• Tel: 858.663.9055
  • SeparatorEmail: info@nsjbio.com
  • Tel: 858.663.9055
  • Email: info@nsjbio.com
Home >> Antibodies >> Zebrafish Hdac1 Antibody / Histone deacetylase 1

Zebrafish Hdac1 Antibody / Histone deacetylase 1 (RZ1027)

  Catalog No Formulation Size Price (USD)  
Image RZ1027 0.5mg/ml if reconstituted with 0.2ml sterile DI water 100 ug 539
Bulk quote request
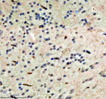
Immunohistochemical analysis of Hdac1 protein using Zebrafish Hdac1 antibody and paraffin-embedded zebrafish brain tissue. HIER: boil tissue sections in pH8 EDTA for 20 min and allow to cool before testing.
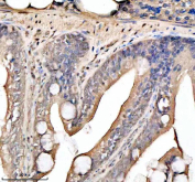
Immunohistochemical analysis of Hdac1 protein using Zebrafish Hdac1 antibody and paraffin-embedded zebrafish colon tissue. HIER: boil tissue sections in pH8 EDTA for 20 min and allow to cool before testing.
Availability 2-3 weeks
Species Reactivity Zebrafish
Format Antigen affinity purified
Host Rabbit
Clonality Polyclonal (rabbit origin)
Isotype Rabbit Ig
Purity Antigen affinity chromatography
Buffer Lyophilized from 1X PBS with 2% Trehalose
UniProt A0A2R8QIW0
Applications Immunohistochemistry (FFPE) : 2-5 ug/ml
Limitations This Zebrafish Hdac1 antibody is available for research use only.
Review this product on BioCompare and get a $20 Amazon gift card

Related Products

  • Applications : WB, ELISA
    Reactivity : Human
  • Applications : ELISA, FACS, IF
    Reactivity : Human
  • Applications : IF, WB, ELISA
    Reactivity : Human, Mouse, Rat
  • Applications : IF, WB, ELISA
    Reactivity : Human, Mouse, Rat
  • Applications : WB, IF, ELISA
    Reactivity : Human, Mouse
    Pred. Reactivity : Mouse
  • Applications : WB, ELISA (peptide)
    Reactivity : Human, Mouse
    Pred. Reactivity : Rat, Dog
  • Applications : WB, ELISA (peptide)
    Reactivity : Human, Mouse, Rat
    Pred. Reactivity : Cow, Pig
  • Applications : WB, IHC-P, FACS
    Reactivity : Human

Description

Zebrafish (Danio rerio) Hdac1 antibody recognizes Histone deacetylase 1, a conserved chromatin-modifying enzyme encoded by the zebrafish hdac1 gene on chromosome 19. Hdac1 belongs to the class I HDAC family and functions as a central regulator of chromatin compaction, transcriptional repression, and epigenetic patterning. Hdac1 removes acetyl groups from histone tails, promoting nucleosome condensation and reducing transcriptional accessibility at target loci. In Danio rerio, Hdac1 is expressed from the earliest stages of embryogenesis and is strongly enriched in neural progenitors, somites, craniofacial mesenchyme, developing heart, retinal tissue, and endodermal organs. Subcellular localization is predominantly nuclear, reflecting its core role in chromatin regulation, although Hdac1 also associates with transcriptional corepressor complexes in the cytoplasm during specific developmental transitions.

Histone deacetylase 1 participates in multiple epigenetic pathways that control lineage specification, cell cycle progression, and morphogen-dependent gene expression. In zebrafish, Hdac1 is required for neural tube formation, retinal development, forebrain patterning, craniofacial cartilage differentiation, and early heart morphogenesis. By regulating chromatin accessibility, Hdac1 influences gene networks controlled by Wnt, FGF, Hedgehog, and Notch signaling pathways. Loss of hdac1 function leads to severe developmental abnormalities such as disrupted brain patterning, retinal dysplasia, impaired somite organization, and altered craniofacial formation, highlighting its essential regulatory roles.

Hdac1 also contributes to progenitor cell maintenance and differentiation timing. In neural tissues, Hdac1 maintains proliferation of neuroepithelial cells while repressing premature differentiation. This balance is required for proper formation of brain ventricles, spinal cord patterning, and retinal layering. During craniofacial development, Hdac1 interacts with transcription factors and chromatin remodelers to regulate chondrogenic programs in neural crest-derived cells. Zebrafish embryos deficient in Hdac1 exhibit defects in jaw cartilage, pharyngeal arches, and palate structures due to impaired transcriptional control in cranial neural crest populations.

Beyond its developmental patterning functions, Hdac1 influences stress response pathways, cell survival, and metabolic regulation. In vertebrate systems, Hdac1 integrates environmental and intracellular cues by modulating transcriptional repression complexes responsive to stress, DNA damage, or metabolic imbalance. These mechanisms appear conserved in zebrafish, where Hdac1 is required for resilience during embryonic growth and for proper regulation of apoptosis in neural and mesodermal tissues. Isoform variation or differential post translational regulation may tune Hdac1 activity in tissue-specific contexts during zebrafish development.

Hdac1 functions as part of larger chromatin remodeling assemblies, including the NuRD complex, Sin3 complex, and CoREST complex. These multi-protein assemblies allow Hdac1 to coordinate repression of developmental genes, regulate enhancer accessibility, and refine transcriptional boundaries during morphogenesis. Hdac1 interaction with methyltransferases, DNA binding proteins, and transcriptional repressors provides a mechanistic link between histone deacetylation and broader epigenetic programming in early vertebrate development.

This Zebrafish Hdac1 antibody is suitable for detecting Histone deacetylase 1 in research focused on epigenetic regulation, chromatin remodeling, neural development, craniofacial biology, cardiac morphogenesis, and transcriptional control in zebrafish. It supports studies examining histone modification dynamics, repressor complex assembly, lineage specification, and developmental phenotypes arising from disrupted chromatin regulation. NSJ Bioreagents provides this reagent within its zebrafish and epigenetics-focused antibody collection.

Application Notes

Optimal dilution of the Zebrafish Hdac1 antibody should be determined by the researcher.

Immunogen

A synthetic peptide corresponding to a sequence in the middle region of zebrafish Hdac1 was used as the immunogen for the Zebrafish Hdac1 antibody.

Storage

After reconstitution, the Zebrafish Hdac1 antibody can be stored for up to one month at 4oC. For long-term, aliquot and store at -20oC. Avoid repeated freezing and thawing.

Cross
Bulk Quote Request Form
Name*:
Organization*:
Email*:
Phone Number*:
Catalog No.*:
Comments and Specifics(amount, formulation, etc.)*:
Validation code: Captchapackage Image


Can't read the image? click here to refresh.
    *required field

Your bulk quote request has been submitted successfully!

Please contact us if you have any questions.