• Tel: 858.663.9055
  • SeparatorEmail: info@nsjbio.com
  • Tel: 858.663.9055
  • Email: info@nsjbio.com
Home >> Antibodies >> Zebrafish Hbae1.1 Antibody / Hemoglobin alpha embryonic 1.1

Zebrafish Hbae1.1 Antibody / Hemoglobin alpha embryonic 1.1 (RZ1228)

  Catalog No Formulation Size Price (USD)  
Image RZ1228 0.5mg/ml if reconstituted with 0.2ml sterile DI water 100 ug 539
Bulk quote request
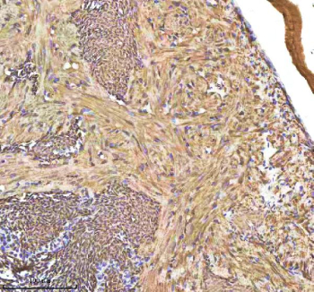
Zebrafish Hbae1.1 Antibody Heart Tissue IHC. Immunohistochemistry staining of FFPE zebrafish heart tissue with Hbae1.1 antibody, HRP-labeled secondary and DAB substrate. HIER: boil tissue sections in pH8 EDTA for 20 min and allow to cool before testing.
Zebrafish Hbae1.1 Antibody Tissue WB. Western blot analysis of Hbae1.1 protein using Zebrafish Hbae1.1 antibody and 1) zebrafish head, 2) whole female zebrafish, 3) whole male zebrafish and 4) zebrafish embryo tissue lysate. Predicted molecular weight ~16 kDa.
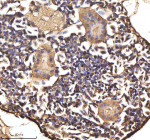
Zebrafish Hbae1.1 Antibody Kidney Tissue IHC. Immunohistochemistry staining of FFPE zebrafish kidney tissue with Hbae1.1 antibody, HRP-labeled secondary and DAB substrate. HIER: boil tissue sections in pH8 EDTA for 20 min and allow to cool before testing.
Availability 2-3 weeks
Species Reactivity Zebrafish
Format Antigen affinity purified
Host Rabbit
Clonality Polyclonal (rabbit origin)
Isotype Rabbit Ig
Purity Antigen affinity chromatography
Buffer Lyophilized from 1X PBS with 2% Trehalose
UniProt Q7ZT21
Localization Cytoplasm
Applications Western Blot : 0.5-1ug/ml
Immunohistochemistry (FFPE) : 2-5ug/ml
Limitations This Zebrafish Hbae1.1 antibody is available for research use only.
Review this product on BioCompare and get a $20 Amazon gift card

Related Products

Description

The Zebrafish Hbae1.1 antibody targets Hbae1.1, an embryonic hemoglobin alpha chain essential for early oxygen transport, erythroid maturation, and hematopoietic development in Danio rerio. Zebrafish, also known as Danio rerio, express hbae1.1 as one of the predominant alpha-globin genes during primitive erythropoiesis. Hbae1.1 is produced in large quantities by early erythroid cells that form within the intermediate cell mass and circulating blood islands. It localizes to the cytoplasm of developing red blood cells, where it partners with embryonic beta-globins to form functional hemoglobin tetramers that support oxygen delivery during rapid embryonic growth and organogenesis.

Hbae1.1 belongs to the conserved globin superfamily, which encodes heme-containing proteins responsible for oxygen binding, transport, and buffering. In zebrafish embryos, hbae1.1 expression is tightly regulated by erythroid-specific transcription factors, including gata1a, scl/tal1, and klf family regulators. These transcriptional networks initiate primitive erythropoiesis and define the lineage identity of early red blood cells. A Zebrafish Hbae1.1 antibody is suitable for research applications examining cytoplasmic expression in embryonic erythrocytes, tracking red blood cell development, or studying hemoglobin accumulation throughout early hematopoietic stages.

Functionally, Hbae1.1 enables the zebrafish embryo to meet increasing oxygen demands as cell numbers expand and tissues differentiate. Primitive erythropoiesis begins early, and Hbae1.1 synthesis supports circulatory oxygen transport well before definitive hematopoiesis is established. As the circulatory system forms, Hbae1.1-rich erythrocytes enhance metabolic capacity in developing tissues such as the brain, somites, and heart. Hbae1.1 expression levels also reflect erythroid health and can be modulated by hypoxia, iron availability, and genetic disruptions in erythropoietic pathways. Because zebrafish embryos are transparent, Hbae1.1 expression serves as a valuable readout of erythropoietic progression and hemoglobinization in vivo.

Structurally, Hbae1.1 contains the characteristic alpha-globin fold composed of multiple alpha-helical segments surrounding a central heme-binding pocket. This structure allows reversible binding of oxygen through an iron-containing heme group. Zebrafish hbae1.1 maps to chromosome 3, within a globin gene cluster that includes multiple embryonic and adult alpha-like genes. Distinct regulatory elements upstream of hbae1.1 ensure its strong expression during primitive erythropoiesis, with expression diminishing as definitive hematopoiesis begins in the kidney marrow analog. Co-localization studies frequently detect Hbae1.1 alongside erythroid markers such as gata1a, band3/slc4a1a, and embryonic beta-globin variants, confirming its central role in primitive red blood cell formation.

A Zebrafish Hbae1.1 antibody is suitable for detecting Hbae1.1 in studies of embryonic erythropoiesis, hemoglobin formation, anemia models, oxygen transport, and hematopoietic gene regulation in Danio rerio. Its cytoplasmic labeling provides a detailed view of red blood cell distribution, hemoglobin accumulation, and lineage progression from progenitors to mature erythrocytes. Researchers use Hbae1.1 expression patterns to investigate defects in erythropoiesis, evaluate the effects of hypoxia or iron imbalance, and examine genetic pathways controlling red blood cell development. These applications make the antibody valuable for research in hematopoietic biology, developmental physiology, and vertebrate blood system formation, and this reagent is supplied for research use by NSJ Bioreagents.

This Zebrafish antibody is part of a broader Zebrafish / Danio rerio antibody panel offered by NSJ Bioreagents.

Application Notes

Optimal dilution of the Zebrafish Hbae1.1 antibody should be determined by the researcher.

Immunogen

E. coli-derived zebrafish Hbae1.1 recombinant protein (amino acids M1-R143) was used as the immunogen for the Zebrafish Hbae1.1 antibody.

Storage

After reconstitution, the Zebrafish Hbae1.1 antibody can be stored for up to one month at 4oC. For long-term, aliquot and store at -20oC. Avoid repeated freezing and thawing.

Cross
Bulk Quote Request Form
Name*:
Organization*:
Email*:
Phone Number*:
Catalog No.*:
Comments and Specifics(amount, formulation, etc.)*:
Validation code: Captchapackage Image


Can't read the image? click here to refresh.
    *required field

Your bulk quote request has been submitted successfully!

Please contact us if you have any questions.