• Tel: 858.663.9055
  • SeparatorEmail: info@nsjbio.com
  • Tel: 858.663.9055
  • Email: info@nsjbio.com
Home >> Antibodies >> Zebrafish Hook3 Antibody

Zebrafish Hook3 Antibody (RZ1135)

  Catalog No Formulation Size Price (USD)  
Image RZ1135 0.5mg/ml if reconstituted with 0.2ml sterile DI water 100 ug 539
Bulk quote request
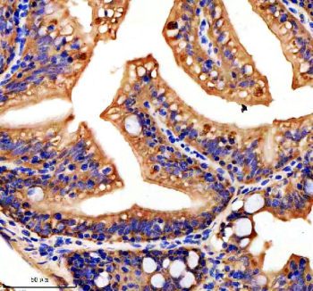
Immunohistochemical analysis of Hook3 protein using Zebrafish Hook3 antibody and paraffin-embedded zebrafish colon tissue. HIER: boil tissue sections in pH8 EDTA for 20 min and allow to cool before testing.
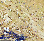
Immunohistochemical analysis of Hook3 protein using Zebrafish Hook3 antibody and paraffin-embedded zebrafish brain tissue. HIER: boil tissue sections in pH8 EDTA for 20 min and allow to cool before testing.
Immunohistochemical analysis of Hook3 protein using Zebrafish Hook3 antibody and paraffin-embedded zebrafish pancreas tissue. HIER: boil tissue sections in pH8 EDTA for 20 min and allow to cool before testing.
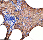
Immunohistochemical analysis of Hook3 protein using Zebrafish Hook3 antibody and paraffin-embedded zebrafish kidney tissue. HIER: boil tissue sections in pH8 EDTA for 20 min and allow to cool before testing.
Availability 2-3 weeks
Species Reactivity Zebrafish
Format Antigen affinity purified
Clonality Polyclonal (rabbit origin)
Isotype Rabbit Ig
Purity Antigen affinity chromatography
Buffer Lyophilized from 1X PBS with 2% Trehalose
UniProt A0A8M6Z0P5
Applications Immunohistochemistry (FFPE) : 2-5 ug/ml
Limitations This Zebrafish Hook3 antibody is available for research use only.
Review this product on BioCompare and get a $20 Amazon gift card

Related Products

  • Applications : WB, IHC-P, FACS, IF, Direct ELISA
    Reactivity : Human, Mouse, Rat

Description

Zebrafish (Danio rerio) Hook3 antibody detects Hook3, a conserved microtubule-binding and vesicle-tethering protein involved in endosomal transport, organelle positioning, and intracellular trafficking. In zebrafish, the hook3 gene encodes a coiled-coil adaptor protein that links cargo-containing vesicles to the cytoskeleton, playing a key role in dynein-mediated minus-end transport. Hook proteins contribute to the organization of early endosomes, the movement of cargo toward the microtubule-organizing center, and the assembly of protein complexes that regulate endolysosomal maturation. Because these transport systems are critical for developmental signaling and cellular homeostasis, Zebrafish Hook3 antibody reagents support research in vesicular trafficking, neurodevelopment, and organelle dynamics.

Hook3 functions as part of the FHF complex (Fused Toes, Hook proteins, and FTS) and acts as a scaffold between endosomal membranes and the dynein-dynactin motor machinery. Through its N-terminal microtubule-binding domain and C-terminal cargo-binding region, Hook3 positions early endosomes along microtubules and coordinates their movement toward the perinuclear region. In zebrafish embryos, hook3 is expressed in neural lineages, epithelial tissues, somites, and developing organs that depend heavily on endosomal transport for signaling and morphogenesis. Proper Hook3 activity ensures that receptors and signaling molecules are trafficked efficiently, supporting precise developmental patterning.

Endosomal trafficking mediated by Hook3 influences multiple signaling pathways, including those regulated by Wnt, Notch, and receptor tyrosine kinases. These pathways rely on endosome maturation, receptor recycling, or degradation, and Hook3 plays a central role in organizing the endosomal compartments that determine signal duration and intensity. In zebrafish, impairment of hook3 function can lead to defects in neuronal differentiation, alterations in epithelial polarity, or disruptions in organ formation due to misregulated receptor trafficking.

In addition to its transport functions, Hook3 contributes to Golgi positioning and maintains perinuclear organelle architecture. Studies in vertebrate models show that Hook3 interacts with Golgi-associated proteins and participates in centrosome organization. These functions help establish intracellular polarity, especially in migrating cells or developing neurons. Because zebrafish embryos undergo extensive cell movement and rapid morphogenetic rearrangements, Hook3-dependent coordination of organelle positioning is particularly important during early development.

At the molecular level, Hook3 forms elongated dimers capable of binding both microtubules and vesicular membranes, creating a physical bridge that facilitates cargo movement. It interacts with dynein light intermediate chains, dynactin components, and endosomal markers such as Rab5. These partnerships enable Hook3 to regulate the rate and directionality of vesicle transport. Subcellular localization of Hook3 is enriched at early endosomes, the centrosome, and microtubule tracks, consistent with its roles in vesicle tethering and organelle organization.

Zebrafish provide a strong platform for visualizing Hook3 activity in vivo, especially within developing neural circuits and epithelial layers. Live-imaging studies highlight the dependence of axonal transport, synaptic vesicle trafficking, and organelle positioning on Hook family proteins. The conservation of Hook3 structure and function across vertebrates makes zebrafish an effective model for studying diseases associated with endosomal dysfunction, including neurodevelopmental and degenerative disorders.

A Zebrafish Hook3 antibody is suitable for research applications such as western blotting, immunohistochemistry, and assays investigating vesicle transport, endosomal organization, and intracellular trafficking. This antibody targets Hook3 for studies of cytoskeletal dynamics, motor protein regulation, and vertebrate developmental pathways. NSJ Bioreagents provides the Zebrafish Hook3 antibody to support research in membrane trafficking and cellular organization.

Application Notes

Optimal dilution of the Zebrafish Hook3 antibody should be determined by the researcher.

Immunogen

An E.coli-derived zebrafish Hook3 recombinant protein (amino acids E14-R198) was used as the immunogen for the Zebrafish Hook3 antibody.

Storage

After reconstitution, the Zebrafish Hook3 antibody can be stored for up to one month at 4oC. For long-term, aliquot and store at -20oC. Avoid repeated freezing and thawing.

Cross
Bulk Quote Request Form
Name*:
Organization*:
Email*:
Phone Number*:
Catalog No.*:
Comments and Specifics(amount, formulation, etc.)*:
Validation code: Captchapackage Image


Can't read the image? click here to refresh.
    *required field

Your bulk quote request has been submitted successfully!

Please contact us if you have any questions.