• Tel: 858.663.9055
  • SeparatorEmail: info@nsjbio.com
  • Tel: 858.663.9055
  • Email: info@nsjbio.com
Home >> Antibodies >> Zebrafish Gnsa Antibody / N-acetylglucosamine-6-sulfatase

Zebrafish Gnsa Antibody / N-acetylglucosamine-6-sulfatase (RZ1161)

  Catalog No Formulation Size Price (USD)  
Image RZ1161 0.5mg/ml if reconstituted with 0.2ml sterile DI water 100 ug 539
Bulk quote request
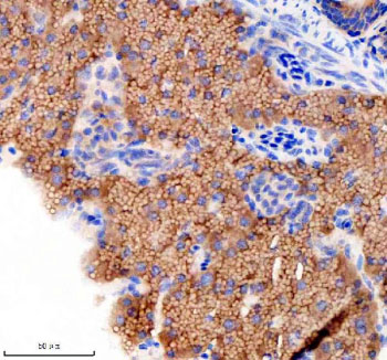
IHC staining of FFPE zebrafish pancreas tissue with Zebrafish Gnsa antibody, HRP secondary and DAB substrate. HIER: boil tissue sections in pH8 EDTA for 20 min and allow to cool before testing.
Western blot analysis of Gnsa protein using Gnsa antibody and 1) whole female zebrafish and 2) whole male zebrafish tissue lysate. Predicted molecular weight ~61 kDa.
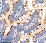
IHC staining of FFPE zebrafish colon tissue with Zebrafish Gnsa antibody, HRP secondary and DAB substrate. HIER: boil tissue sections in pH8 EDTA for 20 min and allow to cool before testing.
IHC staining of FFPE zebrafish brain tissue with Zebrafish Gnsa antibody, HRP secondary and DAB substrate. HIER: boil tissue sections in pH8 EDTA for 20 min and allow to cool before testing.
Availability 2-3 weeks
Species Reactivity Zebrafish
Format Antigen affinity purified
Clonality Polyclonal (rabbit origin)
Isotype Rabbit Ig
Purity Antigen affinity chromatography
Buffer Lyophilized from 1X PBS with 2% Trehalose
UniProt Q4V902
Applications Western Blot : 0.5-1 ug/ml
Immunohistochemistry (FFPE) : 2-5 ug/ml
Limitations This Zebrafish Gnsa antibody is available for research use only.
Review this product on BioCompare and get a $20 Amazon gift card

Related Products

Description

N-acetylglucosamine-6-sulfatase, also known as glucosamine (N-acetyl)-6-sulfatase, is an enzyme that in humans is encoded by the GNS gene. The product of this gene is a lysosomal enzyme found in all cells. It is involved in the catabolism of heparin, heparan sulphate, and keratan sulphate. Deficiency of this enzyme results in the accumulation of undegraded substrate and the lysosomal storage disorder mucopolysaccharidosis type IIID (Sanfilippo D syndrome). Mucopolysaccharidosis type IIID is the least common of the four subtypes of Sanfilippo syndrome.

Application Notes

Optimal dilution of the Zebrafish Gnsa antibody should be determined by the researcher.

Immunogen

An E.coli-derived zebrafish Gnsa recombinant protein (amino acids W224-R341) was used as the immunogen for the Zebrafish Gnsa antibody.

Storage

After reconstitution, the Zebrafish Gnsa antibody can be stored for up to one month at 4oC. For long-term, aliquot and store at -20oC. Avoid repeated freezing and thawing.

Cross
Bulk Quote Request Form
Name*:
Organization*:
Email*:
Phone Number*:
Catalog No.*:
Comments and Specifics(amount, formulation, etc.)*:
Validation code: Captchapackage Image


Can't read the image? click here to refresh.
    *required field

Your bulk quote request has been submitted successfully!

Please contact us if you have any questions.