• Tel: 858.663.9055
  • SeparatorEmail: info@nsjbio.com
  • Tel: 858.663.9055
  • Email: info@nsjbio.com
Home >> Antibodies >> Zebrafish Hsp60 Antibody / Hspd1

Zebrafish Hsp60 Antibody / Hspd1 (RZ1163)

  Catalog No Formulation Size Price (USD)  
Image RZ1163 0.5mg/ml if reconstituted with 0.2ml sterile DI water 100 ug 539
Bulk quote request
Zebrafish Hsp60 Antibody Embryo Tissue WB. Western blot testing of zebrafish embryo tissue lysate with Zebrafish Hsp60 antibody. Predicted molecular weight ~61 kDa.
Zebrafish Hsp60 Antibody Embryo Tissue IF. Immunofluorescent analysis of Hsp60/Hspd1 protein using Zebrafish Hsp60 antibody (green) and DAPI nuclear stain (blue) with zebrafish embryo tissue.
Zebrafish Hsp60 Antibody Heart Tissue IHC. Immunohistochemistry staining of FFPE zebrafish heart tissue with Zebrafish Hsp60 antibody, HRP secondary and DAB substrate. HIER: boil tissue sections in pH8 EDTA for 20 min and allow to cool before testing.
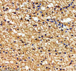
Zebrafish Hsp60 Antibody Liver Tissue IHC. Immunohistochemistry staining of FFPE zebrafish liver tissue with Zebrafish Hsp60 antibody, HRP secondary and DAB substrate. HIER: boil tissue sections in pH8 EDTA for 20 min and allow to cool before testing.
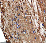
Zebrafish Hsp60 Antibody Spinal Cord Tissue IHC. Immunohistochemistry staining of FFPE zebrafish spinal cord tissue with Zebrafish Hsp60 antibody, HRP secondary and DAB substrate. HIER: boil tissue sections in pH8 EDTA for 20 min and allow to cool before testing.
Zebrafish Hsp60 Antibody Kidney Tissue IHC. Immunohistochemistry IHC staining of FFPE zebrafish kidney tissue with Zebrafish Hsp60 antibody, HRP secondary and DAB substrate. HIER: boil tissue sections in pH8 EDTA for 20 min and allow to cool before testing.
Availability 2-3 weeks
Species Reactivity Zebrafish
Format Antigen affinity purified
Host Rabbit
Clonality Polyclonal (rabbit origin)
Isotype Rabbit Ig
Purity Antigen affinity chromatography
Buffer Lyophilized from 1X PBS with 2% Trehalose
UniProt Q803B0
Localization Cytoplasm
Applications Western Blot : 0.5-1 ug/ml
Immunohistochemistry (FFPE) : 2-5 ug/ml
Immunofluorescence : 5 ug/ml
Limitations This Zebrafish Hsp60 antibody is available for research use only.
Review this product on BioCompare and get a $20 Amazon gift card

Related Products

  • Applications : WB, IHC-P
    Reactivity : Human
    Recmousemono
    Microvalidated
  • Applications : WB, IHC-P
    Reactivity : Human, Dog
    Recrabbitmono
  • Applications : IF, WB, IHC-P
    Reactivity : Human
    Microvalidated
  • Applications : FACS, IF, WB, IHC-P
    Reactivity : Human, Mouse, Rat
    Citation  Citations(8)
  • Applications : IF, WB, IHC-P
    Reactivity : Human
    Citation  Citations(9)
  • Applications : WB, IF, IHC-P
    Reactivity : Human
  • Applications : IF, IHC-P
    Reactivity : Human
  • Applications : IF, WB, IHC-P
    Reactivity : Human
    Citation  Citations(1)
  • Applications : IF, WB, IHC-P
    Reactivity : Human
  • Applications : WB
    Reactivity : Human
    Rab Mono Image
  • Applications : FACS, IF, WB, IHC-P
    Reactivity : Human
  • Applications : WB
    Reactivity : Human
  • Applications : WB, IHC-P
    Reactivity : Human
  • Applications : WB, IHC-P, IF, ICC, FACS
    Reactivity : Human, Mouse, Rat
  • Applications : WB, IHC-P, ICC, IF, FACS
    Reactivity : Human, Mouse, Rat
  • Applications : WB, IHC, ELISA
    Reactivity : Human, Mouse
  • Applications : WB, IHC-P, IF, ELISA (peptide)
    Reactivity : Human, Pig, Rat
    Pred. Reactivity : Cow, Dog

Description

Zebrafish (Danio rerio) Hsp60 antibody detects Hsp60, a highly conserved mitochondrial chaperonin essential for proper protein folding, mitochondrial biogenesis, and cellular stress resilience. Encoded in zebrafish by the hspd1 gene, Hsp60 functions within the mitochondrial matrix where it assists in the folding, refolding, or stabilization of proteins imported from the cytosol. As a key member of the heat shock protein family, Hsp60 supports proteostasis under both basal and stress-induced conditions. Because mitochondrial performance is central to vertebrate development, metabolism, and survival, Zebrafish Hsp60 antibody reagents support research in protein quality control, mitochondrial physiology, stress signaling, and developmental bioenergetics.

Hsp60 forms a barrel-shaped oligomeric complex that provides an isolated environment for protein folding. Working in conjunction with its co-chaperonin Hsp10, Hsp60 facilitates ATP-dependent conformational cycling that allows unfolded or misfolded substrates to achieve native structure. In zebrafish embryos, hspd1 expression is enriched in tissues with high mitochondrial content or metabolic rates, including skeletal muscle, heart, brain, and rapidly proliferating organ primordia. These tissues rely on efficient chaperonin activity to maintain mitochondrial proteome integrity during periods of growth and differentiation.

During development, mitochondrial proteins face increased folding demands due to rapid organogenesis, elevated biosynthetic activity, and dynamic metabolic shifts. Hsp60 assists in the assembly and stabilization of metabolic enzymes, respiratory chain components, and mitochondrial ribosomal proteins. Disruption of hspd1 impairs mitochondrial function, reduces ATP output, and can lead to widespread developmental abnormalities. Zebrafish offer a powerful model for examining how Hsp60-mediated quality control contributes to organ development, metabolic adaptation, and tissue-specific mitochondrial biology.

Hspd1 is also central to cellular stress responses. Under heat shock, oxidative stress, or metabolic perturbation, misfolded proteins accumulate within mitochondria, triggering compensatory upregulation of Hsp60. This response protects cells from proteotoxicity by restoring proteostasis and preserving mitochondrial membrane potential. In zebrafish, Hsp60 upregulation occurs during environmental stress, developmental transitions, and disease-model conditions, making it a valuable marker for mitochondrial stress and adaptive proteostasis pathways.

Beyond its mitochondrial roles, Hsp60 has been implicated in cytosolic and extracellular signaling in several vertebrate systems. While primarily localized to mitochondria, Hsp60 can influence apoptosis, immune activation, and cellular communication depending on context. Although these functions are less explored in zebrafish, the conservation of Hspd1 suggests similar regulatory potential.

At the molecular level, Hsp60 consists of equatorial, intermediate, and apical domains that mediate ATP binding, oligomer assembly, and substrate encapsulation. The chaperonin undergoes ATP-driven conformational changes that regulate substrate engagement and release. These dynamic features allow Hsp60 to accommodate a broad range of folding substrates required for mitochondrial maintenance and recovery from stress.

A Zebrafish Hsp60 antibody is suitable for research applications such as western blotting, immunohistochemistry, and assays examining mitochondrial protein folding, stress responses, and organ development. This antibody targets Hsp60 for studies involving proteostasis, metabolic regulation, and mitochondrial quality-control mechanisms. NSJ Bioreagents provides the Zebrafish Hsp60 antibody to support research in mitochondrial biology and developmental physiology.

This Zebrafish antibody is part of a broader Zebrafish / Danio rerio antibody panel offered by NSJ Bioreagents.

Application Notes

Optimal dilution of the Zebrafish Hsp60 antibody should be determined by the researcher.

Immunogen

An E.coli-derived zebrafish HSP60/HSPD1 recombinant protein (amino acids K72-Q496) was used as the immunogen for the Zebrafish Hsp60 antibody.

Storage

After reconstitution, the Zebrafish Hsp60 antibody can be stored for up to one month at 4oC. For long-term, aliquot and store at -20oC. Avoid repeated freezing and thawing.

Cross
Bulk Quote Request Form
Name*:
Organization*:
Email*:
Phone Number*:
Catalog No.*:
Comments and Specifics(amount, formulation, etc.)*:
Validation code: Captchapackage Image


Can't read the image? click here to refresh.
    *required field

Your bulk quote request has been submitted successfully!

Please contact us if you have any questions.