• Tel: 858.663.9055
  • SeparatorEmail: info@nsjbio.com
  • Tel: 858.663.9055
  • Email: info@nsjbio.com
Home >> Antibodies >> Zebrafish Hsd3b1 Antibody / 3-beta-hydroxysteroid dehydrogenase type 1

Zebrafish Hsd3b1 Antibody / 3-beta-hydroxysteroid dehydrogenase type 1 (RZ1198)

  Catalog No Formulation Size Price (USD)  
Image RZ1198 0.5mg/ml if reconstituted with 0.2ml sterile DI water 100 ug 539
Bulk quote request
Zebrafish Hsd3b1 Antibody Kidney Tissue IHC. Immunohistochemistry staining of FFPE zebrafish kidney tissue with Zebrafish Hsd3b1 antibody, HRP-labeled secondary and DAB substrate. HIER: boil tissue sections in pH8 EDTA for 20 min and allow to cool before testing.
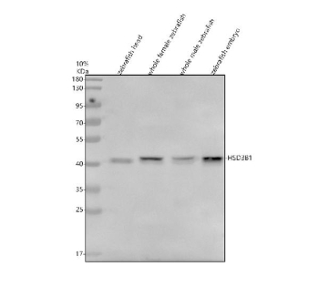
Zebrafish Hsd3b1 Antibody Tissue WB. Western blot analysis of Hsd3b1 protein using Zebrafish Hsd3b1 antibody and 1) zebrafish head, 2) whole female zebrafish, 3) whole male zebrafish and 4) zebrafish embryo tissue lysate. Predicted molecular weight ~42 kDa.
Zebrafish Hsd3b1 Antibody Brain Tissue IHC. Immunohistochemistry staining of FFPE zebrafish brain tissue with Zebrafish Hsd3b1 antibody, HRP-labeled secondary and DAB substrate. HIER: boil tissue sections in pH8 EDTA for 20 min and allow to cool before testing.
Availability 2-3 weeks
Species Reactivity Zebrafish
Format Antigen affinity purified
Host Rabbit
Clonality Polyclonal (rabbit origin)
Isotype Rabbit Ig
Purity Antigen affinity chromatography
Buffer Lyophilized from 1X PBS with 2% Trehalose
UniProt F1QSA2
Localization Cytoplasm
Applications Western Blot : 0.5-1ug/ml
Immunohistochemistry (FFPE) : 2-5ug/ml
Limitations This Zebrafish Hsd3b1 antibody is available for research use only.
Review this product on BioCompare and get a $20 Amazon gift card

Related Products

Description

Zebrafish Hsd3b1 antibody detects Hsd3b1, an essential enzyme in the steroidogenic pathway responsible for converting delta-5 steroids into delta-4 ketosteroids. This reaction represents a critical early step in the biosynthesis of progesterone, androgens, estrogens, and glucocorticoids. In zebrafish (Danio rerio), Hsd3b1 functions within steroid-producing tissues to regulate hormonal output required for development, reproduction, and stress physiology. Known in the literature as 3-beta-hydroxysteroid dehydrogenase type 1, Hsd3b1 plays conserved roles across vertebrates in coordinating endocrine signaling and maintaining steroid hormone balance. Because steroidogenesis governs processes from gonadal differentiation to stress adaptation, Zebrafish Hsd3b1 antibody reagents support research in endocrinology, developmental biology, and metabolic regulation.

During zebrafish development, hsd3b1 is expressed in interrenal tissue, gonads, brain regions associated with neuroendocrine control, and specific embryonic domains involved in steroid production. In developing embryos, Hsd3b1 activity influences cortisol synthesis, which in turn regulates stress-axis maturation and metabolic readiness. The interrenal gland in zebrafish, analogous to the mammalian adrenal cortex, depends on Hsd3b1 expression for proper steroidogenic function. In scientific literature, zebrafish proteins such as Hsd3b1 are frequently referenced using Danio rerio naming, and terms like Danio Hsd3b1 or Danio rerio Hsd3b1 appear interchangeably with zebrafish terminology.

3-beta-hydroxysteroid dehydrogenase type 1 is also a key driver of gonadal steroid production. In testes, Hsd3b1 supports androgen biosynthesis required for spermatogenesis and male sexual development. In ovaries, Hsd3b1 contributes to progesterone and estrogen pathways that regulate oocyte maturation, follicular development, and reproductive cycling. Disruption of hsd3b1 can impair steroid balance, alter reproductive outcomes, and affect sex differentiation in zebrafish, making it a critical enzyme for studying endocrine regulation.

Beyond reproductive roles, Hsd3b1 is involved in neural and behavioral processes influenced by steroid hormones. It contributes to neuroendocrine signaling and may influence stress-axis sensitivity, behavioral responses, and metabolic adjustments. In peripheral tissues, including liver and gill epithelium, Hsd3b1 participates in metabolic steroid processing relevant to environmental adaptation.

At the molecular and biochemical levels, Hsd3b1 catalyzes two sequential reactions: the oxidation of a 3-beta-hydroxyl group and the isomerization of a delta-5 double bond. These reactions occur in the endoplasmic reticulum and rely on cofactor interactions to support efficient steroid conversion. Subcellular localization and activity are regulated by developmental cues, nutritional state, environmental conditions, and endocrine feedback loops.

Zebrafish models offer valuable advantages for studying Hsd3b1 function, including transparent embryos, accessible tissue architecture, and sensitivity to steroidogenic disruption. Because endocrine-disrupting chemicals can affect Hsd3b1 expression or activity, zebrafish serve as an informative system for toxicology and environmental health research. Hsd3b1 also provides insights into the evolution of steroidogenic enzymes across vertebrates.

A Zebrafish Hsd3b1 antibody is suitable for research applications such as western blotting, immunohistochemistry, and assays examining steroidogenesis, endocrine signaling, reproductive development, and stress physiology. This antibody targets 3-beta-hydroxysteroid dehydrogenase type 1 for studies involving metabolic and hormonal regulation. NSJ Bioreagents provides the Zebrafish Hsd3b1 antibody to support research in endocrine and developmental biology.

This Zebrafish antibody is part of a broader Zebrafish / Danio rerio antibody panel offered by NSJ Bioreagents.

Application Notes

Optimal dilution of the Zebrafish Hsd3b1 antibody should be determined by the researcher.

Immunogen

E. coli-derived zebrafish Hsd3b1 recombinant protein (amino acids F16-K374) was used as the immunogen for the Zebrafish Hsd3b1 antibody.

Storage

After reconstitution, the Zebrafish Hsd3b1 antibody can be stored for up to one month at 4oC. For long-term, aliquot and store at -20oC. Avoid repeated freezing and thawing.

Cross
Bulk Quote Request Form
Name*:
Organization*:
Email*:
Phone Number*:
Catalog No.*:
Comments and Specifics(amount, formulation, etc.)*:
Validation code: Captchapackage Image


Can't read the image? click here to refresh.
    *required field

Your bulk quote request has been submitted successfully!

Please contact us if you have any questions.