• Tel: 858.663.9055
  • SeparatorEmail: info@nsjbio.com
  • Tel: 858.663.9055
  • Email: info@nsjbio.com
Home >> Antibodies >> Zebrafish Hnrnpa1 Antibody / Isoforms a & b

Zebrafish Hnrnpa1 Antibody / Isoforms a & b (RZ1018)

  Catalog No Formulation Size Price (USD)  
Image RZ1018 0.5mg/ml if reconstituted with 0.2ml sterile DI water 100 ug 539
Bulk quote request
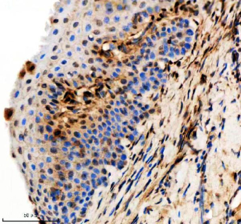
Zebrafish Hnrnpa1 Antibody Colon IHC. Immunohistochemical analysis of Hnrnpa1a/b protein using Zebrafish Hnrnpa1 antibody and paraffin-embedded zebrafish colon tissue. HIER: boil tissue sections in pH8 EDTA for 20 min and allow to cool before testing.
Zebrafish Hnrnpa1 Antibody Brain IHC. Immunohistochemical analysis of Hnrnpa1a/b protein using Zebrafish Hnrnpa1 antibody and paraffin-embedded zebrafish brain tissue. HIER: boil tissue sections in pH8 EDTA for 20 min and allow to cool before testing.
Zebrafish Hnrnpa1 Antibody Esophagus IHC. Immunohistochemical analysis of Hnrnpa1a/b protein using Zebrafish Hnrnpa1 antibody and paraffin-embedded zebrafish esophagus tissue. HIER: boil tissue sections in pH8 EDTA for 20 min and allow to cool before testing.
Availability 2-3 weeks
Species Reactivity Zebrafish
Format Antigen affinity purified
Host Rabbit
Clonality Polyclonal (rabbit origin)
Isotype Rabbit Ig
Purity Antigen affinity chromatography
Buffer Lyophilized from 1X PBS with 2% Trehalose
UniProt Q7SXQ3 , Q803K3
Applications Immunohistochemistry (FFPE) : 2-5 ug/ml
Limitations This Zebrafish Hnrnpa1 antibody is available for research use only.
Review this product on BioCompare and get a $20 Amazon gift card

Related Products

Description

Zebrafish (Danio rerio) Hnrnpa1 antibody recognizes heterogeneous nuclear ribonucleoprotein A1, a highly conserved RNA binding protein encoded in Danio rerio by duplicated hnrnpa1a and hnrnpa1b genes. This antibody detects both the A and B isoforms, which share extensive sequence identity and perform overlapping functions in RNA processing. Hnrnpa1 proteins are core components of heterogeneous nuclear ribonucleoprotein complexes that regulate pre-mRNA splicing, mRNA stability, nuclear export, and translational control. In zebrafish, Hnrnpa1 isoforms are expressed early in embryogenesis and are strongly enriched in proliferative and differentiating tissues such as the developing brain, spinal cord, somites, and endodermal derivatives. Subcellular localization includes the nucleus, nucleoplasm, and RNA granules, with dynamic redistribution to cytoplasmic ribonucleoprotein particles during development and stress.

Hnrnpa1 A/B isoforms are central regulators of RNA metabolism. They bind to specific RNA motifs to influence exon inclusion, splice site selection, and alternative splicing decisions critical for tissue-specific gene expression. In zebrafish embryos, Hnrnpa1 activity is required for the correct processing of transcripts involved in neurogenesis, somitogenesis, muscle formation, and axis patterning. By modulating mRNA maturation and export, Hnrnpa1 helps coordinate gene expression programs during rapid cellular division, tissue morphogenesis, and early organ formation.

Beyond splicing, Zebrafish Hnrnpa1 isoforms participate in mRNA transport, stress granule assembly, and translational regulation. During cellular stress or environmental perturbation, Hnrnpa1 relocalizes to the cytoplasm where it contributes to stress granule formation and mRNA triage. In developing neurons, Hnrnpa1 regulates localization and translation of transcripts important for axonal growth, synaptic maturation, and neural circuit formation. In mesodermal and muscle tissues, Hnrnpa1 influences the maturation of transcripts required for myofibril organization and metabolic adaptation.

Developmental studies indicate that both hnrnpa1a and hnrnpa1b isoforms are essential for maintaining RNA homeostasis. Disruption of Hnrnpa1 function in zebrafish results in splicing abnormalities, impaired neurodevelopment, defective muscle formation, and altered embryonic patterning. Because RNA binding proteins regulate broad networks, changes in Hnrnpa1 function can have wide-ranging impacts on signaling pathways such as FGF, Wnt, and Notch. Hnrnpa1 is also relevant in zebrafish models of stress responses, where altered mRNA stability and granule dynamics influence developmental resilience and sensitivity to environmental toxins.

At the molecular level, Hnrnpa1 contains two RNA recognition motifs and a glycine-rich domain that mediate sequence-specific RNA binding and interactions with other RNP components. Isoform differences between A and B variants likely reflect regulatory divergence in expression timing or tissue specificity, although their fundamental biochemical roles remain conserved. Hnrnpa1 proteins interact with chromatin regulatory complexes, export machinery, and translational regulators, linking nuclear mRNA processing to cytoplasmic gene expression control. Their activity influences transcriptome plasticity, enabling zebrafish embryos to rapidly adjust RNA networks during developmental transitions.

This Zebrafish Hnrnpa1 antibody is suitable for detecting both A and B isoforms in research focused on RNA processing, alternative splicing, mRNA transport, neural development, stress granule biology, and embryonic patterning in zebrafish. It supports studies examining post transcriptional gene regulation, RNA-binding protein networks, and developmental phenotypes arising from perturbed RNA metabolism. NSJ Bioreagents provides this reagent within its zebrafish and RNA biology antibody portfolio.

This Zebrafish antibody is part of a broader Zebrafish / Danio rerio antibody panel offered by NSJ Bioreagents.

Application Notes

Optimal dilution of the Zebrafish Hnrnpa1 antibody should be determined by the researcher.

Immunogen

An E.coli-derived zebrafish Hnrnpa1a/b recombinant protein (amino acids E10-D43) was used as the immunogen for the Zebrafish Hnrnpa1 antibody. This antibody will detect the a and b isoforms.

Storage

After reconstitution, the Zebrafish Hnrnpa1 antibody can be stored for up to one month at 4oC. For long-term, aliquot and store at -20oC. Avoid repeated freezing and thawing.

Cross
Bulk Quote Request Form
Name*:
Organization*:
Email*:
Phone Number*:
Catalog No.*:
Comments and Specifics(amount, formulation, etc.)*:
Validation code: Captchapackage Image


Can't read the image? click here to refresh.
    *required field

Your bulk quote request has been submitted successfully!

Please contact us if you have any questions.