• Tel: 858.663.9055
  • SeparatorEmail: info@nsjbio.com
  • Tel: 858.663.9055
  • Email: info@nsjbio.com
Home >> Antibodies >> Zebrafish Gnrh2 Antibody / Gonadotropin-releasing hormone 2 / Progonadoliberin

Zebrafish Gnrh2 Antibody / Gonadotropin-releasing hormone 2 / Progonadoliberin (RZ1185)

  Catalog No Formulation Size Price (USD)  
Image RZ1185 0.5mg/ml if reconstituted with 0.2ml sterile DI water 100 ug 539
Bulk quote request
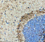
Zebrafish Gnrh2 Antibody Eye Tissue IHC. Immunohistochemistry staining of zebrafish Gnrh2 protein using Zebrafish Gnrh2 antibody, HRP-labeled secondary and DAB substrate. Gnrh2 was detected in a paraffin-embedded section of zebrafish eye tissue. HIER: boil tissue sections in pH8 EDTA for 20 min and allow to cool before testing.
Zebrafish Gnrh2 Antibody Ovary Tissue IHC. Immunohistochemistry staining of zebrafish Gnrh2 protein using Zebrafish Gnrh2 antibody, HRP-labeled secondary and DAB substrate. Gnrh2 was detected in a paraffin-embedded section of zebrafish ovary tissue. HIER: boil tissue sections in pH8 EDTA for 20 min and allow to cool before testing.
Zebrafish Gnrh2 Antibody Brain Tissue IHC. Immunohistochemistry staining of zebrafish Gnrh2 protein using Zebrafish Gnrh2 antibody, HRP-labeled secondary and DAB substrate. Gnrh2 was detected in a paraffin-embedded section of zebrafish brain tissue. HIER: boil tissue sections in pH8 EDTA for 20 min and allow to cool before testing.
Availability 2-3 weeks
Species Reactivity Zebrafish
Format Antigen affinity purified
Host Rabbit
Clonality Polyclonal (rabbit origin)
Isotype Rabbit Ig
Purity Antigen affinity chromatography
Buffer Lyophilized from 1X PBS with 2% Trehalose
UniProt Q5Y835
Applications Immunohistochemistry (FFPE) : 2-5ug/ml
Limitations This Zebrafish Gnrh2 antibody is available for research use only.
Review this product on BioCompare and get a $20 Amazon gift card

Related Products

Description

Zebrafish (Danio rerio) Gnrh2 antibody detects Gnrh2, a neuropeptide hormone that functions as a key component of the vertebrate neuroendocrine system. Encoded by the gnrh2 gene, Gonadotropin-releasing hormone 2, also known as Progonadoliberin, is part of a conserved family of hypothalamic peptides that regulate reproductive signaling, neural circuitry, and behavioral responses. Although multiple Gnrh isoforms exist in teleosts, Gnrh2 is distinct in its midbrain localization and its dual roles in neuromodulation and reproductive communication. Because neuropeptidergic control of reproduction is fundamental to vertebrate physiology, Zebrafish Gnrh2 antibody reagents support research in endocrine regulation, neural signaling, and reproductive biology.

In zebrafish, Gnrh2 is synthesized primarily in neurons of the midbrain tegmentum and projects broadly throughout the central nervous system. Unlike Gnrh3, which acts as the primary hypophysiotropic hormone regulating pituitary gonadotropin release, Gnrh2 appears to modulate reproductive behavior, sensory integration, and neuroendocrine feedback. Its widespread neural projections influence motor circuits, olfactory processing, and higher-order sensory pathways, suggesting that Gnrh2 helps coordinate environmental cues with reproductive readiness.

Gonadotropin-releasing hormone 2 interacts with Gnrh receptors expressed in both the brain and peripheral tissues. Activation of Gnrh signaling triggers intracellular cascades involving calcium mobilization, MAPK activation, and transcriptional changes related to hormone synthesis. Although teleost pituitary responsiveness to Gnrh2 is less pronounced than to Gnrh3, evidence indicates that Gnrh2 may still exert modulatory effects on pituitary hormone release depending on developmental stage or environmental conditions.

During embryonic and larval development, gnrh2 expression begins early, reflecting its importance in establishing neural networks and neuroendocrine communication. Studies in zebrafish demonstrate that perturbations in Gnrh function can influence gonadal development, reproductive maturation, and social behavior. Gnrh2 may also play roles in regulating feeding circuits, stress responses, and sensorimotor integration, consistent with broader neuromodulatory roles described in other vertebrates.

At the molecular level, Progonadoliberin is synthesized as a prepropeptide and processed into an active decapeptide containing conserved N-terminal and C-terminal motifs essential for receptor binding. Its structure is highly similar across vertebrates, underscoring the evolutionary importance of Gnrh signaling. Subcellular localization of Gnrh2 includes secretory vesicles within peptidergic neurons, from which it is released in response to synaptic and hormonal stimuli.

Environmental factors such as temperature, photoperiod, nutritional state, and stress can modulate gnrh2 expression and peptide release. These regulatory inputs allow zebrafish to integrate ecological cues with internal reproductive states, ensuring that reproductive behaviors and physiology occur under suitable conditions. Because of its sensitivity to environmental modulation, Gnrh2 serves as a useful biomarker for studies examining endocrine disruption, neuroendocrine plasticity, and behavioral regulation.

A Zebrafish Gnrh2 antibody is suitable for research applications such as western blotting, immunohistochemistry, and assays examining neuropeptide distribution, reproductive signaling, sensory integration, and neuroendocrine regulation. This antibody targets Gonadotropin-releasing hormone 2 and Progonadoliberin for studies involving neural circuitry, endocrine communication, and vertebrate reproductive development. NSJ Bioreagents provides the Zebrafish Gnrh2 antibody to support research in neuroendocrine biology and developmental physiology.

This Zebrafish antibody is part of a broader Zebrafish / Danio rerio antibody panel offered by NSJ Bioreagents.

Application Notes

Optimal dilution of the Zebrafish Gnrh2 antibody should be determined by the researcher.

Immunogen

E. coli-derived zebrafish Gnrh2 recombinant protein (amino acids Q25-K86) was used as the immunogen for the Zebrafish Gnrh2 antibody.

Storage

After reconstitution, the Zebrafish Gnrh2 antibody can be stored for up to one month at 4oC. For long-term, aliquot and store at -20oC. Avoid repeated freezing and thawing.

Cross
Bulk Quote Request Form
Name*:
Organization*:
Email*:
Phone Number*:
Catalog No.*:
Comments and Specifics(amount, formulation, etc.)*:
Validation code: Captchapackage Image


Can't read the image? click here to refresh.
    *required field

Your bulk quote request has been submitted successfully!

Please contact us if you have any questions.