• Tel: 858.663.9055
  • SeparatorEmail: info@nsjbio.com
  • Tel: 858.663.9055
  • Email: info@nsjbio.com
Home >> Antibodies >> Zebrafish Hnrnpd Antibody

Zebrafish Hnrnpd Antibody (RZ1021)

  Catalog No Formulation Size Price (USD)  
Image RZ1021 0.5mg/ml if reconstituted with 0.2ml sterile DI water 100 ug 539
Bulk quote request
Zebrafish Hnrnpd Antibody WB. Western blot testing of zebrafish embryo lysate with Zebrafish Hnrnpd antibody. Predicted molecular weight ~35 kDa.
Zebrafish Hnrnpd Antibody Embryo IF. Immunofluorescent analysis of Hnrnpd protein using Zebrafish Hnrnpd antibody (green) and zebrafish embryo tissue. HIER: boil tissue sections in pH8 EDTA for 20 min and allow to cool before testing.
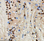
Zebrafish Hnrnpd Antibody Brain IHC. Immunohistochemistry staining of FFPE zebrafish brain tissue with Zebrafish Hnrnpd antibody. HIER: boil tissue sections in pH8 EDTA for 20 min and allow to cool before testing.
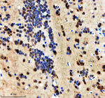
Zebrafish Hnrnpd Antibody Cerebellum IHC. Immunohistochemistry staining of FFPE zebrafish cerebellum tissue with Zebrafish Hnrnpd antibody. HIER: boil tissue sections in pH8 EDTA for 20 min and allow to cool before testing.
Zebrafish Hnrnpd Antibody Heart IHC. Immunohistochemistry staining of FFPE zebrafish heart tissue with Zebrafish Hnrnpd antibody. HIER: boil tissue sections in pH8 EDTA for 20 min and allow to cool before testing.
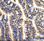
Zebrafish Hnrnpd Antibody Colon IHC. Immunohistochemistry staining of FFPE zebrafish colon tissue with Zebrafish Hnrnpd antibody. HIER: boil tissue sections in pH8 EDTA for 20 min and allow to cool before testing.
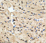
Zebrafish Hnrnpd Antibody Muscle IHC. Immunohistochemistry staining of FFPE zebrafish muscle tissue with Zebrafish Hnrnpd antibody. HIER: boil tissue sections in pH8 EDTA for 20 min and allow to cool before testing.
Availability 2-3 weeks
Species Reactivity Zebrafish
Format Antigen affinity purified
Host Rabbit
Clonality Polyclonal (rabbit origin)
Isotype Rabbit Ig
Purity Antigen affinity chromatography
Buffer Lyophilized from 1X PBS with 2% Trehalose
UniProt A0A8M9QC46
Localization Cytoplasm, Nucleus
Applications Western Blot : 0.5-1 ug/ml
Immunohistochemistry (FFPE) : 2-5 ug/ml
Immunofluorescence : 5 ug/ml
Limitations This Zebrafish Hnrnpd antibody is available for research use only.
Review this product on BioCompare and get a $20 Amazon gift card

Related Products

Description

Zebrafish (Danio rerio) Hnrnpd antibody recognizes heterogeneous nuclear ribonucleoprotein D, a conserved RNA binding protein encoded by the zebrafish hnrnpd gene on chromosome 9. Hnrnpd belongs to the hnRNP family of RNA regulatory proteins that govern mRNA stability, processing, transport, and translational control. Also known as AU rich element binding protein 1, Hnrnpd binds sequences in the 3 prime untranslated regions of target transcripts to modulate their degradation rates and expression levels. In Danio rerio, Hnrnpd is expressed during early embryogenesis and is enriched in neural progenitors, somites, hematopoietic precursors, and early endodermal tissues where rapid transcript turnover supports developmental gene expression programs. Subcellular localization includes the nucleus, cytoplasm, stress granules, and processing bodies, reflecting its role in dynamic RNA regulation.

Heterogeneous nuclear ribonucleoprotein D plays a central role in controlling mRNA decay by binding AU rich elements within unstable transcripts involved in differentiation, inflammation, and cell cycle control. In zebrafish embryos, Hnrnpd regulates the timing and amplitude of gene expression programs required for morphogenesis, tissue patterning, and neural development. By influencing transcript stability, Hnrnpd helps coordinate cell fate transitions and ensures proper progression through developmental milestones. Hnrnpd also contributes to alternative splicing, mRNA export, and translational regulation, placing it at the intersection of several post transcriptional pathways.

Developmental studies indicate that Hnrnpd function is essential for processes dependent on rapid RNA remodeling. In neural tissues, Hnrnpd influences the stability of transcripts involved in axon growth, synaptic development, and neuronal differentiation. In somites and muscle precursors, it regulates RNA turnover required for myogenic progression and metabolic adaptation. Hnrnpd also contributes to hematopoiesis by controlling inflammatory and cytokine-response transcripts that shape early immune cell development. Because zebrafish embryos rely on finely tuned mRNA decay to manage rapid developmental transitions, Hnrnpd is a key regulator of transcriptome flexibility.

Hnrnpd participates in stress response pathways that influence RNA granule formation, mRNA triage, and translational suppression. Under environmental or metabolic stress, Hnrnpd redistributes to stress granules where it protects, stores, or represses selected transcripts. These processes support developmental resilience and allow embryonic tissues to adjust to fluctuations in nutrient availability, temperature, or chemical exposure. Dysregulation of Hnrnpd or related hnRNPs can lead to defects in neural patterning, impaired tissue growth, and aberrant inflammatory responses in vertebrate systems.

At the molecular level, heterogeneous nuclear ribonucleoprotein D contains multiple RNA binding domains and intrinsically disordered regions that support flexible interactions with RNA and protein partners. Hnrnpd influences mRNA decay through competition with stabilizing proteins, recruitment of deadenylation machinery, and modulation of transcript access to decay complexes. Isoform variation may arise through alternative splicing and could reflect tissue-specific regulatory roles during zebrafish development. Hnrnpd interfaces with signaling pathways such as FGF, Wnt, and cytokine networks by shaping the post transcriptional fate of their downstream transcripts.

This Zebrafish Hnrnpd antibody is suitable for detecting heterogeneous nuclear ribonucleoprotein D in research focused on RNA stability, AU rich element mediated decay, neural development, stress granule biology, and embryonic patterning in zebrafish. It supports studies examining post transcriptional regulation, RNA-binding protein interactions, and developmental phenotypes arising from disrupted mRNA turnover. NSJ Bioreagents provides this reagent within its zebrafish and RNA biology antibody collection.

This Zebrafish antibody is part of a broader Zebrafish / Danio rerio antibody panel offered by NSJ Bioreagents.

Application Notes

Optimal dilution of the Zebrafish Hnrnpd antibody should be determined by the researcher.

Immunogen

An E.coli-derived zebrafish Hnrnpd recombinant protein (amino acids K43-N203) was used as the immunogen for the Zebrafish Hnrnpd antibody.

Storage

After reconstitution, the Zebrafish Hnrnpd antibody can be stored for up to one month at 4oC. For long-term, aliquot and store at -20oC. Avoid repeated freezing and thawing.

Cross
Bulk Quote Request Form
Name*:
Organization*:
Email*:
Phone Number*:
Catalog No.*:
Comments and Specifics(amount, formulation, etc.)*:
Validation code: Captchapackage Image


Can't read the image? click here to refresh.
    *required field

Your bulk quote request has been submitted successfully!

Please contact us if you have any questions.