• Tel: 858.663.9055
  • SeparatorEmail: info@nsjbio.com
  • Tel: 858.663.9055
  • Email: info@nsjbio.com
Home >> Antibodies >> Zebrafish H2ax Antibody / Histone H2A.X

Zebrafish H2ax Antibody / Histone H2A.X (RZ1125)

  Catalog No Formulation Size Price (USD)  
Image RZ1125 0.5mg/ml if reconstituted with 0.2ml sterile DI water 100 ug 539
Bulk quote request
Zebrafish H2ax Antibody Brain Immunohistochemistry. IHC staining of FFPE zebrafish brain tissue with Zebrafish H2ax antibody, HRP secondary and DAB substrate. HIER: boil tissue sections in pH8 EDTA for 20 min and allow to cool before testing.
Zebrafish H2ax Antibody Immunoblot. Western blot analysis of Histone H2A.X/H2AFX protein using Zebrafish H2ax antibody and 1) zebrafish head, 2) whole female zebrafish, 3) whole male zebrafish and 4) zebrafish embryo tissue lysate. Predicted molecular weight ~15 kDa.
Zebrafish H2ax Antibody Muscle IHC. Immunohistochemistry staining of FFPE zebrafish muscle tissue with Zebrafish H2ax antibody, HRP secondary and DAB substrate. HIER: boil tissue sections in pH8 EDTA for 20 min and allow to cool before testing.
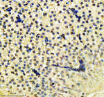
Zebrafish H2ax Antibody Liver IHC. Immunohistochemistry staining of FFPE zebrafish liver tissue with Zebrafish H2ax antibody, HRP secondary and DAB substrate. HIER: boil tissue sections in pH8 EDTA for 20 min and allow to cool before testing.
Availability 2-3 weeks
Species Reactivity Zebrafish
Format Antigen affinity purified
Host Rabbit
Clonality Polyclonal (rabbit origin)
Isotype Rabbit Ig
Purity Antigen affinity chromatography
Buffer Lyophilized from 1X PBS with 2% Trehalose
UniProt Q7ZUY3
Localization Nuclear
Applications Western Blot : 0.5-1 ug/ml
Immunohistochemistry (FFPE) : 2-5 ug/ml
Limitations This Zebrafish H2ax antibody is available for research use only.
Review this product on BioCompare and get a $20 Amazon gift card

Related Products

Description

Zebrafish (Danio rerio) H2ax antibody detects H2ax, a specialized histone H2A variant that plays a central role in the cellular response to DNA damage and maintenance of genomic stability. In zebrafish, the h2ax gene encodes Histone H2A.X, which is incorporated into nucleosomes throughout the genome and becomes rapidly phosphorylated at sites of DNA double-strand breaks. This phosphorylated form, commonly referred to as gamma-H2A.X, acts as a recruitment platform for DNA repair machinery and chromatin remodeling factors. Because genomic integrity is essential for proper embryonic development and tissue homeostasis, Zebrafish H2ax antibody reagents are widely used in studies of DNA repair, replication stress, cell cycle regulation, and developmental genotoxic responses. This antibody is part of the Histone H2A antibodies group for studying chromatin structure and histone modification biology.

During zebrafish embryogenesis, h2ax is broadly expressed in proliferating tissues where replication-associated DNA damage is more likely to occur. Early cleavage stages, neural progenitor zones, and rapidly expanding mesodermal structures all rely on robust DNA surveillance mechanisms supported by H2A.X. The widespread incorporation of Histone H2A.X into chromatin enables rapid signaling when DNA lesions arise, coordinating checkpoint activation and the recruitment of repair proteins such as MDC1, ATM, ATR, and components of homologous recombination pathways. These responses ensure that embryonic cells maintain genome quality during periods of intense proliferation.

Functionally, H2ax contributes to multiple DNA repair processes, including homologous recombination, non-homologous end joining, and chromatin remodeling around sites of damage. Its phosphorylation spreads along chromatin flanking a break, amplifying the damage signal and creating a scaffold for repair factors. In zebrafish, impaired H2A.X activity results in increased genomic instability, developmental defects, and heightened sensitivity to environmental stressors such as ionizing radiation or oxidative damage. This sensitivity makes zebrafish a useful model for toxicology research and for studying mechanisms that preserve genome integrity across generations.

Beyond its canonical DNA damage response role, Histone H2A.X contributes to replication fork stability and chromatin organization during normal cell cycling. In developing tissues, H2ax helps maintain the balance between proliferation and genome maintenance by coordinating replication-associated repair pathways. Zebrafish studies show that these mechanisms are crucial for proper formation of the nervous system, musculature, and hematopoietic lineages, which depend on both rapid expansion and precise genomic regulation.

At the molecular level, H2ax resides within nucleosomes and interacts with core histones, chromatin remodelers, and checkpoint kinases. Its dynamic modifications reflect ongoing surveillance of DNA integrity, with phosphorylation, dephosphorylation, and additional histone modifications tuning the strength and duration of repair signals. Subcellular localization is predominantly nuclear, with redistribution occurring upon DNA damage. Zebrafish embryos allow real-time visualization of these processes through imaging of gamma-H2A.X foci or related chromatin markers.

A Zebrafish H2ax antibody is suitable for research applications such as western blotting, immunohistochemistry, and assays examining DNA damage signaling, chromatin dynamics, and replication stress responses. This antibody targets H2ax for studies involving genome stability, developmental checkpoints, and vertebrate DNA repair pathways. NSJ Bioreagents provides the Zebrafish H2ax antibody to support research in chromatin biology and developmental genotoxic responses.

This Zebrafish antibody is part of a broader Zebrafish / Danio rerio antibody panel offered by NSJ Bioreagents.

Application Notes

Optimal dilution of the Zebrafish H2ax antibody should be determined by the researcher.

Immunogen

An E.coli-derived zebrafish Histone H2A.X/H2AFX recombinant protein (amino acids R4-T121) was used as the immunogen for the Zebrafish H2ax antibody.

Storage

After reconstitution, the Zebrafish H2ax antibody can be stored for up to one month at 4oC. For long-term, aliquot and store at -20oC. Avoid repeated freezing and thawing.

Cross
Bulk Quote Request Form
Name*:
Organization*:
Email*:
Phone Number*:
Catalog No.*:
Comments and Specifics(amount, formulation, etc.)*:
Validation code: Captchapackage Image


Can't read the image? click here to refresh.
    *required field

Your bulk quote request has been submitted successfully!

Please contact us if you have any questions.