• Tel: 858.663.9055
  • SeparatorEmail: info@nsjbio.com
  • Tel: 858.663.9055
  • Email: info@nsjbio.com
Home >> Antibodies >> Zebrafish Hmox1a Antibody / Hmox1 / Heme oxygenase

Zebrafish Hmox1a Antibody / Hmox1 / Heme oxygenase (RZ1193)

  Catalog No Formulation Size Price (USD)  
Image RZ1193 0.5mg/ml if reconstituted with 0.2ml sterile DI water 100 ug 539
Bulk quote request
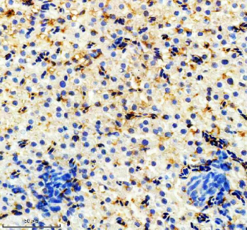
Zebrafish Hmox1a / Hmox1 Antibody Liver Tissue IHC. Immunohistochemistry staining of FFPE zebrafish liver tissue with Zebrafish Hmox1a antibody, HRP-labeled secondary and DAB substrate. HIER: boil tissue sections in pH8 EDTA for 20 min and allow to cool before testing.
Zebrafish Hmox1a Antibody Tissue WB. Western blot analysis of Hmox1a protein using Zebrafish Hmox1a antibody and 1) zebrafish head, 2) whole female zebrafish, 3) whole male zebrafish and 4) zebrafish embryo tissue lysate. Predicted molecular weight ~30 kDa.
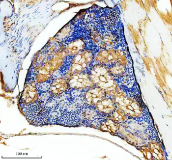
Zebrafish Hmox1a / Hmox1 Antibody Kidney Tissue IHC. Immunohistochemistry staining of FFPE zebrafish kidney tissue with Zebrafish Hmox1a antibody, HRP-labeled secondary and DAB substrate. HIER: boil tissue sections in pH8 EDTA for 20 min and allow to cool before testing.
Availability 2-3 weeks
Species Reactivity Zebrafish
Format Antigen affinity purified
Host Rabbit
Clonality Polyclonal (rabbit origin)
Isotype Rabbit Ig
Purity Antigen affinity chromatography
Buffer Lyophilized from 1X PBS with 2% Trehalose
UniProt B0UXS0
Localization Cytoplasm (ER)
Applications Western Blot : 0.5-1ug/ml
Immunohistochemistry (FFPE) : 2-5ug/ml
Limitations This Zebrafish Hmox1a antibody is available for research use only.
Review this product on BioCompare and get a $20 Amazon gift card

Related Products

Description

Zebrafish Hmox1a antibody detects Hmox1a, an enzyme that catalyzes the oxygen-dependent degradation of heme into biliverdin, carbon monoxide, and free iron. In zebrafish (Danio rerio), Hmox1a represents one of the functional heme oxygenase paralogs responsible for regulating oxidative stress responses, iron recycling, redox balance, and protection against cellular injury. Closely related to Hmox1 and commonly referred to as Heme oxygenase, Hmox1a occupies a central position in maintaining metabolic and oxidative homeostasis. Because these protective mechanisms are deeply conserved in vertebrates, Zebrafish Hmox1a antibody reagents support research in toxicology, redox biology, inflammation, metabolism, and stress-response signaling.

During zebrafish development, hmox1a expression appears in tissues involved in iron turnover, including the liver, pronephric kidney, vascular endothelium, and macrophage-rich regions. Hmox1a contributes to iron recycling by enabling the breakdown of heme from damaged erythrocytes and is important for maintaining adequate iron levels for mitochondrial function, hemoglobin synthesis, and metabolic activity. Zebrafish proteins such as Hmox1a are commonly referenced in the literature using Danio rerio naming, and terms such as Danio Hmox1a or Danio rerio Hmox1a often appear interchangeably with zebrafish terminology.

As a stress-inducible enzyme, Heme oxygenase is strongly upregulated in response to oxidative stress, hypoxia, heavy metal exposure, UV irradiation, and inflammatory stimuli. Activation of hmox1a is part of a broader cytoprotective program that mitigates reactive oxygen species and prevents cellular damage. The biliverdin and bilirubin generated from heme degradation are themselves potent antioxidants, while carbon monoxide produced by Hmox enzymes exerts signaling effects that modulate vasodilation, inflammation, and apoptosis. For these reasons, Hmox1a is frequently studied as both a biomarker and mediator of cellular resilience.

Hmox1a also plays roles in embryonic and tissue-specific processes beyond oxidative defense. In zebrafish cardiovascular development, Hmox1a influences angiogenesis, endothelial stability, and vascular remodeling. In immune-related contexts, Hmox1a helps regulate macrophage activation, inflammatory responses, and innate immunity. Its involvement in metabolic pathways connects heme turnover with mitochondrial activity and iron homeostasis, linking stress responses to long-term tissue health.

At the molecular level, Hmox1a is localized to the endoplasmic reticulum membrane, where its catalytic activity depends on electron transfer from NADPH-cytochrome P450 reductase. Subcellular organization and transcriptional regulation are influenced by pathways including Nrf2, Bach1, MAPK, and HIF signaling. Hmox1a expression integrates environmental cues with intracellular redox states, ensuring appropriate responses to toxic or metabolic stressors.

Because zebrafish develop externally and are highly sensitive to oxidative and chemical perturbation, they serve as a powerful model for studying Hmox1a function in vivo. Fluorescent and genetic reporter systems allow visualization of stress-response activation, making zebrafish an important system for toxicology, environmental monitoring, and mechanistic redox biology.

A Zebrafish Hmox1a antibody is suitable for research applications such as western blotting, immunohistochemistry, and assays examining oxidative stress pathways, iron metabolism, inflammatory signaling, and cytoprotective responses. This antibody targets Heme oxygenase for studies involving metabolic regulation and vertebrate stress-response mechanisms. NSJ Bioreagents provides the Zebrafish Hmox1a antibody to support research in redox biology and cellular protection.

This Zebrafish antibody is part of a broader Zebrafish / Danio rerio antibody panel offered by NSJ Bioreagents.

Application Notes

Optimal dilution of the Zebrafish Hmox1a antibody should be determined by the researcher.

Immunogen

E. coli-derived zebrafish Hmox1a recombinant protein (amino acids M1-K244) was used as the immunogen for the Zebrafish Hmox1a antibody.

Storage

After reconstitution, the Zebrafish Hmox1a antibody can be stored for up to one month at 4oC. For long-term, aliquot and store at -20oC. Avoid repeated freezing and thawing.

Cross
Bulk Quote Request Form
Name*:
Organization*:
Email*:
Phone Number*:
Catalog No.*:
Comments and Specifics(amount, formulation, etc.)*:
Validation code: Captchapackage Image


Can't read the image? click here to refresh.
    *required field

Your bulk quote request has been submitted successfully!

Please contact us if you have any questions.