• Tel: 858.663.9055
  • SeparatorEmail: info@nsjbio.com
  • Tel: 858.663.9055
  • Email: info@nsjbio.com
Home >> Antibodies >> Zebrafish Histone H3 Antibody

Zebrafish Histone H3 Antibody (RZ1070)

  Catalog No Formulation Size Price (USD)  
Image RZ1070 0.5mg/ml if reconstituted with 0.2ml sterile DI water 100 ug 539
Bulk quote request
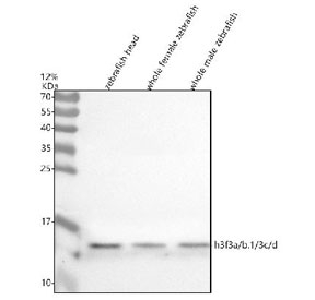
Zebrafish Histone H3 Antibody WB. Western blot analysis of Histone H3 protein using Zebrafish Histone H3 antibody and 1) zebrafish head, 2) whole female zebrafish and 3) whole male zebrafish tissue lysate. Predicted molecular weight ~15 kDa.
Zebrafish Histone H3 Antibody Embryo IF. Immunofluorescent analysis of Histone H3 protein using Zebrafish Histone H3 antibody (red) and zebrafish embryo tissue. HIER: boil tissue sections in pH8 EDTA for 20 min and allow to cool before testing.
Zebrafish Histone H3 Antibody Brain IHC. Immunohistochemistry staining of FFPE zebrafish brain tissue with Zebrafish Histone H3 antibody. HIER: boil tissue sections in pH8 EDTA for 20 min and allow to cool before testing.
Zebrafish Histone H3 Antibody Liver IHC. Immunohistochemistry staining of FFPE zebrafish liver tissue with Zebrafish Histone H3 antibody. HIER: boil tissue sections in pH8 EDTA for 20 min and allow to cool before testing.
Zebrafish Histone H3 Antibody Colon IHC. Immunohistochemistry staining of FFPE zebrafish colon tissue with Zebrafish Histone H3 antibody. HIER: boil tissue sections in pH8 EDTA for 20 min and allow to cool before testing.
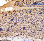
Zebrafish Histone H3 Antibody Muscle IHC. Immunohistochemistry staining of FFPE zebrafish muscle tissue with Zebrafish Histone H3 antibody. HIER: boil tissue sections in pH8 EDTA for 20 min and allow to cool before testing.
Availability 2-3 weeks
Species Reactivity Zebrafish
Format Antigen affinity purified
Host Rabbit
Clonality Polyclonal (rabbit origin)
Isotype Rabbit Ig
Purity Antigen affinity chromatography
Buffer Lyophilized from 1X PBS with 2% Trehalose
UniProt Q6PI20
Applications Western Blot : 0.5-1 ug/ml
Immunohistochemistry (FFPE) : 2-5 ug/ml
Immunofluorescence : 5 ug/ml
Limitations This Zebrafish Histone H3 antibody is available for research use only.
Review this product on BioCompare and get a $20 Amazon gift card

Related Products

Description

Zebrafish (Danio rerio) Histone H3 antibody recognizes the core nucleosomal protein Histone H3, a fundamental chromatin component encoded by several histone H3 gene variants in zebrafish. Histone H3 is essential for nucleosome assembly, chromatin compaction, and epigenetic regulation during transcription, DNA replication, and DNA repair. In Danio rerio embryos, histone H3 transcripts are abundant from early cleavage stages due to the rapid synthesis of chromatin required for successive cell cycles. With the onset of gastrulation and organogenesis, Histone H3 is widely expressed in developing brain, neural tube, somites, heart, vasculature, notochord, and endoderm-derived tissues including liver and pancreas. Subcellular localization is strictly nuclear, reflecting its central structural role in chromatin. This antibody is part of a broader collection of Histone H3 antibodies used as normalization and reference tools for chromatin and epigenetic studies.

Histone H3 supports genome organization during rapid cell division. Zebrafish embryos undergo extremely fast cell cycles before the mid-blastula transition, requiring robust nucleosome assembly to package newly replicated DNA. As differentiation progresses, histone H3 variants and post translational modifications contribute to the establishment of stable or dynamic chromatin states that guide tissue-specific gene expression. Methylation, acetylation, and phosphorylation of histone H3 are key epigenetic markers associated with developmental lineage commitment, cell identity, and transcriptional regulation.

Neural development is highly dependent on histone H3-mediated chromatin remodeling. Neural progenitors require precise control of gene expression programs that define neuroepithelial organization, proliferation, and differentiation. Histone H3 modifications regulate accessibility of transcriptional regulators and influence patterns of neuronal maturation. During later stages, chromatin remodeling continues to drive synaptic development, axon guidance, and neural circuit formation. Perturbation of histone H3 dynamics can alter neurogenesis or disrupt regional brain patterning.

Somite and skeletal muscle development also rely on histone H3-dependent epigenetic mechanisms. Myogenic differentiation requires regulated expression of transcription factors and structural genes controlled by chromatin accessibility. Histone H3 modifications help establish transcriptional states needed for segmentation, myotome formation, and early muscle fiber organization. Because muscle progenitors transition quickly from proliferative to differentiated states, histone-regulated chromatin structure is crucial for maintaining developmental precision.

Cardiac and vascular tissues depend on histone H3 regulation during morphogenesis. Cardiomyocytes require coordinated chromatin remodeling to support chamber formation, contractile protein synthesis, and metabolic maturation. In endothelial tissues, histone H3-mediated transcriptional programs guide angiogenic sprouting, lumen formation, and vascular remodeling. Epigenetic changes mediated through H3 modifications contribute to developmental responses to hemodynamic forces and metabolic demands.

Endodermal organogenesis also involves substantial chromatin reorganization. Developing liver and pancreas undergo major transcriptional transitions that depend on histone H3 modifications governing metabolic, endocrine, and structural gene expression. Proper histone H3 dynamics ensure that hepatocytes and pancreatic progenitors respond appropriately to developmental cues that direct lineage specification and organ maturation.

Because histone H3 is central to nucleosome structure and epigenetic control, its detection is widely used in studies of chromatin biology, cell proliferation, lineage progression, and transcriptional regulation. This Zebrafish Histone H3 antibody is suitable for research involving developmental chromatin dynamics, neural and muscle differentiation, cardiac and vascular development, and epigenetic regulation across zebrafish tissues. NSJ Bioreagents provides this reagent within its zebrafish and chromatin-regulation antibody collection.

This Zebrafish antibody is part of a broader Zebrafish / Danio rerio antibody panel offered by NSJ Bioreagents.

Application Notes

Optimal dilution of the Zebrafish Histone H3 antibody should be determined by the researcher.

Immunogen

An E.coli-derived zebrafish Histone H3 recombinant protein (amino acids Q56-R117) was used as the immunogen for the Zebrafish Histone H3 antibody.

Storage

After reconstitution, the Zebrafish Histone H3 antibody can be stored for up to one month at 4oC. For long-term, aliquot and store at -20oC. Avoid repeated freezing and thawing.

Cross
Bulk Quote Request Form
Name*:
Organization*:
Email*:
Phone Number*:
Catalog No.*:
Comments and Specifics(amount, formulation, etc.)*:
Validation code: Captchapackage Image


Can't read the image? click here to refresh.
    *required field

Your bulk quote request has been submitted successfully!

Please contact us if you have any questions.