primarily by activated macrophages, neutrophils, and epithelial cells following infection, wounding, or exposure to inflammatory stimuli. Once synthesized as an inactive precursor, Il1b undergoes proteolytic cleavage to generate a mature secreted cytokine that triggers broad transcriptional and cellular immune responses.

Il1b belongs to the interleukin 1 family of cytokines that act as key upstream regulators of inflammation. In zebrafish larvae, il1b expression is rapidly induced following tissue damage, bacterial exposure, or pro-inflammatory signaling through pathways such as NF-kappaB, MyD88, and inflammasome-associated caspases. A Zebrafish IL1B antibody is suitable for research applications examining inflammatory zone formation, innate immune activation, and cytokine localization patterns during early development or experimental immune challenges.

Functionally, Il1b drives early immune cell recruitment and activation. Upon release, Il1b promotes neutrophil migration to sites of injury, enhances macrophage activation, and stimulates the expression of downstream cytokines and chemokines. In zebrafish models, il1b induction is frequently used as a sensitive marker for inflammation, infection, or toxicant exposure. Il1b also influences tissue remodeling, cellular proliferation, and metabolic responses during inflammatory episodes. Because zebrafish show strong and trackable innate immune responses, Il1b is widely studied in models of wound healing, pathogen infection, environmental stress, and inflammatory disease.

Structurally, zebrafish Il1b is synthesized as a pro-peptide containing an N-terminal region that must be removed by proteolytic processing to generate the active cytokine. Its mature form is secreted into extracellular spaces, where it binds to interleukin 1 receptors and activates downstream signaling cascades. Zebrafish il1b maps to chromosome 19, with regulatory elements allowing rapid transcriptional upregulation in response to injury and immune activation. Co-localization studies often detect Il1b in macrophages and neutrophils at wound margins, infection sites, or inflamed tissues, frequently overlapping with markers of innate immune activation such as mpo, mpeg1.1, or tnfa.

A Zebrafish IL1B antibody is suitable for detecting Il1b in studies focused on inflammation, innate immune signaling, host-pathogen interactions, and tissue injury responses in Danio rerio. Its secreted and pericellular distribution provides insight into cytokine-driven communication networks that coordinate immune cell behavior. Researchers utilize Il1b expression patterns to investigate the timing of inflammatory signaling, assess immune dysregulation, characterize mutant immune phenotypes, and evaluate responses to environmental or chemical stressors. These features make this antibody a valuable tool for research in vertebrate immunology, inflammatory biology, and developmental immune system function, and it is supplied for research use by NSJ Bioreagents.

This Zebrafish antibody is part of a broader Zebrafish / Danio rerio antibody panel offered by NSJ Bioreagents.

Application Notes

Optimal dilution of the Zebrafish Il1b / Interleukin 1 beta antibody should be determined by the researcher.

Immunogen

E. coli-derived zebrafish Il-1 beta recombinant protein (amino acids M1-I284) was used as the immunogen for the Zebrafish Il1b / Interleukin 1 beta antibody.

Storage

After reconstitution, the Zebrafish Il1b / Interleukin 1 beta antibody can be stored for up to one month at 4oC. For long-term, aliquot and store at -20oC. Avoid repeated freezing and thawing.

Cross
Bulk Quote Request Form
Name*:
Organization*:
Email*:
Phone Number*:
Catalog No.*:
Comments and Specifics(amount, formulation, etc.)*:
Validation code: Captchapackage Image


Can't read the image? click here to refresh.
    *required field

Your bulk quote request has been submitted successfully!

Please contact us if you have any questions.